Primary Antibodies
Secondary Antibodies
Proteins & Peptides
ELISA Kits
About Us
Contact Us
Sign In/Register
0
ISO 9001:2015 Certified
Live Customer Support
4.5/5 on Trustpilot
100% Quality Guarantee
Home
Primary Antibodies
Tollip Antibodies
Anti-TOLLIP Antibody (A34981)
Anti-TOLLIP Antibody (A34981)
Overview
Specifications
Images
Enlarge Image
Enlarge Image
Enlarge Image
$415
Product Datasheet
Rabbit polyclonal antibody to TOLLIP for WB, IHC and ICC/IF.
100% Guarantee
Price Match Guarantee
Product Size:
50µl
100µl
Quantity:
1
2
3
4
5
6
7
8
9
10
Add To Cart
Request a Quotation
Custom or Bulk Request
Shipping Information
Freight/Packing Charges:
$40
Dispatched from St. Louis, MO.
Lead Time: 6-9 business days.
Specifications
Name
Anti-TOLLIP Antibody
Description
Rabbit polyclonal antibody to TOLLIP
Specificity
The antibody detects endogenous level of total TOLLIP protein.
Applications
WB
,
IHC
,
ICC/IF
Reactivity
Human, Mouse, Rat
Immunogen
Recombinant protein of human TOLLIP.
Host
Rabbit
Clonality
Polyclonal
Conjugate
Unconjugated
Purification
Antibodies were purified by affinity purification using immunogen.
Concentration
1.0 mg/mL
Formulation
Supplied in phosphate-buffered saline (without Mg²? and Ca²?), pH 7.4, containing 150 mM NaCl, 0.02% sodium azide, and 50% glycerol.
Storage
Shipped at 4°C. Upon delivery aliquot and store at -20°C. Avoid freeze/thaw cycles.
Synonyms
Toll-interacting protein
Suitable Secondaries
Goat Anti-Rabbit IgG H&L Antibody (AP) (A294874)
Goat Anti-Rabbit IgG H&L Antibody (Biotin) (A294795)
Goat Anti-Rabbit IgG H&L Antibody (FITC) (A294887)
Goat Anti-Rabbit IgG H&L Antibody (HRP) (A294888)
See all Anti-Rabbit IgG Secondaries →
Disclaimer
This product is for research use only. It is not intended for diagnostic or therapeutic use.
Scientific Validation Data
Validation Data
(3)
Enlarge Image
Anti-TOLLIP Antibody (A34981)
Western blot analysis of extracts of PC-3 cell lines, using TOLLIP antibody.
Enlarge Image
Immunofluorescence - Anti-TOLLIP Antibody (A34981)
Immunofluorescence analysis of U2OS cell using TOLLIP antibody. Blue: DAPI for nuclear staining.
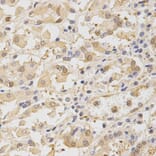
Enlarge Image
Immunohistochemistry - Anti-TOLLIP Antibody (A34981)
Immunohistochemistry of paraffin-embedded human stomach using TOLLIP antibody at dilution of 1: 200 (x400 lens)
Publishing research using Anti-TOLLIP Antibody (A34981)? Please
let us know
so that we can list the citation on this page.
Alternative products to Anti-TOLLIP Antibody (A34981)
(3)
A13955
Anti-Tollip Antibody
Rabbit polyclonal antibody to Tollip for WB, IHC and ICC/IF.
(3)
A30184
Anti-Tollip Antibody
Rabbit polyclonal antibody to Tollip for WB, IHC and IF.
(2)
A48744
Anti-TOLLIP Antibody
Rabbit polyclonal antibody to TOLLIP for ELISA, WB and ICC/IF.
(2)
A48745
Anti-TOLLIP Antibody
Rabbit polyclonal antibody to TOLLIP for ELISA, WB and ICC/IF.
(2)
A307074
Anti-Tollip Antibody
Rabbit polyclonal antibody to Tollip for WB.
A280819
Anti-Tollip Antibody [Kimmy-1]
Rat monoclonal [Kimmy-1] antibody to Tollip for WB and IP.
A57906
Anti-Tollip Antibody [Pk1B17AT]
Mouse monoclonal [Pk1B17AT] antibody to Tollip for ELISA and WB.
A42380
Anti-TOLLIP Antibody
Rabbit polyclonal antibody to TOLLIP for WB.
(3)
A13955
Anti-Tollip Antibody
Rabbit polyclonal antibody to Tollip for WB, IHC and ICC/IF.
(3)
A30184
Anti-Tollip Antibody
Rabbit polyclonal antibody to Tollip for WB, IHC and IF.
(2)
A48744
Anti-TOLLIP Antibody
Rabbit polyclonal antibody to TOLLIP for ELISA, WB and ICC/IF.
(2)
A48745
Anti-TOLLIP Antibody
Rabbit polyclonal antibody to TOLLIP for ELISA, WB and ICC/IF.
(2)
A307074
Anti-Tollip Antibody
Rabbit polyclonal antibody to Tollip for WB.
A280819
Anti-Tollip Antibody [Kimmy-1]
Rat monoclonal [Kimmy-1] antibody to Tollip for WB and IP.
A57906
Anti-Tollip Antibody [Pk1B17AT]
Mouse monoclonal [Pk1B17AT] antibody to Tollip for ELISA and WB.
A42380
Anti-TOLLIP Antibody
Rabbit polyclonal antibody to TOLLIP for WB.
See all TOLLIP Antibodies
Proteins predicted to interact with Tollip
Predicted protein interactions based upon String database. Revelancy score correlates with probability of interaction.
IRAK1 Antibodies
99.9% Relevancy Score
MYD88 Antibodies
99.8% Relevancy Score
TOM1 Antibodies
99.8% Relevancy Score
TLR2 Antibodies
99.7% Relevancy Score
TLR4 Antibodies
99% Relevancy Score
IRAK4 Antibodies
97.8% Relevancy Score
IL1 Receptor I Antibodies
97.1% Relevancy Score
TRAF6 Antibodies
95% Relevancy Score
TOM1L2 Antibodies
91.8% Relevancy Score
Top