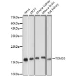
Western Blot - Anti-TOMM20 Antibody [ARC5002-01] (A309191)
Western blot analysis of extracts of various cell lines, using Anti-TOMM20 Antibody [ARC5002-01] (A309191) at 1:5,000 dilution. The secondary antibody was Goat Anti-Rabbit IgG H&L Antibody (HRP) at 1:10,000 dilution. Lysates/proteins were present at 25µg per lane. The blocking buffer used was 3% non-fat dry milk in TBST. Detection was with a ECL Basic Kit. Exposure time: 60s.
Western Blot - Anti-TOMM20 Antibody [ARC5002-01] (A309191)
Western blot analysis of extracts of various cell lines, using Anti-TOMM20 Antibody [ARC5002-01] (A309191) at 1:5,000 dilution. The secondary antibody was Goat Anti-Rabbit IgG H&L Antibody (HRP) at 1:10,000 dilution. Lysates/proteins were present at 25µg per lane. The blocking buffer used was 3% non-fat dry milk in TBST. Detection was with a ECL Basic Kit. Exposure time: 10s.
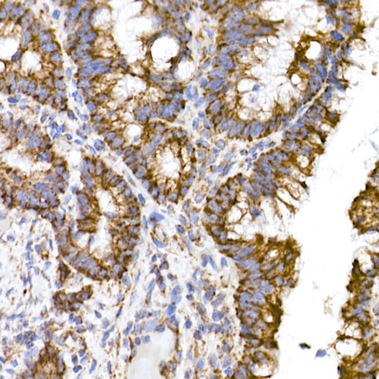
Immunohistochemistry analysis of paraffin-embedded human colon carcinoma tissue using Anti-TOMM20 Antibody [ARC5002-01] (A309191) at a dilution of 1:50(40x lens). Perform microwave antigen retrieval with 10 mM Tris/EDTA buffer pH 9.0 before commencing with IHC staining protocol.
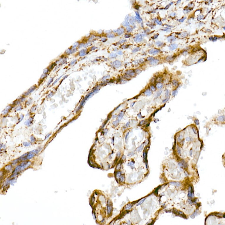
Immunohistochemistry analysis of paraffin-embedded human placenta using Anti-TOMM20 Antibody [ARC5002-01] (A309191) at a dilution of 1:50(40x lens). Perform microwave antigen retrieval with 10 mM Tris/EDTA buffer pH 9.0 before commencing with IHC staining protocol.
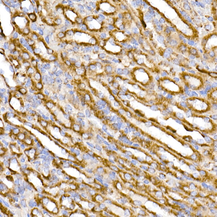
Immunohistochemistry analysis of paraffin-embedded mouse kidney using Anti-TOMM20 Antibody [ARC5002-01] (A309191) at a dilution of 1:50(40x lens). Perform microwave antigen retrieval with 10 mM Tris/EDTA buffer pH 9.0 before commencing with IHC staining protocol.
Immunohistochemistry analysis of paraffin-embedded rat heart using Anti-TOMM20 Antibody [ARC5002-01] (A309191) at a dilution of 1:50(40x lens). Perform microwave antigen retrieval with 10 mM Tris/EDTA buffer pH 9.0 before commencing with IHC staining protocol.
Confocal imaging of HeLa cells using Anti-TOMM20 Antibody [ARC5002-01] (A309191), at a dilution of 1:100, (red). The cells were counterstained with Anti-alpha Tubulin Antibody, at a dilution of 1:400, (green). DAPI was used for nuclear staining (Blue). Objective: 60x.
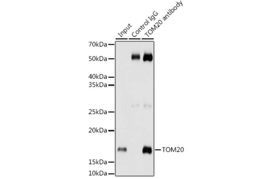
Western Blot - Anti-TOMM20 Antibody [ARC5002-01] (A309191)
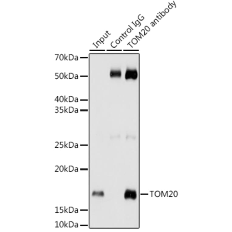
Immunoprecipitation analysis of 200µg extracts of HeLa cells using 3µg of Anti-TOMM20 Antibody [ARC5002-01] (A309191). This Western blot was performed on the immunoprecipitate using Anti-TOMM20 Antibody [ARC5002-01] (A309191) at a dilution of 1:1000.