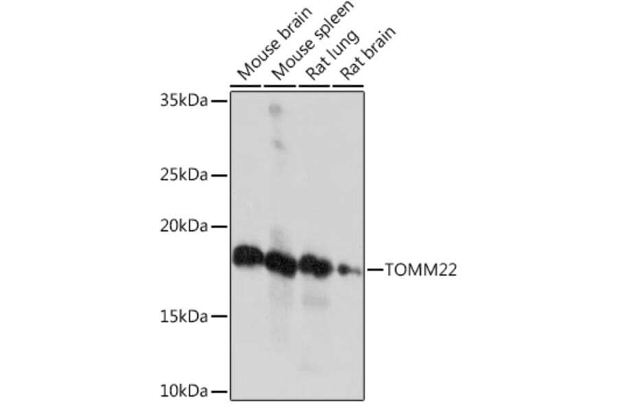
Western Blot - Anti-TOMM22/TOM22 Antibody [ARC1688] (A306788)
Western blot analysis of extracts of various cell lines, using Anti-TOMM22/TOM22 Antibody [ARC1688] (A306788) at 1:1,000 dilution. The secondary antibody was Goat Anti-Rabbit IgG H&L Antibody (HRP) at 1:10,000 dilution. Lysates/proteins were present at 25µg per lane. The blocking buffer used was 3% non-fat dry milk in TBST. Detection was with a ECL Basic Kit. Exposure time: 1s.
Western Blot - Anti-TOMM22/TOM22 Antibody [ARC1688] (A306788)
Western blot analysis of extracts of various cell lines, using Anti-TOMM22/TOM22 Antibody [ARC1688] (A306788) at 1:1,000 dilution. The secondary antibody was Goat Anti-Rabbit IgG H&L Antibody (HRP) at 1:10,000 dilution. Lysates/proteins were present at 25µg per lane. The blocking buffer used was 3% non-fat dry milk in TBST. Detection was with a ECL Enhanced Kit (RM00021). Exposure time: 3min.
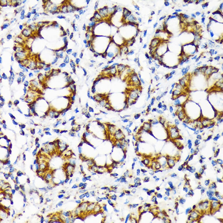
Immunohistochemistry analysis of paraffin-embedded human colon tissue using Anti-TOMM22/TOM22 Antibody [ARC1688] (A306788) at a dilution of 1:100 (40x lens). Perform microwave antigen retrieval with 10 mM Tris/EDTA buffer pH 9.0 before commencing with IHC staining protocol.
Western Blot - Anti-TOMM22/TOM22 Antibody [ARC1688] (A306788)
Immunoprecipitation analysis of 300µg extracts of K-562 cells using 3µg of Anti-TOMM22/TOM22 Antibody [ARC1688] (A306788). This Western blot was performed on the immunoprecipitate using Anti-TOMM22/TOM22 Antibody [ARC1688] (A306788) at a dilution of 1:1000.
Publishing research using Anti-TOMM22/TOM22 Antibody [ARC1688] (A306788)? Please let us know so that we can list the citation on this page.