ISO 9001:2015 Certified
Live Customer Support
4.5/5 on Trustpilot
100% Quality Guarantee

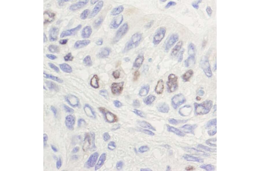
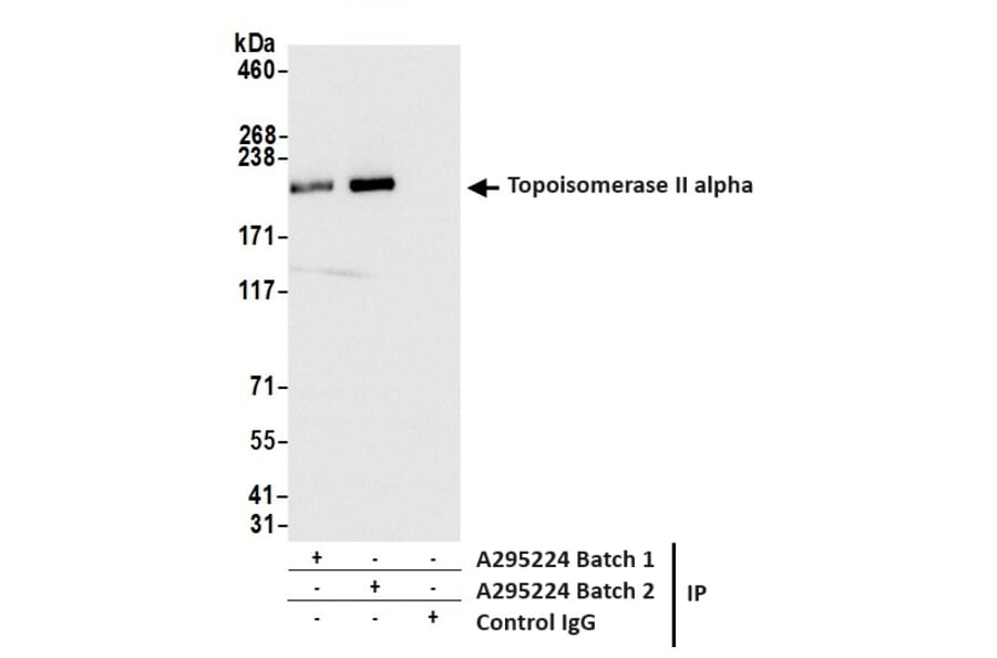
Anti-Topoisomerase II alpha Antibody (A295224)

Rabbit polyclonal antibody to Topoisomerase II alpha for WB, IP and IHC.

Shipping Information

$40
Dispatched from St. Louis, MO.
Lead Time: 6-9 business days.
Name
Anti-Topoisomerase II alpha Antibody
Description
Rabbit polyclonal antibody to Topoisomerase II alpha.
Applications
WB, IP, IHC
Dilutions
IHC: 1:500-1:2,000, IP: 2-10 µg/1 mg lysate, WB: 1:10,000-1:30,000
Reactivity
Human
Immunogen
Synthetic peptide within amino acids 1500 and the C-terminus of human Topoisomerase II alpha (NP_001058. 2).
Host
Rabbit
Clonality
Polyclonal
Isotype
IgG
Conjugate

Unconjugated

Purification
Antigen affinity purification.
Concentration
1 mg/ml
Product Form
Liquid
Formulation
Supplied in Tris-Citrate/Phosphate Buffer, pH 7-8, with 0.09% Sodium Azide.
Storage
Shipped at 4°C. Upon delivery aliquot and store at -20°C. Avoid freeze/thaw cycles.
General Notes
This antibody was affinity purified using the immunising peptide immobilized on solid support. Immunoglobulin concentration was determined by extinction coefficient: absorbance at 280 nm of 1. 4 equals 1.0 mg of IgG.
Synonyms
alpha isozyme, ATP hydrolyzing DNA topoisomerase II alfa, DNA gyrase, DNA topoisomerase (ATP hydrolyzing), DNA topoisomerase 2 alpha, DNA topoisomerase 2-alpha, DNA topoisomerase II, DNA topoisomerase II 170 kD, DNA topoisomerase II alpha isozyme, DNA Topoisomerase2, TOP 2A, TOP2, TOP2A, TOP2A_HUMAN, Topoisomerase DNA II alpha 170kDa, TP2A
Disclaimer
This product is for research use only. It is not intended for diagnostic or therapeutic use.
Publishing research using Anti-Topoisomerase II alpha Antibody (A295224)? Please let us know so that we can list the citation on this page.

Alternative products to Anti-Topoisomerase II alpha Antibody (A295224)