Primary Antibodies
Secondary Antibodies
Proteins & Peptides
ELISA Kits
About Us
Contact Us
Sign In/Register
0
ISO 9001:2015 Certified
Live Customer Support
4.5/5 on Trustpilot
100% Quality Guarantee
Home
Primary Antibodies
Torsin A Antibodies
Anti-TOR1A Antibody (A38253)
Anti-TOR1A Antibody (A38253)
Overview
Specifications
Images
Enlarge Image
Enlarge Image
Enlarge Image
$430
Product Datasheet
Rabbit polyclonal antibody to TOR1A for WB and IHC.
100% Guarantee
Price Match Guarantee
Product Size:
100µl
Quantity:
1
2
3
4
5
6
7
8
9
10
Add To Cart
Request a Quotation
Custom or Bulk Request
Shipping Information
Freight/Packing Charges:
$40
Dispatched from St. Louis, MO.
Lead Time: 6-9 business days.
Specifications
Name
Anti-TOR1A Antibody
Description
Rabbit polyclonal antibody to TOR1A
Specificity
The antibody detects endogenous levels of total TOR1A protein.
Applications
WB
,
IHC
Reactivity
Human
Immunogen
Fusion protein of human TOR1A
Host
Rabbit
Clonality
Polyclonal
Conjugate
Unconjugated
Purification
Antigen affinity purification.
Concentration
1 mg/mL
Formulation
Rabbit IgG in pH7.4 PBS, 0.05% NaN3, 40% Glycerol.
Storage
Shipped at 4°C. Upon delivery aliquot and store at -20°C. Avoid freeze/thaw cycles.
Synonyms
DQ2, Dystonia 1 protein, DYT1, TA, TORA, Torsin ATPase-1A, Torsin family 1 member A, Torsin-1A
Suitable Secondaries
Goat Anti-Rabbit IgG H&L Antibody (AP) (A294874)
Goat Anti-Rabbit IgG H&L Antibody (Biotin) (A294795)
Goat Anti-Rabbit IgG H&L Antibody (FITC) (A294887)
Goat Anti-Rabbit IgG H&L Antibody (HRP) (A294888)
See all Anti-Rabbit IgG Secondaries →
Disclaimer
This product is for research use only. It is not intended for diagnostic or therapeutic use.
Scientific Validation Data
Validation Data
(3)
Enlarge Image
Anti-TOR1A Antibody (A38253)
Gel: 8% SDS-PAGE Lysate: 40 μg Lane: MCF7 cell Primary antibody: 1/400 dilution Secondary antibody: Goat anti rabbit IgG at 1/8000 dilution Exposure time: 30 seconds
Enlarge Image
Immunohistochemistry - Anti-TOR1A Antibody (A38253)
Immunohistochemical analysis of paraffin-embedded Human liver cancer tissue using #43017 at dilution 1/20.
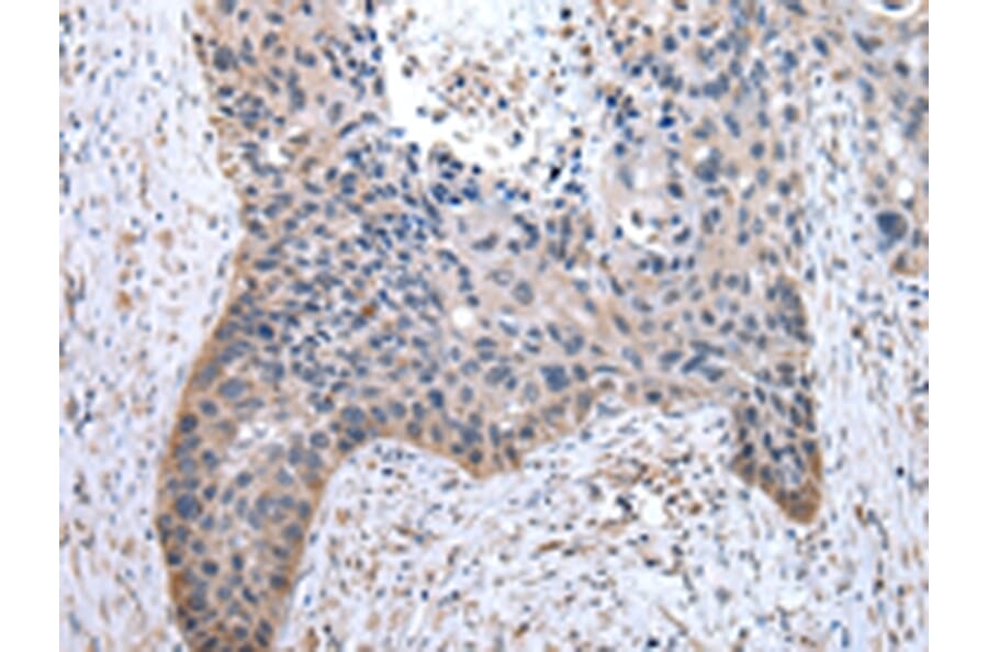
Enlarge Image
Immunohistochemistry - Anti-TOR1A Antibody (A38253)
Immunohistochemical analysis of paraffin-embedded Human oesophagus cancer tissue using #43017 at dilution 1/20.
Publishing research using Anti-TOR1A Antibody (A38253)? Please
let us know
so that we can list the citation on this page.
Alternative products to Anti-TOR1A Antibody (A38253)
(3)
A37576
Anti-TOR1A Antibody
Rabbit polyclonal antibody to TOR1A for WB and IHC.
A29844
Anti-TOR1A Antibody
Rabbit polyclonal antibody to TOR1A for WB and IHC.
A349096
Anti-Torsin A Antibody [24GB1955]
Recombinant rabbit monoclonal [24GB1955] antibody to Torsin A for WB, Flow Cytometry and ICC/IF.
(3)
A37576
Anti-TOR1A Antibody
Rabbit polyclonal antibody to TOR1A for WB and IHC.
A29844
Anti-TOR1A Antibody
Rabbit polyclonal antibody to TOR1A for WB and IHC.
A349096
Anti-Torsin A Antibody [24GB1955]
Recombinant rabbit monoclonal [24GB1955] antibody to Torsin A for WB, Flow Cytometry and ICC/IF.
Proteins predicted to interact with Torsin A
Predicted protein interactions based upon String database. Revelancy score correlates with probability of interaction.
DR3 Antibodies
99.9% Relevancy Score
THAP1 Antibodies
96.9% Relevancy Score
TOR1AIP1 Antibodies
95.9% Relevancy Score
SGCE Antibodies
93.9% Relevancy Score
HLA-DQA1 Antibodies
93.5% Relevancy Score
TGM2 Antibodies
92.7% Relevancy Score
beta IV Tubulin Antibodies
89.5% Relevancy Score
DR4 Antibodies
87.8% Relevancy Score
Nesprin3 Antibodies
84.7% Relevancy Score
Top