Primary Antibodies
Secondary Antibodies
Proteins & Peptides
ELISA Kits
About Us
Contact Us
Sign In/Register
0
ISO 9001:2015 Certified
Live Customer Support
4.5/5 on Trustpilot
100% Quality Guarantee
Home
Primary Antibodies
TEP1 Antibodies
Anti-TP1 Antibody (A48592)
Anti-TP1 Antibody (A48592)
Overview
Specifications
Images
Enlarge Image
Enlarge Image
$780
Product Datasheet
Rabbit polyclonal antibody to TP1 for ELISA, WB and IHC.
100% Guarantee
Price Match Guarantee
Product Size:
100µl
Quantity:
1
2
3
4
5
6
7
8
9
10
Add To Cart
Request a Quotation
Custom or Bulk Request
Shipping Information
Freight/Packing Charges:
$40
Dispatched from St. Louis, MO.
Lead Time: 6-9 business days.
Specifications
Name
Anti-TP1 Antibody
Description
Rabbit polyclonal antibody to TP1
Applications
ELISA
,
WB
,
IHC
Reactivity
Human, Mouse, Rat
Immunogen
Raised against a 20 amino acid peptide from near the amino terminus of human TP1.
Host
Rabbit
Clonality
Polyclonal
Conjugate
Unconjugated
Purification
Affinity chromatography purified via peptide column
Formulation
Supplied in phosphate-buffered saline with 0.02% Sodium Azide.
Storage
Shipped at 4°C. Upon delivery aliquot and store at -20°C. Avoid freeze/thaw cycles.
Synonyms
p240, p80 telomerase homolog, Telomerase protein 1, Telomerase protein component 1, Telomerase-associated protein 1, TLP1
Suitable Secondaries
Goat Anti-Rabbit IgG H&L Antibody (AP) (A294874)
Goat Anti-Rabbit IgG H&L Antibody (Biotin) (A294795)
Goat Anti-Rabbit IgG H&L Antibody (FITC) (A294887)
Goat Anti-Rabbit IgG H&L Antibody (HRP) (A294888)
See all Anti-Rabbit IgG Secondaries →
Disclaimer
This product is for research use only. It is not intended for diagnostic or therapeutic use.
Scientific Validation Data
Validation Data
(2)
Enlarge Image
Anti-TP1 Antibody (A48592)
Western blot analysis of TP1 in human kidney tissue lysate with TP1 antibody at (A) 1 and (B) 2 µg/mL.
Enlarge Image
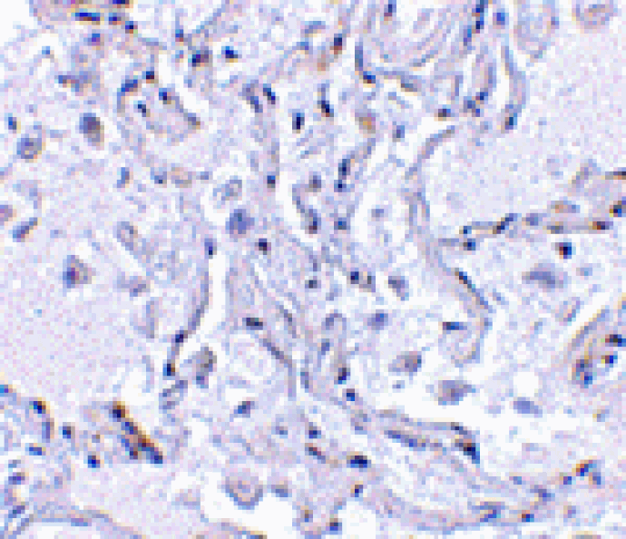
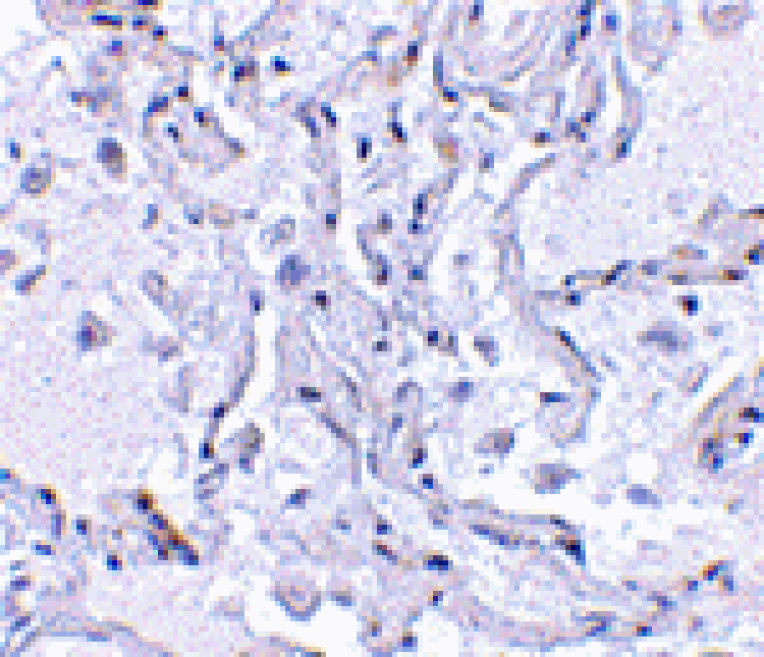
Immunohistochemistry - Anti-TP1 Antibody (A48592)
Immunohistochemical staining of human lung tissue using TP1 antibody at 2.5 µg/mL.
Publishing research using Anti-TP1 Antibody (A48592)? Please
let us know
so that we can list the citation on this page.
Alternative products to Anti-TP1 Antibody (A48592)
A101253
Anti-TEP1 Antibody
Rabbit polyclonal antibody to TEP1 for IHC, IF and ELISA.
(2)
A46889
Anti-TEP1 Antibody
Rabbit polyclonal antibody to TEP1 for IHC.
A45820
Anti-TEP1 Antibody
Rabbit polyclonal antibody to TEP1 for IHC.
A101253
Anti-TEP1 Antibody
Rabbit polyclonal antibody to TEP1 for IHC, IF and ELISA.
(2)
A46889
Anti-TEP1 Antibody
Rabbit polyclonal antibody to TEP1 for IHC.
A45820
Anti-TEP1 Antibody
Rabbit polyclonal antibody to TEP1 for IHC.
Proteins predicted to interact with TEP1
Predicted protein interactions based upon String database. Revelancy score correlates with probability of interaction.
PARP4 Antibodies
99.9% Relevancy Score
Telomerase Reverse Transcriptase Antibodies
99.9% Relevancy Score
MVP Antibodies
99.8% Relevancy Score
DKC1 Antibodies
95.9% Relevancy Score
TRRAP Antibodies
95.2% Relevancy Score
TADA3L Antibodies
94.6% Relevancy Score
p23 Antibodies
94.6% Relevancy Score
WDR79 Antibodies
94.2% Relevancy Score
NHP2 Antibodies
93.3% Relevancy Score
Top