Primary Antibodies
Secondary Antibodies
Proteins & Peptides
ELISA Kits
About Us
Contact Us
Sign In/Register
0
ISO 9001:2015 Certified
Live Customer Support
4.5/5 on Trustpilot
100% Quality Guarantee
Home
Primary Antibodies
Thyroid Peroxidase Antibodies
Anti-TPO Antibody (A47191)
Anti-TPO Antibody (A47191)
Overview
Specifications
Images
Enlarge Image
$430
Product Datasheet
Rabbit polyclonal antibody to TPO for IHC.
100% Guarantee
Price Match Guarantee
Product Size:
100µl
Quantity:
1
2
3
4
5
6
7
8
9
10
Add To Cart
Request a Quotation
Custom or Bulk Request
Shipping Information
Freight/Packing Charges:
$40
Dispatched from St. Louis, MO.
Lead Time: 6-9 business days.
Specifications
Name
Anti-TPO Antibody
Description
Rabbit polyclonal antibody to TPO
Specificity
The antibody detects endogenous levels of total TPO protein.
Applications
IHC
Reactivity
Human
Immunogen
Full length fusion protein
Host
Rabbit
Clonality
Polyclonal
Conjugate
Unconjugated
Purification
Antigen affinity purification.
Concentration
2 mg/mL
Formulation
Supplied in PBS, pH 7.3, containing 0.05% sodium azide and 50% glycerol.
Storage
Shipped at 4°C. Upon delivery aliquot and store at -20°C. Avoid freeze/thaw cycles.
Suitable Secondaries
Goat Anti-Rabbit IgG H&L Antibody (AP) (A294874)
Goat Anti-Rabbit IgG H&L Antibody (Biotin) (A294795)
Goat Anti-Rabbit IgG H&L Antibody (FITC) (A294887)
Goat Anti-Rabbit IgG H&L Antibody (HRP) (A294888)
See all Anti-Rabbit IgG Secondaries →
Disclaimer
This product is for research use only. It is not intended for diagnostic or therapeutic use.
Scientific Validation Data
Validation Data
(1)
Enlarge Image
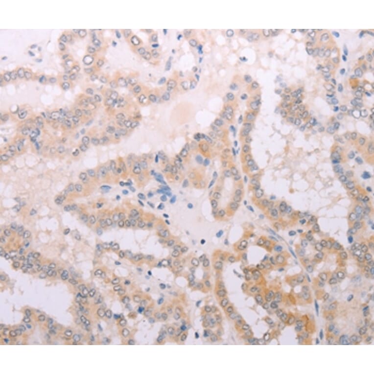
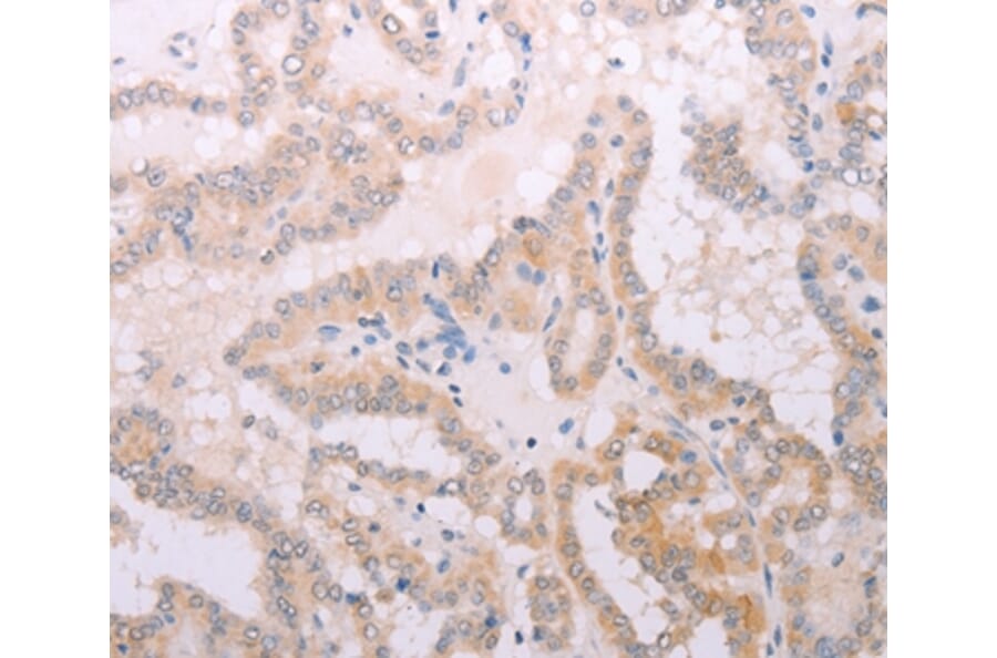
Immunohistochemistry - Anti-TPO Antibody (A47191)
Immunohistochemical analysis of paraffin-embedded Human thyroid cancer tissue using #35966 at dilution 1/50.
Publishing research using Anti-TPO Antibody (A47191)? Please
let us know
so that we can list the citation on this page.
Alternative products to Anti-TPO Antibody (A47191)
(4)
A253383
Anti-Thyroid Peroxidase Antibody [TPO/3697] - BSA and Azide free
Mouse monoclonal [TPO/3697] antibody to Thyroid Peroxidase for IHC-P.
(4)
A253382
Anti-Thyroid Peroxidase Antibody [TPO/3695] - BSA and Azide free
Mouse monoclonal [TPO/3695] antibody to Thyroid Peroxidase for IHC-P.
(4)
A253381
Anti-Thyroid Peroxidase Antibody [TPO/3694] - BSA and Azide free
Mouse monoclonal [TPO/3694] antibody to Thyroid Peroxidase for IHC-P.
(4)
A253378
Anti-Thyroid Peroxidase Antibody [TPO/3702] - BSA and Azide free
Mouse monoclonal [TPO/3702] antibody to Thyroid Peroxidase for IHC-P.
(4)
A253376
Anti-Thyroid Peroxidase Antibody [TPO/3700] - BSA and Azide free
Mouse monoclonal [TPO/3700] antibody to Thyroid Peroxidase for IHC-P.
(4)
A250201
Anti-Thyroid Peroxidase Antibody [TPO/3694]
Mouse monoclonal [TPO/3694] antibody to Thyroid Peroxidase for IHC-P.
(4)
A250198
Anti-Thyroid Peroxidase Antibody [TPO/3702]
Mouse monoclonal [TPO/3702] antibody to Thyroid Peroxidase for IHC-P.
(4)
A250196
Anti-Thyroid Peroxidase Antibody [TPO/3700]
Mouse monoclonal [TPO/3700] antibody to Thyroid Peroxidase for IHC-P.
(4)
A250202
Anti-Thyroid Peroxidase Antibody [TPO/3695]
Mouse monoclonal [TPO/3695] antibody to Thyroid Peroxidase for IHC-P.
(4)
A250203
Anti-Thyroid Peroxidase Antibody [TPO/3697]
Mouse monoclonal [TPO/3697] antibody to Thyroid Peroxidase for IHC-P.
(3)
A278662
Anti-Thyroid Peroxidase Antibody [TPO/6417R] - BSA and Azide free
Recombinant rabbit monoclonal [TPO/6417R] antibody to Thyroid Peroxidase for IHC-P.
(3)
A253380
Anti-Thyroid Peroxidase Antibody [TPO/1922] - BSA and Azide free
Mouse monoclonal [TPO/1922] antibody to Thyroid Peroxidase for IHC-P.
(4)
A253383
Anti-Thyroid Peroxidase Antibody [TPO/3697] - BSA and Azide free
Mouse monoclonal [TPO/3697] antibody to Thyroid Peroxidase for IHC-P.
(4)
A253382
Anti-Thyroid Peroxidase Antibody [TPO/3695] - BSA and Azide free
Mouse monoclonal [TPO/3695] antibody to Thyroid Peroxidase for IHC-P.
(4)
A253381
Anti-Thyroid Peroxidase Antibody [TPO/3694] - BSA and Azide free
Mouse monoclonal [TPO/3694] antibody to Thyroid Peroxidase for IHC-P.
(4)
A253378
Anti-Thyroid Peroxidase Antibody [TPO/3702] - BSA and Azide free
Mouse monoclonal [TPO/3702] antibody to Thyroid Peroxidase for IHC-P.
(4)
A253376
Anti-Thyroid Peroxidase Antibody [TPO/3700] - BSA and Azide free
Mouse monoclonal [TPO/3700] antibody to Thyroid Peroxidase for IHC-P.
(4)
A250201
Anti-Thyroid Peroxidase Antibody [TPO/3694]
Mouse monoclonal [TPO/3694] antibody to Thyroid Peroxidase for IHC-P.
(4)
A250198
Anti-Thyroid Peroxidase Antibody [TPO/3702]
Mouse monoclonal [TPO/3702] antibody to Thyroid Peroxidase for IHC-P.
(4)
A250196
Anti-Thyroid Peroxidase Antibody [TPO/3700]
Mouse monoclonal [TPO/3700] antibody to Thyroid Peroxidase for IHC-P.
(4)
A250202
Anti-Thyroid Peroxidase Antibody [TPO/3695]
Mouse monoclonal [TPO/3695] antibody to Thyroid Peroxidase for IHC-P.
(4)
A250203
Anti-Thyroid Peroxidase Antibody [TPO/3697]
Mouse monoclonal [TPO/3697] antibody to Thyroid Peroxidase for IHC-P.
(3)
A278662
Anti-Thyroid Peroxidase Antibody [TPO/6417R] - BSA and Azide free
Recombinant rabbit monoclonal [TPO/6417R] antibody to Thyroid Peroxidase for IHC-P.
(3)
A253380
Anti-Thyroid Peroxidase Antibody [TPO/1922] - BSA and Azide free
Mouse monoclonal [TPO/1922] antibody to Thyroid Peroxidase for IHC-P.
See all TPO Antibodies
Proteins predicted to interact with Thyroid Peroxidase
Predicted protein interactions based upon String database. Revelancy score correlates with probability of interaction.
Thyroglobulin Antibodies
98.5% Relevancy Score
TSHR Antibodies
97.1% Relevancy Score
Tyrosinase Antibodies
94.6% Relevancy Score
Sodium Iodide Symporter Antibodies
94% Relevancy Score
Tyrosine Hydroxylase Antibodies
92.4% Relevancy Score
DOPA Decarboxylase Antibodies
91.8% Relevancy Score
TBL1 Antibodies
91.4% Relevancy Score
GOT1 Antibodies
91.1% Relevancy Score
GOT2 Antibodies
90.9% Relevancy Score
Top