ISO 9001:2015 Certified
Live Customer Support
4.5/5 on Trustpilot
100% Quality Guarantee

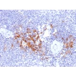
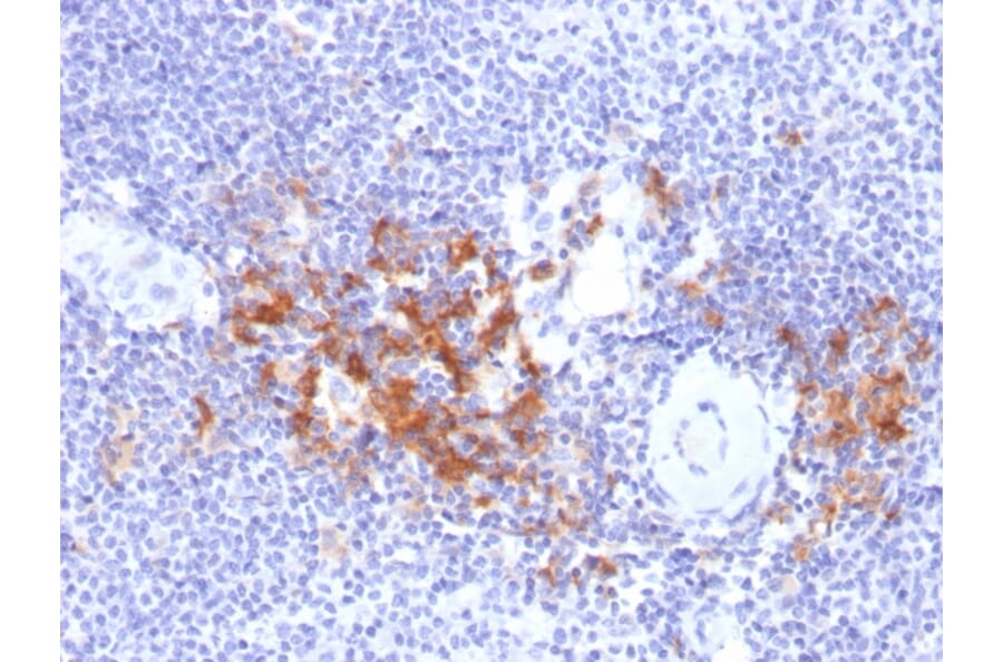
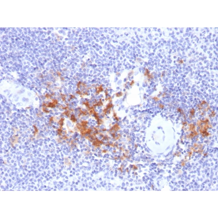
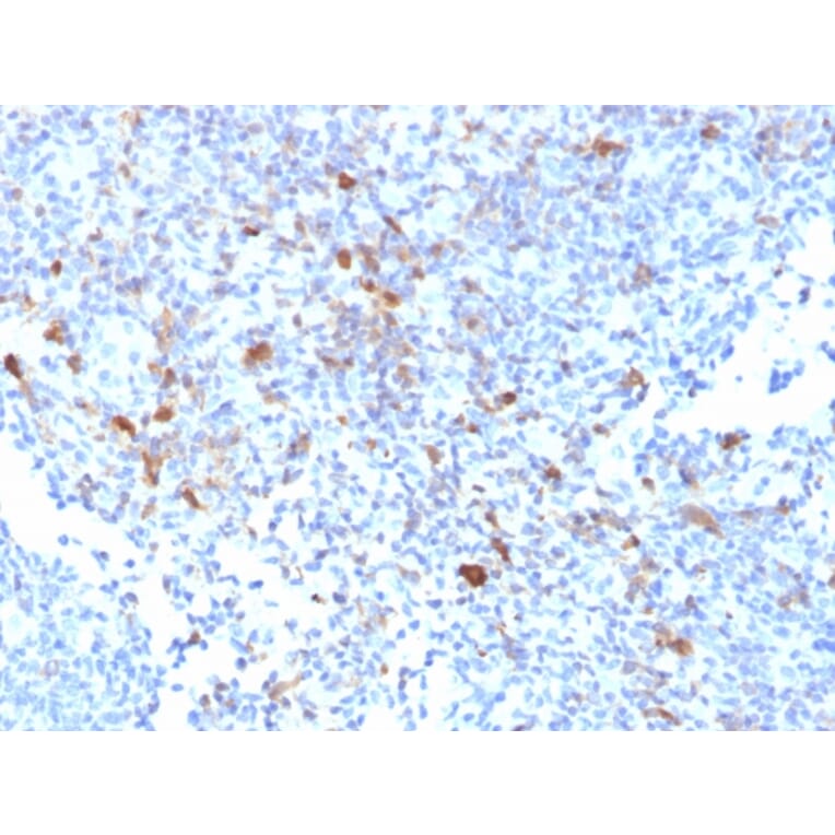
Anti-TRAF1 Antibody [TRAF1/2770] - BSA and Azide free (A253392)

Mouse monoclonal [TRAF1/2770] antibody to TRAF1 for IHC-P.

Alternative Formats and ConjugatesAlternative Formats

Shipping Information

$40
Dispatched from St. Louis, MO.
Lead Time: 5-8 business days.
Name
Anti-TRAF1 Antibody [TRAF1/2770] - BSA and Azide free
Description
Mouse monoclonal [TRAF1/2770] antibody to TRAF1.
Specificity
This antibody recognizes a protein of 52kDa, which is identified as TNFR1 (TNFR-associated factor 1). CD30-positive lymphoproliferations of the skin comprise 30% of all primary cutaneous T-cell lymphomas (CTCLs). Besides borderline cases this group includes lymphomatoid papulosis (LyP) and primary cutaneous anaplastic large T-cell lymphoma (cALCL). Although the two entities overlap clinically, histopathologically, immunopathologically and genetically, they differ considerably in their prognosis. In particular, common feature of both cases is histologically the presence of atypical lymphoid CD30-positive T blasts and genetically a clonal T-cell-receptor rearrangement. However, both cases differ considerably in their clinical course: Lesions of LyP regress spontaneously, whereas those of cALCL persist and may progress and spread. Moreover, LyP patients do not benefit from an aggressive radio- and/or chemotherapeutic approach, in contrast to patients with cALCL. Besides, LyP and cALCL differ strongly in the expression of TRAF1 (tumor necrosis factor receptor (TNFR)-associated factor 1), a component of TNFR signaling: Whereas tumor cells of most LyP cases (ca. 84%) show a strong TRAF1 expression, tumor cells of cALCL reveal TRAF1 expression in only a few cases (ca. 7%). Antibody to TRAF1 is highly useful for the differentiation of LyP and cALCL in patients with cutaneous CD30-positive lymphoproliferations.
Applications
IHC-P
Dilutions
IHC-P: 1-2 µg/ml
Reactivity
Human
Immunogen
Recombinant fragment, around amino acids 73-219, of human TRAF1 protein. The exact sequence is proprietary.
Host
Mouse
Clonality
Monoclonal
Clone ID
TRAF1/2770
Isotype
IgG1
Light Chains
kappa
Conjugate

Unconjugated

Purification
Protein A/G chromatography.
Concentration
1 mg/ml
Molecular Weight
52 kDa
Product Form
Liquid
Formulation
Supplied in 10mM Phosphate Buffered Saline; without Sodium Azide and carrier free.
Storage
Shipped at 4°C. Upon delivery aliquot and store at -20°C. Avoid freeze / thaw cycles.
General Notes
This monoclonal antibody is also available in a different formulation with BSA and Sodium Azide - Anti-TRAF1 Antibody [TRAF1/2770] (A250212).
Synonyms
EBI6, Epstein-Barr virus-induced protein 6, TNF receptor-associated factor 1
Disclaimer
This product is for research use only. It is not intended for diagnostic or therapeutic use.
Publishing research using Anti-TRAF1 Antibody [TRAF1/2770] - BSA and Azide free (A253392)? Please let us know so that we can list the citation on this page.

Alternative products to Anti-TRAF1 Antibody [TRAF1/2770] - BSA and Azide free (A253392)

Proteins predicted to interact with TRAF1

Predicted protein interactions based upon String database. Revelancy score correlates with probability of interaction.
99.9% Relevancy Score
99.9% Relevancy Score
99.9% Relevancy Score
99.9% Relevancy Score
99.7% Relevancy Score
99.5% Relevancy Score
98.8% Relevancy Score
98.4% Relevancy Score
97.9% Relevancy Score