Primary Antibodies
Secondary Antibodies
Proteins & Peptides
ELISA Kits
About Us
Contact Us
Sign In/Register
0
ISO 9001:2015 Certified
Live Customer Support
4.5/5 on Trustpilot
100% Quality Guarantee
Home
Primary Antibodies
CIKS Antibodies
Anti-TRAF3IP2 Antibody (A36707)
Anti-TRAF3IP2 Antibody (A36707)
Overview
Specifications
Images
Enlarge Image
Enlarge Image
$430
Product Datasheet
Rabbit polyclonal antibody to TRAF3IP2 for WB and IHC.
100% Guarantee
Price Match Guarantee
Product Size:
100µl
Quantity:
1
2
3
4
5
6
7
8
9
10
Add To Cart
Request a Quotation
Custom or Bulk Request
Shipping Information
Freight/Packing Charges:
$40
Dispatched from St. Louis, MO.
Lead Time: 6-9 business days.
Specifications
Name
Anti-TRAF3IP2 Antibody
Description
Rabbit polyclonal antibody to TRAF3IP2
Specificity
The antibody detects endogenous levels of total TRAF3IP2 protein.
Applications
WB
,
IHC
Reactivity
Human
Immunogen
Fusion protein corresponding to residues near the N terminal of human TRAF3 interacting protein 2
Host
Rabbit
Clonality
Polyclonal
Conjugate
Unconjugated
Purification
Antigen affinity purification.
Concentration
1 mg/mL
Formulation
Supplied in PBS, pH 7.3, containing 0.05% sodium azide and 50% glycerol.
Storage
Shipped at 4°C. Upon delivery aliquot and store at -20°C. Avoid freeze/thaw cycles.
Synonyms
ACT1, Adapter protein CIKS, C6orf2, C6orf4, C6orf5, C6orf6, Connection to IKK and SAPK/JNK, E3 ubiquitin ligase TRAF3IP2, E3 ubiquitin-protein ligase CIKS, Nuclear factor NF-kappa-B activator 1, TRAF3-interacting protein 2
Suitable Secondaries
Goat Anti-Rabbit IgG H&L Antibody (AP) (A294874)
Goat Anti-Rabbit IgG H&L Antibody (Biotin) (A294795)
Goat Anti-Rabbit IgG H&L Antibody (FITC) (A294887)
Goat Anti-Rabbit IgG H&L Antibody (HRP) (A294888)
See all Anti-Rabbit IgG Secondaries →
Disclaimer
This product is for research use only. It is not intended for diagnostic or therapeutic use.
Scientific Validation Data
Validation Data
(2)
Enlarge Image
Anti-TRAF3IP2 Antibody (A36707)
Gel: 10% SDS-PAGE Lysate: 40ug Jurkat cell Primary antibody: 1/500 dilution Secondary antibody dilution: 1/8000 Exposure time: 40 seconds
Enlarge Image
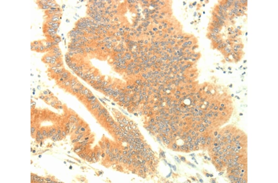
Immunohistochemistry - Anti-TRAF3IP2 Antibody (A36707)
Immunohistochemical analysis of paraffin-embedded Human colon cancer tissue using #35970 at dilution 1/30.
Publishing research using Anti-TRAF3IP2 Antibody (A36707)? Please
let us know
so that we can list the citation on this page.
Alternative products to Anti-TRAF3IP2 Antibody (A36707)
(2)
A48307
Anti-CIKS Antibody
Rabbit polyclonal antibody to CIKS for ELISA, WB and IHC.
A41746
Anti-TRAF3IP2 Antibody
Rabbit polyclonal antibody to TRAF3IP2 for WB and ICC/IF.
(2)
A48306
Anti-CIKS Antibody
Rabbit polyclonal antibody to CIKS for ELISA, WB and IHC.
A31596
Anti-TRAF3IP2 Antibody
Rabbit polyclonal antibody to TRAF3IP2 for WB and IHC.
(2)
A48307
Anti-CIKS Antibody
Rabbit polyclonal antibody to CIKS for ELISA, WB and IHC.
A41746
Anti-TRAF3IP2 Antibody
Rabbit polyclonal antibody to TRAF3IP2 for WB and ICC/IF.
(2)
A48306
Anti-CIKS Antibody
Rabbit polyclonal antibody to CIKS for ELISA, WB and IHC.
A31596
Anti-TRAF3IP2 Antibody
Rabbit polyclonal antibody to TRAF3IP2 for WB and IHC.
Proteins predicted to interact with CIKS
Predicted protein interactions based upon String database. Revelancy score correlates with probability of interaction.
TRAF3 Antibodies
98.8% Relevancy Score
IL-17RA Antibodies
97.6% Relevancy Score
TRAF6 Antibodies
96.8% Relevancy Score
IKK gamma Antibodies
93.7% Relevancy Score
IKK beta Antibodies
88.5% Relevancy Score
IL-17RC Antibodies
86.5% Relevancy Score
IL-17A Antibodies
84.9% Relevancy Score
TRAF5 Antibodies
84.8% Relevancy Score
IL-17RB Antibodies
75.5% Relevancy Score
Top