Primary Antibodies
Secondary Antibodies
Proteins & Peptides
ELISA Kits
About Us
Contact Us
Sign In/Register
0
ISO 9001:2015 Certified
Live Customer Support
4.5/5 on Trustpilot
100% Quality Guarantee
Home
Primary Antibodies
TRAF7 Antibodies
Anti-TRAF7 Antibody (A37996)
Anti-TRAF7 Antibody (A37996)
Overview
Specifications
Images
Enlarge Image
Enlarge Image
$430
Product Datasheet
Rabbit polyclonal antibody to TRAF7 for WB and IHC.
100% Guarantee
Price Match Guarantee
Product Size:
100µl
Quantity:
1
2
3
4
5
6
7
8
9
10
Add To Cart
Request a Quotation
Custom or Bulk Request
Shipping Information
Freight/Packing Charges:
$40
Dispatched from St. Louis, MO.
Lead Time: 6-9 business days.
Specifications
Name
Anti-TRAF7 Antibody
Description
Rabbit polyclonal antibody to TRAF7
Specificity
The antibody detects endogenous levels of total TRAF7 protein.
Applications
WB
,
IHC
Reactivity
Human
Immunogen
Synthetic peptide corresponding to a region derived from internal residues of human TNF receptor-associated factor 7, E3 ubiquitin protein ligase
Host
Rabbit
Clonality
Polyclonal
Conjugate
Unconjugated
Purification
Antigen affinity purification.
Concentration
0.7 mg/mL
Formulation
Supplied in PBS, pH 7.3, containing 0.05% sodium azide and 50% glycerol.
Storage
Shipped at 4°C. Upon delivery aliquot and store at -20°C. Avoid freeze/thaw cycles.
Synonyms
E3 ubiquitin-protein ligase TRAF7, RFWD1, RING finger and WD repeat-containing protein 1, RING finger protein 119, RING-type E3 ubiquitin transferase TRAF7, RNF119, TNF receptor-associated factor 7
Suitable Secondaries
Goat Anti-Rabbit IgG H&L Antibody (AP) (A294874)
Goat Anti-Rabbit IgG H&L Antibody (Biotin) (A294795)
Goat Anti-Rabbit IgG H&L Antibody (FITC) (A294887)
Goat Anti-Rabbit IgG H&L Antibody (HRP) (A294888)
See all Anti-Rabbit IgG Secondaries →
Disclaimer
This product is for research use only. It is not intended for diagnostic or therapeutic use.
Scientific Validation Data
Validation Data
(2)
Enlarge Image
Anti-TRAF7 Antibody (A37996)
Gel: 8% SDS-PAGE Lysate: 40ug Jurkat cell Primary antibody: 1/300 dilution Secondary antibody dilution: 1/8000 Exposure time: 2 minutes
Enlarge Image
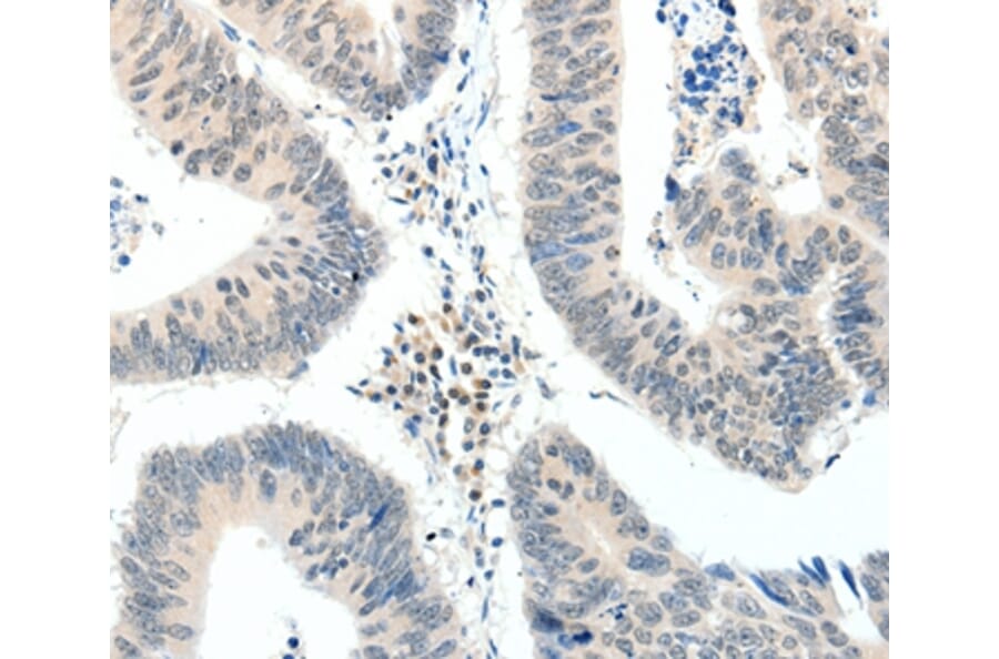
Immunohistochemistry - Anti-TRAF7 Antibody (A37996)
Immunohistochemical analysis of paraffin-embedded Human colon cancer tissue using #37054 at dilution 1/20.
Publishing research using Anti-TRAF7 Antibody (A37996)? Please
let us know
so that we can list the citation on this page.
Alternative products to Anti-TRAF7 Antibody (A37996)
(5)
A14346
Anti-TRAF7 Antibody
Rabbit polyclonal antibody to TRAF7 for WB, IHC and ICC/IF.
(3)
A38146
Anti-TRAF7 Antibody
Rabbit polyclonal antibody to TRAF7 for WB.
A91134
Anti-TRAF7 Antibody
Rabbit polyclonal antibody to TRAF7 for WB.
A91133
Anti-TRAF7 Antibody
Rabbit polyclonal antibody to TRAF7 for WB.
(5)
A14346
Anti-TRAF7 Antibody
Rabbit polyclonal antibody to TRAF7 for WB, IHC and ICC/IF.
(3)
A38146
Anti-TRAF7 Antibody
Rabbit polyclonal antibody to TRAF7 for WB.
A91134
Anti-TRAF7 Antibody
Rabbit polyclonal antibody to TRAF7 for WB.
A91133
Anti-TRAF7 Antibody
Rabbit polyclonal antibody to TRAF7 for WB.
Proteins predicted to interact with TRAF7
Predicted protein interactions based upon String database. Revelancy score correlates with probability of interaction.
UBA52 Antibodies
96.7% Relevancy Score
MEKK3 Antibodies
88.4% Relevancy Score
MAZ Antibodies
79.3% Relevancy Score
UBE2E2 Antibodies
77.4% Relevancy Score
NF2 Antibodies
73.7% Relevancy Score
TAK1 Antibodies
63.1% Relevancy Score
TRAF1 Antibodies
62.4% Relevancy Score
KLF4 Antibodies
62.4% Relevancy Score
TRAF6 Antibodies
62% Relevancy Score
Top