ISO 9001:2015 Certified
Live Customer Support
4.5/5 on Trustpilot
100% Quality Guarantee

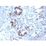
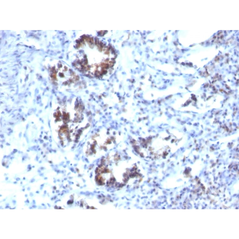
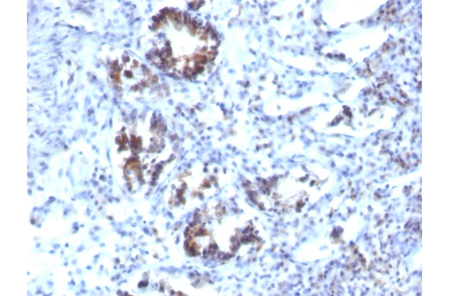
Anti-Transgelin Antibody [SPM606] - BSA and Azide free (A253255)

Mouse monoclonal [SPM606] antibody to Transgelin for Flow Cytometry, IF and IHC-P.

Alternative Formats and ConjugatesAlternative Formats

Shipping Information

$40
Dispatched from St. Louis, MO.
Lead Time: 5-8 business days.
Name
Anti-Transgelin Antibody [SPM606] - BSA and Azide free
Description
Mouse monoclonal [SPM606] antibody to Transgelin.
Specificity
This antibody recognizes a 22kDa protein, identified as Transgelin, also designated SM22-alpha. It may cross-react with SM22-beta. Transgelin is expressed abundantly in smooth muscle cells. The human transgelin gene encodes a 201 amino acid protein that contains nuclear factor-binding motifs known to regulate transcription in smooth muscle. During embryogenesis, transgelin is expressed in smooth, cardiac and skeletal muscle, but is restricted during late fetal development and adulthood to all vascular and visceral smooth muscle cells and low levels of expression in heart. Transgelin is down regulated in several transformed cell lines, indicating that a reduction of transgelin expression may be an early indicator of the onset of transformation. Transgelin also binds Actin, causing Actin fibers to gel within minutes of binding. Binding of transgelin to Actin occurs at a ratio of 1:6 Actin monomers.
Applications
Flow Cytometry, IF, IHC-P
Dilutions
Flow Cytometry: 1-2 µg/million cells, IF: 1-2 µg/ml, IHC-P: 1-2 µg/ml
Reactivity
Human, Bovine, Porcine, Rabbit, Mouse
Immunogen
Recombinant full-length human Transgelin protein.
Host
Mouse
Clonality
Monoclonal
Clone ID
SPM606
Isotype
IgG1
Light Chains
kappa
Conjugate

Unconjugated

Purification
Protein A/G chromatography.
Concentration
1 mg/ml
Molecular Weight
22 kDa
Product Form
Liquid
Formulation
Supplied in 10mM Phosphate Buffered Saline; without Sodium Azide and carrier free.
Storage
Shipped at 4°C. Upon delivery aliquot and store at -20°C. Avoid freeze / thaw cycles.
General Notes
This monoclonal antibody is also available in a different formulation with BSA and Sodium Azide - Anti-Transgelin Antibody [SPM606] (A250075).
Synonyms
22 kDa actin-binding protein, Protein WS3-10, SM22, SM22-alpha, Smooth muscle protein 22-alpha, TAGLN, WS3-10
Disclaimer
This product is for research use only. It is not intended for diagnostic or therapeutic use.
Publishing research using Anti-Transgelin Antibody [SPM606] - BSA and Azide free (A253255)? Please let us know so that we can list the citation on this page.

Alternative products to Anti-Transgelin Antibody [SPM606] - BSA and Azide free (A253255)

Proteins predicted to interact with Transgelin

Predicted protein interactions based upon String database. Revelancy score correlates with probability of interaction.
92.9% Relevancy Score
92.7% Relevancy Score
88.5% Relevancy Score
80.7% Relevancy Score
79.8% Relevancy Score
79.4% Relevancy Score
78.5% Relevancy Score