Primary Antibodies
Secondary Antibodies
Proteins & Peptides
ELISA Kits
About Us
Contact Us
Sign In/Register
0
ISO 9001:2015 Certified
Live Customer Support
4.5/5 on Trustpilot
100% Quality Guarantee
Home
Primary Antibodies
Transketolase Antibodies
Anti-Transketolase Antibody (A92082)
Anti-Transketolase Antibody (A92082)
Overview
Specifications
Images
Enlarge Image
$375
Product Datasheet
Rabbit polyclonal antibody to Transketolase for IHC.
100% Guarantee
Price Match Guarantee
Product Size:
100µl
Quantity:
1
2
3
4
5
6
7
8
9
10
Add To Cart
Request a Quotation
Custom or Bulk Request
Shipping Information
Freight/Packing Charges:
$40
Dispatched from St. Louis, MO.
Lead Time: 7-10 business days.
Specifications
Name
Anti-Transketolase Antibody
Description
Rabbit polyclonal antibody to Transketolase.
Applications
IHC
Dilutions
IHC: 1:50-1:200
Reactivity
Human, Mouse, Rat
Immunogen
Recombinant fusion protein containing a sequence corresponding to amino acids 1-280 of human TKT (NP_001128527.1).
Sequence
MESYHKPDQQKLQALKDTANRLRISSIQATTAAGSGHPTSCCSAAEIMAVLFFHTMRYKSQDPRNPHNDRFVLSKGHAAPILYAVWAEAGFLAEAELLNLRKISSDLDGHPVPKQAFTDVATGSLGQGLGAACGMAYTGKYFDKASYRVYCLLGDGELSEGSVWEAMAFASIYKLDNLVAILDINRLGQSDPAPLQHQMDIYQKRCEAFGWHAIIVDGHSVEELCKAFGQAKHQPTAIIAKTFKGRGITGVEDKESWHGKPLPKNMAEQIIQEIYSQIQS
Host
Rabbit
Clonality
Polyclonal
Isotype
IgG
Conjugate
Unconjugated
Purification
Affinity purification.
Concentration
Lot Specific
Product Form
Liquid
Formulation
Supplied in Phosphate Buffered Saline, pH 7.3, with 50% Glycerol and 0.02% Sodium Azide.
Storage
Shipped at 4°C. Upon delivery aliquot and store at -20°C. Avoid freeze/thaw cycles.
Synonyms
TK, TKT
Isotype Controls
Rabbit IgG (A82272)
Rabbit IgG (A17360)
Suitable Secondaries
Goat Anti-Rabbit IgG H&L Antibody (AP) (A294874)
Goat Anti-Rabbit IgG H&L Antibody (Biotin) (A294795)
Goat Anti-Rabbit IgG H&L Antibody (FITC) (A294887)
Goat Anti-Rabbit IgG H&L Antibody (HRP) (A294888)
See all Anti-Rabbit IgG Secondaries →
Disclaimer
This product is for research use only. It is not intended for diagnostic or therapeutic use.
Scientific Validation Data
Validation Data
(1)
Enlarge Image
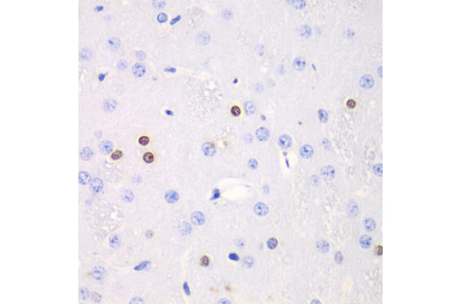
Immunohistochemistry - Anti-Transketolase Antibody (A92082)
Immunohistochemistry analysis of paraffin-embedded rat brain using Anti-Transketolase Antibody (A92082) at a dilution of 1:100 (40x lens).
Publishing research using Anti-Transketolase Antibody (A92082)? Please
let us know
so that we can list the citation on this page.
Alternative products to Anti-Transketolase Antibody (A92082)
(3)
A15167
Anti-Transketolase Antibody
Rabbit polyclonal antibody to Transketolase for WB and IHC.
A25625
Anti-TK (P7) Antibody
Rabbit polyclonal antibody to TK (P7) for WB, IHC and IF.
(3)
A34767
Anti-TK (Ab-13) Antibody
Rabbit polyclonal antibody to TK (Ab-13) for WB, IHC and ICC/IF.
A51395
Anti-TK (Phospho-Ser13) Antibody
Rabbit polyclonal antibody to TK (Phospho-Ser13) for WB and IHC.
(3)
A15167
Anti-Transketolase Antibody
Rabbit polyclonal antibody to Transketolase for WB and IHC.
A25625
Anti-TK (P7) Antibody
Rabbit polyclonal antibody to TK (P7) for WB, IHC and IF.
(3)
A34767
Anti-TK (Ab-13) Antibody
Rabbit polyclonal antibody to TK (Ab-13) for WB, IHC and ICC/IF.
A51395
Anti-TK (Phospho-Ser13) Antibody
Rabbit polyclonal antibody to TK (Phospho-Ser13) for WB and IHC.
Proteins predicted to interact with Transketolase
Predicted protein interactions based upon String database. Revelancy score correlates with probability of interaction.
Transaldolase 1 Antibodies
99.9% Relevancy Score
GPI Antibodies
99.7% Relevancy Score
RPIA Antibodies
99.5% Relevancy Score
RPE Antibodies
99.4% Relevancy Score
FBP1 Antibodies
98.1% Relevancy Score
TPI1 Antibodies
98% Relevancy Score
GAPDH Antibodies
97.8% Relevancy Score
PGD Antibodies
97.5% Relevancy Score
FBP2 Antibodies
97.5% Relevancy Score
Top