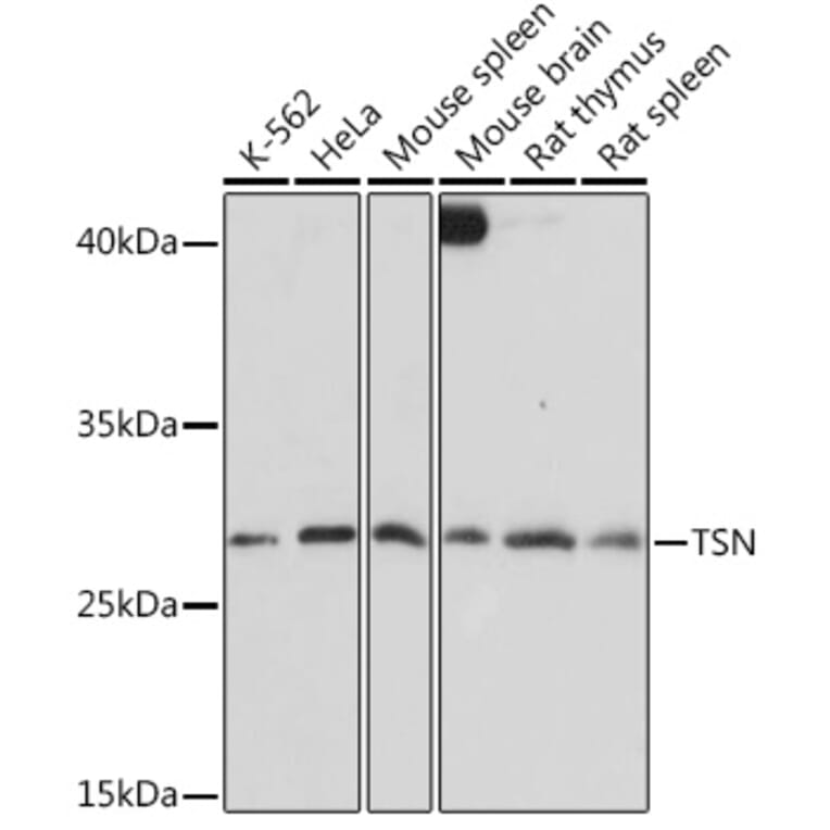
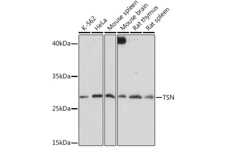
Western Blot - Anti-Translin/TSN Antibody (A305994)
Western blot analysis of extracts of various cell lines, using Anti-Translin/TSN Antibody (A305994) at 1:1,000 dilution. The secondary antibody was Goat Anti-Rabbit IgG H&L Antibody (HRP) at 1:10,000 dilution. Lysates/proteins were present at 25µg per lane. The blocking buffer used was 3% non-fat dry milk in TBST. Detection was with a ECL Basic Kit. Exposure time: 30s.
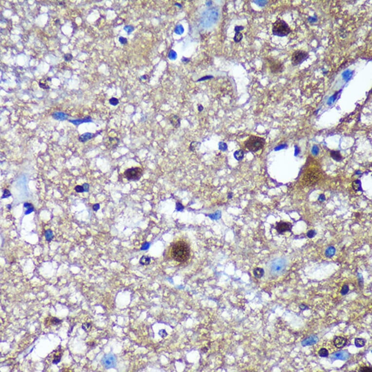
Immunohistochemistry analysis of paraffin-embedded mouse spinal cord using Anti-Translin/TSN Antibody (A305994) at a dilution of 1:100 (40x lens). Perform microwave antigen retrieval with 10 mM PBS buffer pH 7.2 before commencing with IHC staining protocol.
Immunohistochemistry analysis of paraffin-embedded rat ovary using Anti-Translin/TSN Antibody (A305994) at a dilution of 1:100 (40x lens). Perform microwave antigen retrieval with 10 mM PBS buffer pH 7.2 before commencing with IHC staining protocol.
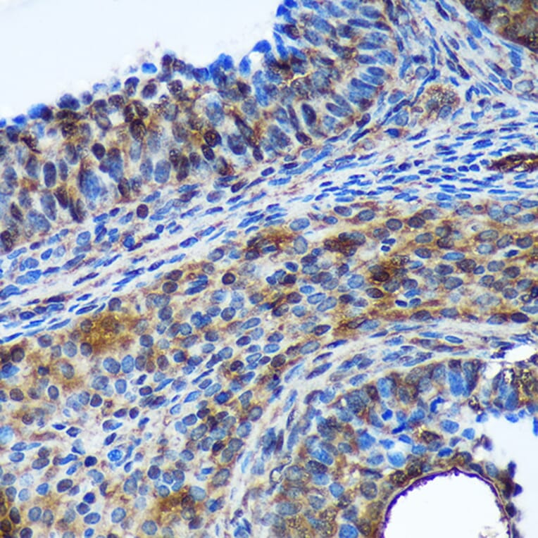
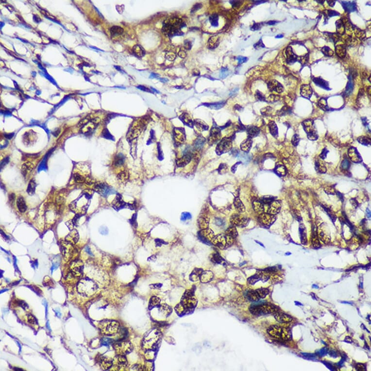
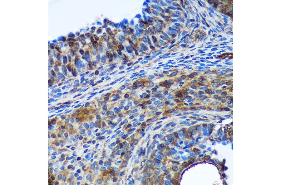
Immunohistochemistry analysis of paraffin-embedded human colon carcinoma tissue using Anti-Translin/TSN Antibody (A305994) at a dilution of 1:100 (40x lens). Perform microwave antigen retrieval with 10 mM PBS buffer pH 7.2 before commencing with IHC staining protocol.
Publishing research using Anti-Translin/TSN Antibody (A305994)? Please let us know so that we can list the citation on this page.