ISO 9001:2015 Certified
Live Customer Support
4.5/5 on Trustpilot
100% Quality Guarantee

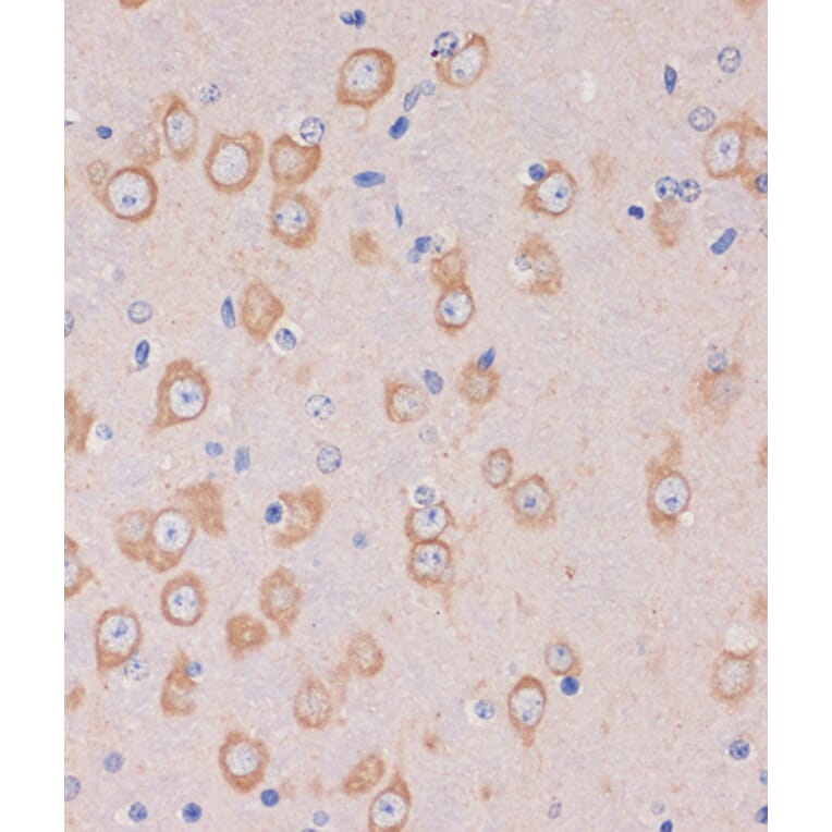
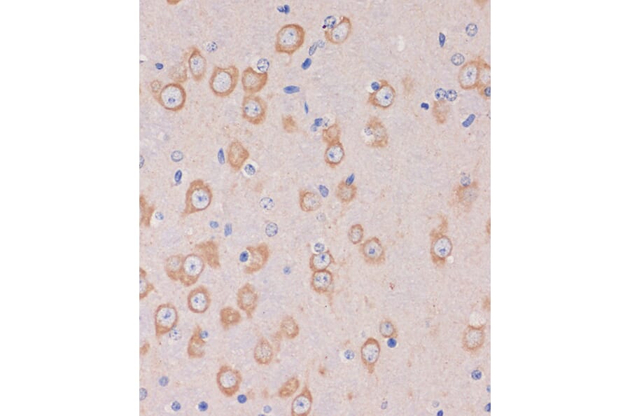
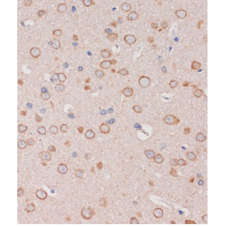
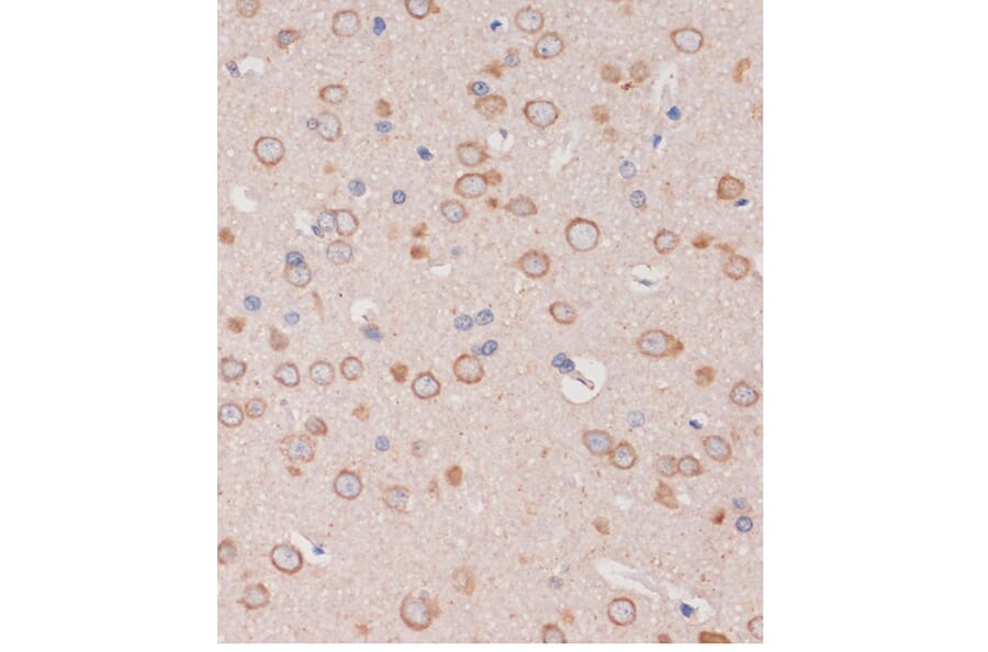
Anti-TRAPPC6B Antibody (A88586)

Rabbit polyclonal antibody to TRAPPC6B for WB and IHC.

Shipping Information

$40
Dispatched from St. Louis, MO.
Lead Time: 7-10 business days.
Name
Anti-TRAPPC6B Antibody
Description
Rabbit polyclonal antibody to TRAPPC6B.
Applications
WB, IHC
Dilutions
WB: 1:200-1:2,000, IHC: 1:50-1:200
Reactivity
Mouse, Rat
Immunogen
Recombinant fusion protein containing a sequence corresponding to amino acids 1-130 of human TRAPPC6B (NP_803235.1).
Sequence
MADEALFLLLHNEMVSGVYKSAEQGEVENGRCITKLENMGFRVGQGLIERFTKDTARFKDELDIMKFICKDFWTTVFKKQIDNLRTNHQYLAFTCGLIRGGLSNLGIKSIVTAEVSSMPACKFQVMIQKL
Host
Rabbit
Clonality
Polyclonal
Isotype
IgG
Conjugate

Unconjugated

Purification
Affinity purification.
Concentration
Lot Specific
Molecular Weight
18 kDa
Product Form
Liquid
Formulation
Supplied in Phosphate Buffered Saline, pH 7.3, with 50% Glycerol and 0.01% Thiomersal.
Storage
Shipped at 4°C. Upon delivery aliquot and store at -20°C. Avoid freeze/thaw cycles.
Synonyms
Trafficking protein particle complex subunit 6B, TRAPP complex subunit 6B
Disclaimer
This product is for research use only. It is not intended for diagnostic or therapeutic use.
Publishing research using Anti-TRAPPC6B Antibody (A88586)? Please let us know so that we can list the citation on this page.

Proteins predicted to interact with TRAPPC6B

Predicted protein interactions based upon String database. Revelancy score correlates with probability of interaction.
99.9% Relevancy Score
99.9% Relevancy Score
99.8% Relevancy Score
99.7% Relevancy Score
99.4% Relevancy Score
92.8% Relevancy Score
84.1% Relevancy Score
82.6% Relevancy Score
80.4% Relevancy Score