Primary Antibodies
Secondary Antibodies
Proteins & Peptides
ELISA Kits
About Us
Contact Us
Sign In/Register
0
ISO 9001:2015 Certified
Live Customer Support
4.5/5 on Trustpilot
100% Quality Guarantee
Home
Primary Antibodies
KCNK18 Antibodies
Anti-TRESK Antibody (A48023)
Anti-TRESK Antibody (A48023)
Overview
Specifications
Images
Enlarge Image
Enlarge Image
$780
Product Datasheet
Rabbit polyclonal antibody to TRESK for ELISA, WB and IHC.
100% Guarantee
Price Match Guarantee
Product Size:
100µl
Quantity:
1
2
3
4
5
6
7
8
9
10
Add To Cart
Request a Quotation
Custom or Bulk Request
Shipping Information
Freight/Packing Charges:
$40
Dispatched from St. Louis, MO.
Lead Time: 6-9 business days.
Specifications
Name
Anti-TRESK Antibody
Description
Rabbit polyclonal antibody to TRESK
Applications
ELISA
,
WB
,
IHC
Reactivity
Human, Mouse, Rat
Immunogen
Raised against a 17 amino acid peptide from near the center of human TRESK.
Host
Rabbit
Clonality
Polyclonal
Conjugate
Unconjugated
Purification
Affinity chromatography purified via peptide column
Formulation
Supplied in phosphate-buffered saline with 0.02% Sodium Azide.
Storage
Shipped at 4°C. Upon delivery aliquot and store at -20°C. Avoid freeze/thaw cycles.
Synonyms
Potassium channel subfamily K member 18, TRIK, TWIK-related individual potassium channel, TWIK-related spinal cord potassium channel
Suitable Secondaries
Goat Anti-Rabbit IgG H&L Antibody (AP) (A294874)
Goat Anti-Rabbit IgG H&L Antibody (Biotin) (A294795)
Goat Anti-Rabbit IgG H&L Antibody (FITC) (A294887)
Goat Anti-Rabbit IgG H&L Antibody (HRP) (A294888)
See all Anti-Rabbit IgG Secondaries →
Disclaimer
This product is for research use only. It is not intended for diagnostic or therapeutic use.
Scientific Validation Data
Validation Data
(2)
Enlarge Image
Anti-TRESK Antibody (A48023)
Western blot analysis of TRESK in rat brain tissue lysate with TRESK antibody at (A) 1 and (B) 2 µg/mL.
Enlarge Image
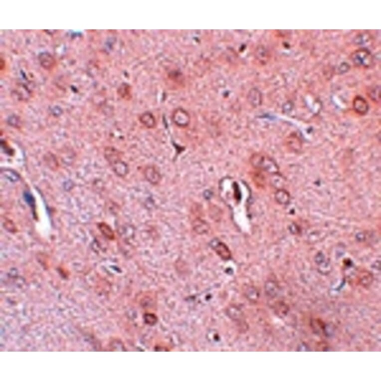
Immunohistochemistry - Anti-TRESK Antibody (A48023)
Immunohistochemistry of TRESK in rat brain tissue with TRESK antibody at 5 µg/mL.
Publishing research using Anti-TRESK Antibody (A48023)? Please
let us know
so that we can list the citation on this page.
Proteins predicted to interact with KCNK18
Predicted protein interactions based upon String database. Revelancy score correlates with probability of interaction.
Cytokeratin 2 Antibodies
98.7% Relevancy Score
KCNK13 Antibodies
87.6% Relevancy Score
KCNK12 Antibodies
85% Relevancy Score
KCNK17 Antibodies
84.2% Relevancy Score
ATP1A2 Antibodies
81.4% Relevancy Score
KCNK3 Antibodies
80.8% Relevancy Score
SCN1A Antibodies
76.8% Relevancy Score
KCNK1 Antibodies
73.4% Relevancy Score
KCNK9 Antibodies
72.4% Relevancy Score
Top