Primary Antibodies
Secondary Antibodies
Proteins & Peptides
ELISA Kits
About Us
Contact Us
Sign In/Register
0
ISO 9001:2015 Certified
Live Customer Support
4.5/5 on Trustpilot
100% Quality Guarantee
Home
Primary Antibodies
TRIB3 Antibodies
Anti-TRIB3 Antibody (A46332)
Anti-TRIB3 Antibody (A46332)
Overview
Specifications
Images
Enlarge Image
Enlarge Image
$430
Product Datasheet
Rabbit polyclonal antibody to TRIB3 for IHC.
100% Guarantee
Price Match Guarantee
Product Size:
100µl
Quantity:
1
2
3
4
5
6
7
8
9
10
Add To Cart
Request a Quotation
Custom or Bulk Request
Shipping Information
Freight/Packing Charges:
$40
Dispatched from St. Louis, MO.
Lead Time: 6-9 business days.
Specifications
Name
Anti-TRIB3 Antibody
Description
Rabbit polyclonal antibody to TRIB3
Specificity
The antibody detects endogenous levels of total TRIB3 protein.
Applications
IHC
Reactivity
Human
Immunogen
Full length fusion protein
Host
Rabbit
Clonality
Polyclonal
Conjugate
Unconjugated
Purification
Antigen affinity purification.
Concentration
1.7 mg/mL
Formulation
Rabbit IgG in pH7.4 PBS, 0.05% NaN3, 40% Glycerol.
Storage
Shipped at 4°C. Upon delivery aliquot and store at -20°C. Avoid freeze/thaw cycles.
Synonyms
C20orf97, Neuronal cell death-inducible putative kinase, NIPK, p65-interacting inhibitor of NF-kappa-B, SINK, SKIP3, TRB-3, TRB3, Tribbles homolog 3
Suitable Secondaries
Goat Anti-Rabbit IgG H&L Antibody (AP) (A294874)
Goat Anti-Rabbit IgG H&L Antibody (Biotin) (A294795)
Goat Anti-Rabbit IgG H&L Antibody (FITC) (A294887)
Goat Anti-Rabbit IgG H&L Antibody (HRP) (A294888)
See all Anti-Rabbit IgG Secondaries →
Disclaimer
This product is for research use only. It is not intended for diagnostic or therapeutic use.
Scientific Validation Data
Validation Data
(2)
Enlarge Image
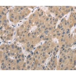
Immunohistochemistry - Anti-TRIB3 Antibody (A46332)
Immunohistochemical analysis of paraffin-embedded Human liver cancer tissue using #40167 at dilution 1/30.
Enlarge Image
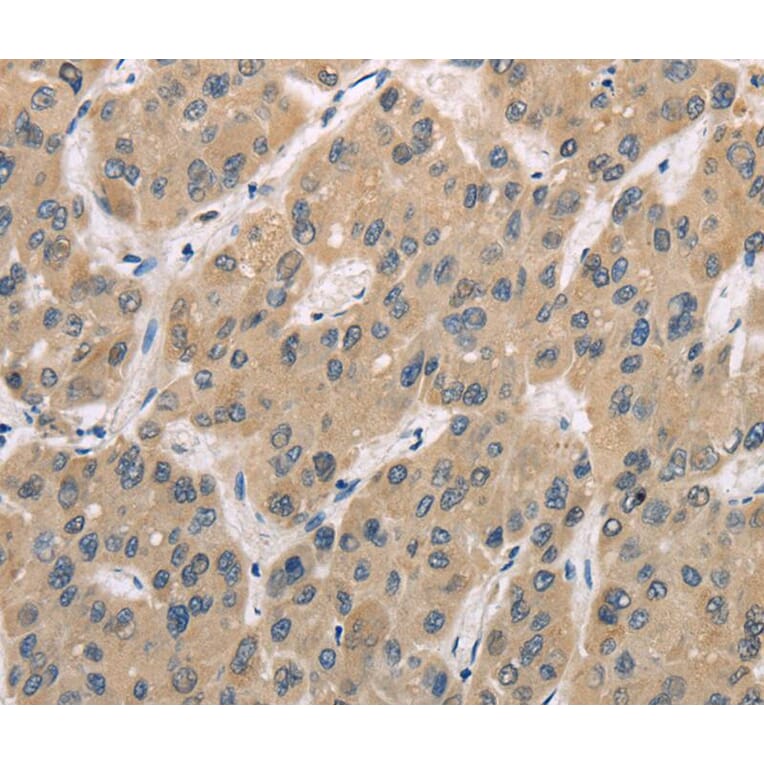
Immunohistochemistry - Anti-TRIB3 Antibody (A46332)
Immunohistochemical analysis of paraffin-embedded Human prostate cancer tissue using #40167 at dilution 1/30.
Publishing research using Anti-TRIB3 Antibody (A46332)? Please
let us know
so that we can list the citation on this page.
Alternative products to Anti-TRIB3 Antibody (A46332)
A28636
Anti-TRIB3 Antibody
Rabbit polyclonal antibody to TRIB3 for WB.
A348771
Anti-TRIB3 Antibody [23GB4690]
Recombinant rabbit monoclonal [23GB4690] antibody to TRIB3 for WB, Flow Cytometry and ICC/IF.
A348772
Anti-TRIB3 Antibody [24GB11715]
Recombinant rabbit monoclonal [24GB11715] antibody to TRIB3 for WB, Flow Cytometry and ICC/IF.
A309500
Anti-TRIB3 Antibody [ARC2685]
Rabbit monoclonal [ARC2685] antibody to TRIB3 for WB.
A28636
Anti-TRIB3 Antibody
Rabbit polyclonal antibody to TRIB3 for WB.
A348771
Anti-TRIB3 Antibody [23GB4690]
Recombinant rabbit monoclonal [23GB4690] antibody to TRIB3 for WB, Flow Cytometry and ICC/IF.
A348772
Anti-TRIB3 Antibody [24GB11715]
Recombinant rabbit monoclonal [24GB11715] antibody to TRIB3 for WB, Flow Cytometry and ICC/IF.
A309500
Anti-TRIB3 Antibody [ARC2685]
Rabbit monoclonal [ARC2685] antibody to TRIB3 for WB.
Proteins predicted to interact with TRIB3
Predicted protein interactions based upon String database. Revelancy score correlates with probability of interaction.
AKT1 Antibodies
99.8% Relevancy Score
ATF4 Antibodies
98.3% Relevancy Score
CHAC1 Antibodies
96.6% Relevancy Score
AKT2 Antibodies
96.5% Relevancy Score
CHOP Antibodies
93.1% Relevancy Score
PPAR alpha Antibodies
92.9% Relevancy Score
AKT3 Antibodies
91% Relevancy Score
COP1 Antibodies
90.3% Relevancy Score
Asparagine Synthetase Antibodies
90.2% Relevancy Score
Top