Primary Antibodies
Secondary Antibodies
Proteins & Peptides
ELISA Kits
About Us
Contact Us
Sign In/Register
0
ISO 9001:2015 Certified
Live Customer Support
4.5/5 on Trustpilot
100% Quality Guarantee
Home
Primary Antibodies
TRIM16 Antibodies
Anti-TRIM16 Antibody (A45653)
Anti-TRIM16 Antibody (A45653)
Overview
Specifications
Images
Enlarge Image
Enlarge Image
$430
Product Datasheet
Rabbit polyclonal antibody to TRIM16 for IHC.
100% Guarantee
Price Match Guarantee
Product Size:
100µl
Quantity:
1
2
3
4
5
6
7
8
9
10
Add To Cart
Request a Quotation
Custom or Bulk Request
Shipping Information
Freight/Packing Charges:
$40
Dispatched from St. Louis, MO.
Lead Time: 6-9 business days.
Specifications
Name
Anti-TRIM16 Antibody
Description
Rabbit polyclonal antibody to TRIM16
Specificity
The antibody detects endogenous levels of total TRIM16 protein.
Applications
IHC
Reactivity
Human
Immunogen
Fusion protein of human TRIM16
Host
Rabbit
Clonality
Polyclonal
Conjugate
Unconjugated
Purification
Antigen affinity purification.
Concentration
1.9 mg/mL
Formulation
Rabbit IgG in pH7.4 PBS, 0.05% NaN3, 40% Glycerol.
Storage
Shipped at 4°C. Upon delivery aliquot and store at -20°C. Avoid freeze/thaw cycles.
Synonyms
E3 ubiquitin-protein ligase TRIM16, EBBP, Estrogen-responsive B box protein, Tripartite motif-containing protein 16
Suitable Secondaries
Goat Anti-Rabbit IgG H&L Antibody (AP) (A294874)
Goat Anti-Rabbit IgG H&L Antibody (Biotin) (A294795)
Goat Anti-Rabbit IgG H&L Antibody (FITC) (A294887)
Goat Anti-Rabbit IgG H&L Antibody (HRP) (A294888)
See all Anti-Rabbit IgG Secondaries →
Disclaimer
This product is for research use only. It is not intended for diagnostic or therapeutic use.
Scientific Validation Data
Validation Data
(2)
Enlarge Image
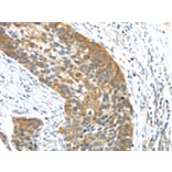
Immunohistochemistry - Anti-TRIM16 Antibody (A45653)
Immunohistochemical analysis of paraffin-embedded Human liver cancer tissue using #42781 at dilution 1/35.
Enlarge Image
Immunohistochemistry - Anti-TRIM16 Antibody (A45653)
Immunohistochemical analysis of paraffin-embedded Human oesophagus cancer tissue using #42781 at dilution 1/35.
Publishing research using Anti-TRIM16 Antibody (A45653)? Please
let us know
so that we can list the citation on this page.
Alternative products to Anti-TRIM16 Antibody (A45653)
A100205
Anti-TRIM16 Antibody
Rabbit polyclonal antibody to TRIM16 for IHC, IF and ELISA.
A45327
Anti-TRIM16 Antibody
Rabbit polyclonal antibody to TRIM16 for IHC.
A100205
Anti-TRIM16 Antibody
Rabbit polyclonal antibody to TRIM16 for IHC, IF and ELISA.
A45327
Anti-TRIM16 Antibody
Rabbit polyclonal antibody to TRIM16 for IHC.
Proteins predicted to interact with TRIM16
Predicted protein interactions based upon String database. Revelancy score correlates with probability of interaction.
Galectin 3 Antibodies
99.3% Relevancy Score
ATG16L1 Antibodies
90.2% Relevancy Score
Galectin 8 Antibodies
80.3% Relevancy Score
BBOX1 Antibodies
79.9% Relevancy Score
Beclin 1 Antibodies
78.3% Relevancy Score
TRIM Antibodies
69.4% Relevancy Score
IL-1 beta Antibodies
65% Relevancy Score
Syntaxin 3 Antibodies
63% Relevancy Score
PML Antibodies
62.6% Relevancy Score
Top