ISO 9001:2015 Certified
Live Customer Support
4.5/5 on Trustpilot
100% Quality Guarantee

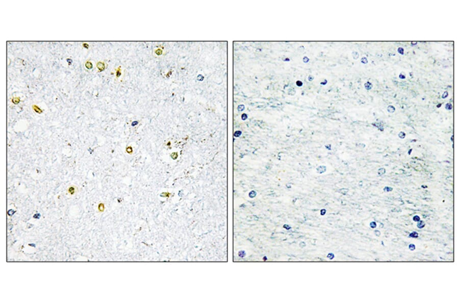
Anti-TRIM24 Antibody (A96708)

Rabbit polyclonal antibody to TRIM24 for WB, IHC, IF and ELISA.

Shipping Information

$40
Dispatched from St. Louis, MO.
Lead Time: 6-8 business days.
Name
Anti-TRIM24 Antibody
Description
Rabbit polyclonal antibody to TRIM24.
Applications
WB, IHC, IF, ELISA
Dilutions
WB: 1:500~1:1000, IHC: 1:50~1:100, ELISA: 1:20000
Reactivity
Human, Mouse
Cross Reactivity
No reported cross-reactivity.
Immunogen
Synthetic peptide derived from human TRIM24 (amino acids 1001-1050).
Host
Rabbit
Clonality
Polyclonal
Isotype
IgG
Conjugate

Unconjugated

Purification
Purified from rabbit serum by antigen affinity chromatography using the immunizing peptide.
Molecular Weight
116kDa
Product Form
Liquid
Formulation
Supplied in Phosphate Buffered Saline (without Mg2+ and Ca2+), pH 7.4, with 150mM NaCl, 0.02% Sodium Azide, and 50% Glycerol.
Storage
Shipped at 4°C. Upon delivery aliquot and store at -20°C. Avoid freeze / thaw cycles.
Synonyms
E3 ubiquitin-protein ligase TRIM24, RING finger protein 82, RING-type E3 ubiquitin transferase TIF1-alpha, RNF82, TIF1, TIF1-alpha, TIF1A, Transcription intermediary factor 1-alpha, Tripartite motif-containing protein 24
Disclaimer
This product is for research use only. It is not intended for diagnostic or therapeutic use.
Publishing research using Anti-TRIM24 Antibody (A96708)? Please let us know so that we can list the citation on this page.

Alternative products to Anti-TRIM24 Antibody (A96708)

Proteins predicted to interact with TRIM24

Predicted protein interactions based upon String database. Revelancy score correlates with probability of interaction.
96.2% Relevancy Score
95.1% Relevancy Score
92.4% Relevancy Score
87.9% Relevancy Score
86.5% Relevancy Score
83.9% Relevancy Score
80.4% Relevancy Score
80% Relevancy Score