Primary Antibodies
Secondary Antibodies
Proteins & Peptides
ELISA Kits
About Us
Contact Us
Sign In/Register
0
ISO 9001:2015 Certified
Live Customer Support
4.5/5 on Trustpilot
100% Quality Guarantee
Home
Primary Antibodies
TRIM3 Antibodies
Anti-TRIM3 Antibody (A46279)
Anti-TRIM3 Antibody (A46279)
Overview
Specifications
Images
Enlarge Image
Enlarge Image
$405
Rabbit polyclonal antibody to TRIM3 for IHC.
100% Guarantee
Price Match Guarantee
Product Size:
100µl
Quantity:
1
2
3
4
5
6
7
8
9
10
Add To Cart
Request a Quotation
Custom or Bulk Request
Shipping Information
Freight/Packing Charges:
$40
Dispatched from St. Louis, MO.
Lead Time: 6-9 business days.
Specifications
Name
Anti-TRIM3 Antibody
Description
Rabbit polyclonal antibody to TRIM3
Specificity
The antibody detects endogenous levels of total TRIM3 protein.
Applications
IHC
Reactivity
Human, Mouse, Rat
Immunogen
Synthetic peptide corresponding to residues near the N terminal of human tripartite motif containing 3
Host
Rabbit
Clonality
Polyclonal
Conjugate
Unconjugated
Purification
Antigen affinity purification.
Concentration
2.9mg / ml
Formulation
Rabbit IgG in pH7.3 PBS, 0.05% NaN3, 50% Glycerol.
Storage
Store at -20˚C
Synonyms
BERP, Brain-expressed RING finger protein, RING finger protein 22, RING finger protein 97, RNF22, RNF97, Tripartite motif-containing protein 3
Suitable Secondaries
Goat Anti-Rabbit IgG H&L Antibody (AP) (A294874)
Goat Anti-Rabbit IgG H&L Antibody (Biotin) (A294795)
Goat Anti-Rabbit IgG H&L Antibody (FITC) (A294887)
Goat Anti-Rabbit IgG H&L Antibody (HRP) (A294888)
See all Anti-Rabbit IgG Secondaries →
Disclaimer
This product is for research use only. It is not intended for diagnostic or therapeutic use.
Scientific Validation Data
Validation Data
(2)
Enlarge Image
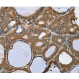
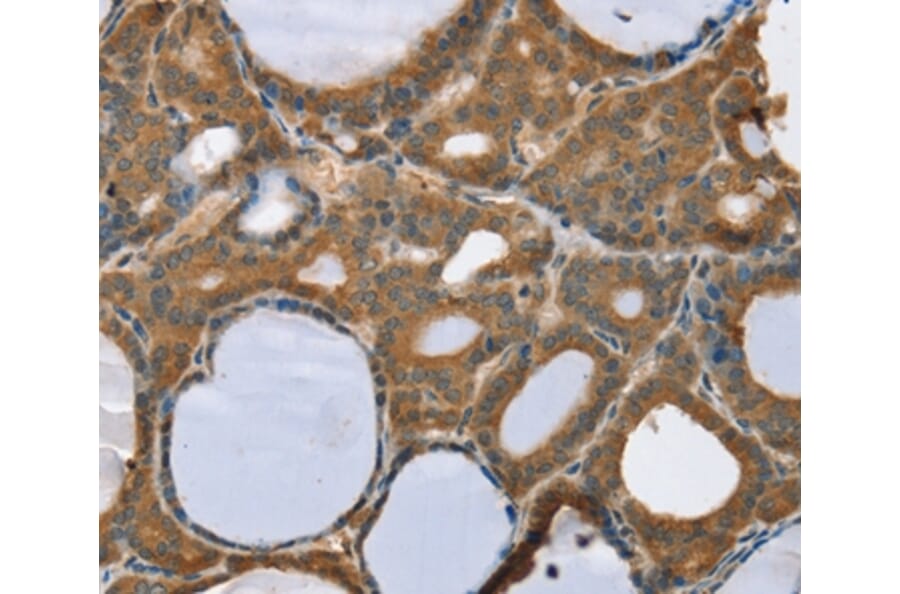
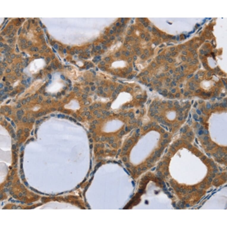
Immunohistochemistry - Anti-TRIM3 Antibody (A46279)
Immunohistochemical analysis of paraffin-embedded Human thyroid cancer tissue using #37876 at dilution 1/45.
Enlarge Image
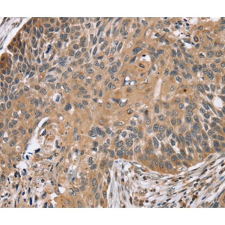
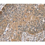
Immunohistochemistry - Anti-TRIM3 Antibody (A46279)
Immunohistochemical analysis of paraffin-embedded Human oesophagus cancer tissue using #37876 at dilution 1/45.
Publishing research using Anti-TRIM3 Antibody (A46279)? Please
let us know
so that we can list the citation on this page.
Alternative products to Anti-TRIM3 Antibody (A46279)
(4)
A95203
Anti-TRIM3 Antibody
Rabbit polyclonal antibody to TRIM3 for WB, IHC, IF and ELISA.
(2)
A83733
Anti-TRIM3 Antibody
Goat polyclonal antibody to TRIM3 for ELISA and WB.
A95764
Anti-TRIM3 Antibody
Rabbit polyclonal antibody to TRIM3 for WB, IHC and ELISA.
(4)
A95203
Anti-TRIM3 Antibody
Rabbit polyclonal antibody to TRIM3 for WB, IHC, IF and ELISA.
(2)
A83733
Anti-TRIM3 Antibody
Goat polyclonal antibody to TRIM3 for ELISA and WB.
A95764
Anti-TRIM3 Antibody
Rabbit polyclonal antibody to TRIM3 for WB, IHC and ELISA.
Proteins predicted to interact with TRIM3
Predicted protein interactions based upon String database. Revelancy score correlates with probability of interaction.
alpha Actinin 4 Antibodies
95.3% Relevancy Score
MYO5A Antibodies
85% Relevancy Score
KPNA4 Antibodies
73.3% Relevancy Score
BBOX1 Antibodies
72.1% Relevancy Score
TRIM2 Antibodies
70.9% Relevancy Score
Melanophilin Antibodies
65.4% Relevancy Score
Synaptopodin Antibodies
64.5% Relevancy Score
UBE2D1 Antibodies
62.2% Relevancy Score
TRIM Antibodies
62.1% Relevancy Score
Top