Primary Antibodies
Secondary Antibodies
Proteins & Peptides
ELISA Kits
About Us
Contact Us
Sign In/Register
0
ISO 9001:2015 Certified
Live Customer Support
4.5/5 on Trustpilot
100% Quality Guarantee
Home
Primary Antibodies
RNF21 Antibodies
Anti-TRIM34 Antibody (A42455)
Anti-TRIM34 Antibody (A42455)
Overview
Specifications
Images
Enlarge Image
Enlarge Image
$430
Product Datasheet
Rabbit polyclonal antibody to TRIM34 for WB.
100% Guarantee
Price Match Guarantee
Product Size:
100µl
Quantity:
1
2
3
4
5
6
7
8
9
10
Add To Cart
Request a Quotation
Custom or Bulk Request
Shipping Information
Freight/Packing Charges:
$40
Dispatched from St. Louis, MO.
Lead Time: 6-9 business days.
Specifications
Name
Anti-TRIM34 Antibody
Description
Rabbit polyclonal antibody to TRIM34
Specificity
The antibody detects endogenous levels of total TRIM34 protein.
Applications
WB
Reactivity
Human
Immunogen
Synthetic peptide corresponding to a region derived from internal residues of human tripartite motif containing 34
Host
Rabbit
Clonality
Polyclonal
Conjugate
Unconjugated
Purification
Antigen affinity purification.
Concentration
1.9 mg/mL
Formulation
Supplied in PBS, pH 7.3, containing 0.05% sodium azide and 50% glycerol.
Storage
Shipped at 4°C. Upon delivery aliquot and store at -20°C. Avoid freeze/thaw cycles.
Synonyms
E3 ubiquitin-protein ligase TRIM34, IFP1, Interferon-responsive finger protein 1, RING finger protein 21
Suitable Secondaries
Goat Anti-Rabbit IgG H&L Antibody (AP) (A294874)
Goat Anti-Rabbit IgG H&L Antibody (Biotin) (A294795)
Goat Anti-Rabbit IgG H&L Antibody (FITC) (A294887)
Goat Anti-Rabbit IgG H&L Antibody (HRP) (A294888)
See all Anti-Rabbit IgG Secondaries →
Disclaimer
This product is for research use only. It is not intended for diagnostic or therapeutic use.
Scientific Validation Data
Validation Data
(2)
Enlarge Image
Anti-TRIM34 Antibody (A42455)
Gel: 8% SDS-PAGE Lysate: 40ug Jurkat cell Primary antibody: 1/250 dilution Secondary antibody dilution: 1/8000 Exposure time: 40 seconds
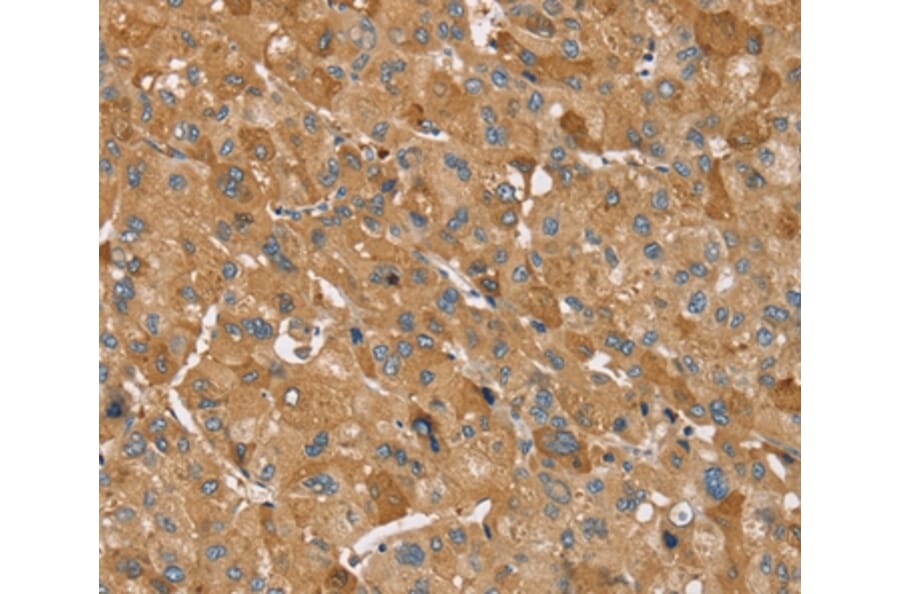
Enlarge Image
Immunohistochemistry - Anti-TRIM34 Antibody (A42455)
Immunohistochemical analysis of paraffin-embedded Human liver cancer tissue using #37875 at dilution 1/30.
Publishing research using Anti-TRIM34 Antibody (A42455)? Please
let us know
so that we can list the citation on this page.
Alternative products to Anti-TRIM34 Antibody (A42455)
A346650
Anti-RNF21 Antibody [24GB14230]
Mouse monoclonal [24GB14230] antibody to RNF21 for WB and Flow Cytometry.
A346649
Anti-RNF21 Antibody [25GB5325]
Mouse monoclonal [25GB5325] antibody to RNF21 for WB.
A346650
Anti-RNF21 Antibody [24GB14230]
Mouse monoclonal [24GB14230] antibody to RNF21 for WB and Flow Cytometry.
A346649
Anti-RNF21 Antibody [25GB5325]
Mouse monoclonal [25GB5325] antibody to RNF21 for WB.
Proteins predicted to interact with RNF21
Predicted protein interactions based upon String database. Revelancy score correlates with probability of interaction.
TRIM Antibodies
82% Relevancy Score
TNPO3 Antibodies
58.9% Relevancy Score
STAT1 Antibodies
56% Relevancy Score
BBOX1 Antibodies
54.4% Relevancy Score
Transportin 1 Antibodies
52.8% Relevancy Score
TRIM5 Antibodies
48% Relevancy Score
CPSF6 Antibodies
38.9% Relevancy Score
PML Antibodies
35.4% Relevancy Score
LC3B Antibodies
33.8% Relevancy Score
Top