ISO 9001:2015 Certified
Live Customer Support
4.5/5 on Trustpilot
100% Quality Guarantee

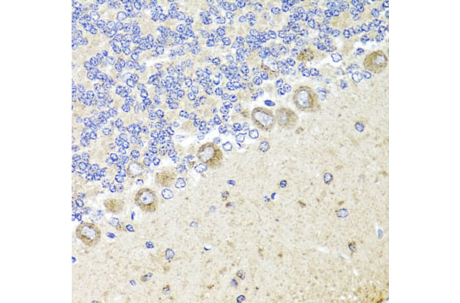
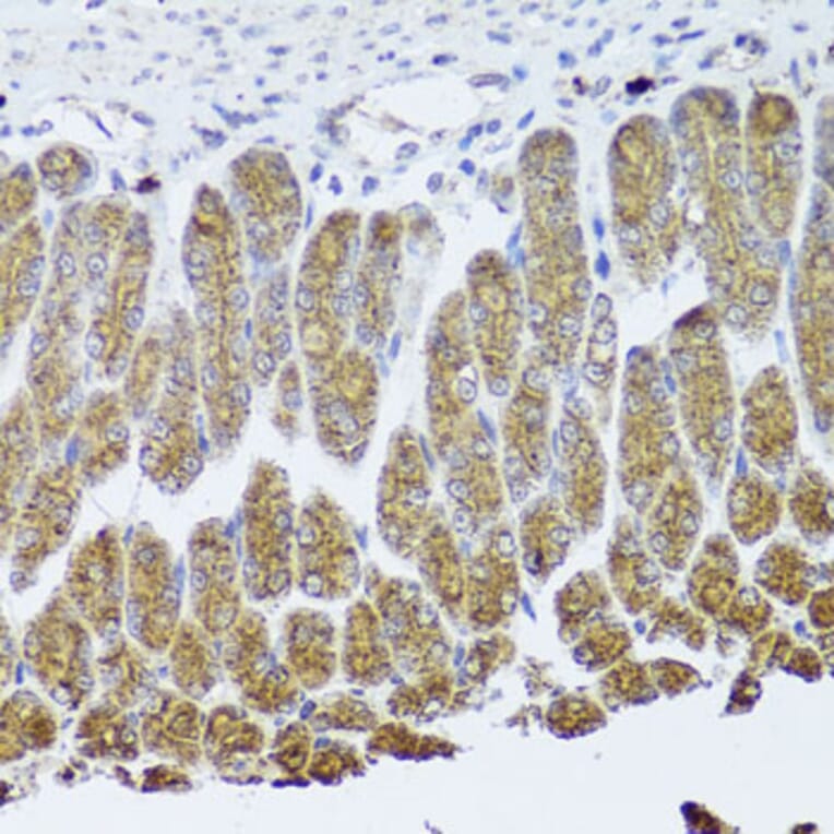
Anti-TrkA Antibody (A16686)

Rabbit polyclonal antibody to TrkA for WB, IHC-P and ELISA.

Shipping Information

$40
Dispatched from St. Louis, MO.
Lead Time: 7-10 business days.
Name
Anti-TrkA Antibody
Description
Rabbit polyclonal antibody to TrkA.
Applications
WB, IHC-P, ELISA
Positive Control
HeLa, K-562, NIH/3T3, Mouse liver, Mouse heart, Rat liver.
Dilutions
WB: 1:500-1:1,000, IHC-P: 1:50-1:200, ELISA: 1 µg/ml (starting concentration)
Reactivity
Human, Mouse, Rat
Immunogen
A recombinant fusion protein corresponding to amino acids 1-280 of human TrkA.
Sequence
MLRGGRRGQLGWHSWAAGPGSLLAWLILASAGAAPCPDACCPHGSSGLRCTRDGALDSLHHLPGAENLTELYIENQQHLQHLELRDLRGLGELRNLTIVKSGLRFVAPDAFHFTPRLSRLNLSFNALESLSWKTVQGLSLQELVLSGNPLHCSCALRWLQRWEEEGLGGVPEQKLQCHGQGPLAHMPNASCGVPTLKVQVPNASVDVGDDVLLRCQVEGRGLEQAGWILTELEQSATVMKSGGLPSLGLTLANVTSDLNRKNVTCWAENDVGRAEVSVQV
Host
Rabbit
Clonality
Polyclonal
Isotype
IgG
Conjugate

Unconjugated

Purification
Affinity purification.
Concentration
Lot Specific
Molecular Weight
120 kDa
Predicted MW
87 kDa
Product Form
Liquid
Formulation
Supplied in Phosphate Buffered Saline, pH 7.3, with 50% Glycerol and 0.02% Sodium Azide.
Storage
Shipped at 4°C. Upon delivery aliquot and store at -20°C. Avoid freeze/thaw cycles.
Synonyms
High affinity nerve growth factor receptor, MTC, Neurotrophic tyrosine kinase receptor type 1, NTRK1, TRK, Trk-A, TRK1-transforming tyrosine kinase protein, Tropomyosin-related kinase A, Tyrosine kinase receptor, Tyrosine kinase receptor A
Disclaimer
This product is for research use only. It is not intended for diagnostic or therapeutic use.
Publishing research using Anti-TrkA Antibody (A16686)? Please let us know so that we can list the citation on this page.

Alternative products to Anti-TrkA Antibody (A16686)

Proteins predicted to interact with TrkA

Predicted protein interactions based upon String database. Revelancy score correlates with probability of interaction.
99.9% Relevancy Score
99.9% Relevancy Score
99.9% Relevancy Score
99.9% Relevancy Score
99.9% Relevancy Score
99.9% Relevancy Score
99.8% Relevancy Score
99.7% Relevancy Score
99.7% Relevancy Score