Anti-TROP2 Antibody [TACSTD2/2152] - BSA and Azide free
Description
Mouse monoclonal [TACSTD2/2152] antibody to TROP2.
Specificity
TACSTD2 is a cell surface glycoprotein receptor. It is a single pass type I membrane protein containing one thyroglobulin type-1 domain, an epidermal growth factor-like repeat, a phosphatidylinositol binding site and tyrosine phosphorylation sites near the C-terminus. It plays a role in transducing intracellular calcium signals. It is expressed in trophoblast cells, cornea and multi-stratified epithelia. It is also highly expressed in several types of tumors and is involved in regulating the growth of carcinoma cells.
Applications
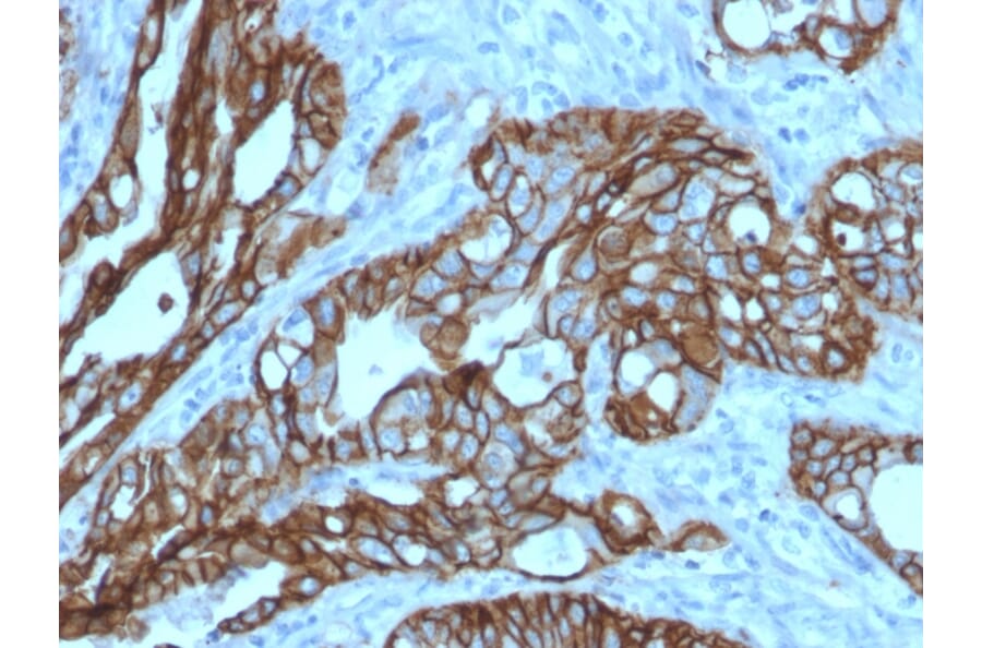
IF, IHC-P
Dilutions
IF: 1-2 µg/ml, IHC-P: 1-2 µg/ml
Reactivity
Human
Immunogen
Recombinant fragment, around amino acids 31-274, of human TACSTD2 protein. The exact sequence is proprietary.
Host
Mouse
Clonality
Monoclonal
Clone ID
TACSTD2/2152
Isotype
IgG1
Light Chains
kappa
Conjugate
Unconjugated
Purification
Protein A/G chromatography.
Concentration
1 mg/ml
Molecular Weight
40 kDa
Product Form
Liquid
Formulation
Supplied in 10mM Phosphate Buffered Saline; without Sodium Azide and carrier free.
Storage
Shipped at 4°C. Upon delivery aliquot and store at -20°C. Avoid freeze / thaw cycles.
SDS-PAGE analysis of Anti-TROP2 Antibody [TACSTD2/2152] under non-reduced and reduced conditions; showing intact IgG and intact heavy and light chains, respectively. SDS-PAGE analysis confirms the integrity and purity of the antibody.
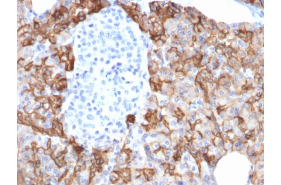
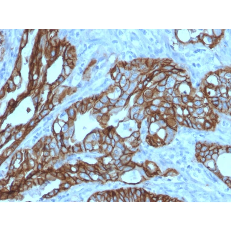
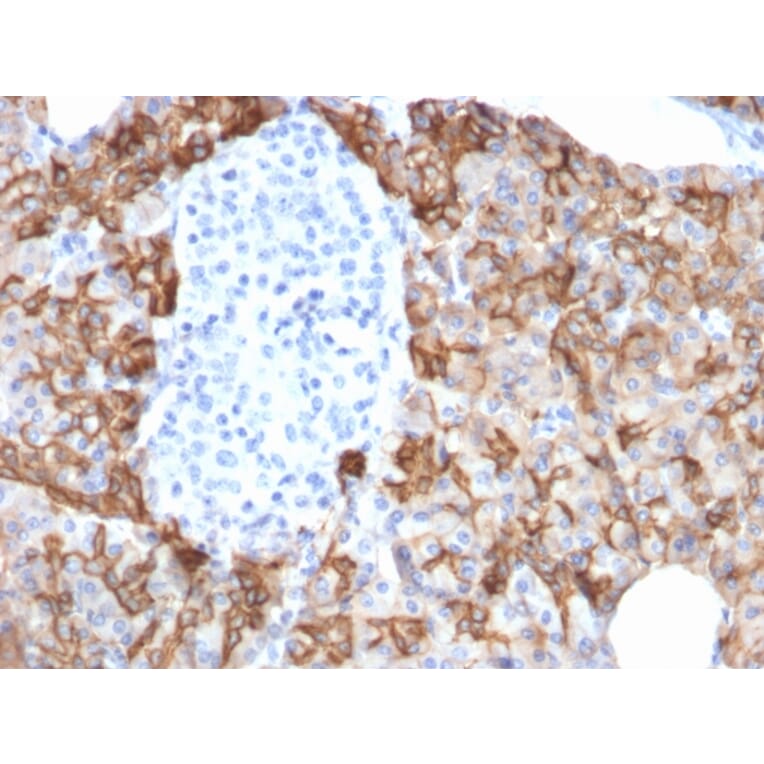
Anti-TROP2 Antibody [TACSTD2/2152] - BSA and Azide free (A252420)
Analysis of protein array containing more than 19,000 full-length human proteins using Anti-TROP2 Antibody [TACSTD2/2152]. Z-Score and S- Score: The Z-score represents the strength of a signal that a monoclonal antibody (MAb) (in combination with a fluorescently-tagged anti-IgG secondary antibody) produces when binding to a particular protein on the HuProtTM array. Z-scores are described in units of standard deviations (SD's) above the mean value of all signals generated on that array. If targets on HuProtTM are arranged in descending order of the Z-score, the S-score is the difference (also in units of SD's) between the Z-score. S-score therefore represents the relative target specificity of a MAb to its intended target; a MAb is considered to be specific to its intended target, if the MAb has an S-score of at least 2.5. For example, if a MAb binds to protein X with a Z-score of 43 and to protein Y with a Z-score of 14, then the S-score for the binding of that MAb to protein X is equal to 29.
Publishing research using Anti-TROP2 Antibody [TACSTD2/2152] - BSA and Azide free (A252420)? Please let us know so that we can list the citation on this page.
Alternative products to Anti-TROP2 Antibody [TACSTD2/2152] - BSA and Azide free (A252420)
Recombinant humanized monoclonal antibody to TROP2 for use as a research grade Sacituzumab biosimila for ELISA, Flow Cytometry, Functional Studies and in vivo Research.
Recombinant humanized monoclonal antibody to TROP2 for use as a research grade Datopotamab biosimila for ELISA, Flow Cytometry, Functional Studies and in vivo Research.
Recombinant humanized monoclonal antibody to TROP2 for use as a research grade Sacituzumab biosimila for ELISA, Flow Cytometry, Functional Studies and in vivo Research.
Recombinant humanized monoclonal antibody to TROP2 for use as a research grade Datopotamab biosimila for ELISA, Flow Cytometry, Functional Studies and in vivo Research.