Primary Antibodies
Secondary Antibodies
Proteins & Peptides
ELISA Kits
About Us
Contact Us
Sign In/Register
0
ISO 9001:2015 Certified
Live Customer Support
4.5/5 on Trustpilot
100% Quality Guarantee
Home
Primary Antibodies
TRPC6 Antibodies
Anti-TRPC6 Antibody (A47894)
Anti-TRPC6 Antibody (A47894)
Overview
Specifications
Images
Enlarge Image
Enlarge Image
$780
Product Datasheet
Rabbit polyclonal antibody to TRPC6 for ELISA, WB and IHC.
100% Guarantee
Price Match Guarantee
Product Size:
100µl
Quantity:
1
2
3
4
5
6
7
8
9
10
Add To Cart
Request a Quotation
Custom or Bulk Request
Shipping Information
Freight/Packing Charges:
$40
Dispatched from St. Louis, MO.
Lead Time: 6-9 business days.
Specifications
Name
Anti-TRPC6 Antibody
Description
Rabbit polyclonal antibody to TRPC6
Applications
ELISA
,
WB
,
IHC
Reactivity
Human, Mouse
Immunogen
Raised against a 14 amino acid peptide from near the amino terminus of human TRPC6.
Host
Rabbit
Clonality
Polyclonal
Conjugate
Unconjugated
Purification
Affinity chromatography purified via peptide column
Formulation
Supplied in phosphate-buffered saline with 0.02% Sodium Azide.
Storage
Shipped at 4°C. Upon delivery aliquot and store at -20°C. Avoid freeze/thaw cycles.
Synonyms
Short transient receptor potential channel 6, Transient receptor protein 6, TRP-6, TRP6
Suitable Secondaries
Goat Anti-Rabbit IgG H&L Antibody (AP) (A294874)
Goat Anti-Rabbit IgG H&L Antibody (Biotin) (A294795)
Goat Anti-Rabbit IgG H&L Antibody (FITC) (A294887)
Goat Anti-Rabbit IgG H&L Antibody (HRP) (A294888)
See all Anti-Rabbit IgG Secondaries →
Disclaimer
This product is for research use only. It is not intended for diagnostic or therapeutic use.
Scientific Validation Data
Validation Data
(2)
Enlarge Image
Anti-TRPC6 Antibody (A47894)
Western blot analysis of TRPC6 in K562 cell lysate with TRPC6 antibody at (A) 0.5 and (B) 1 µg/mL.
Enlarge Image
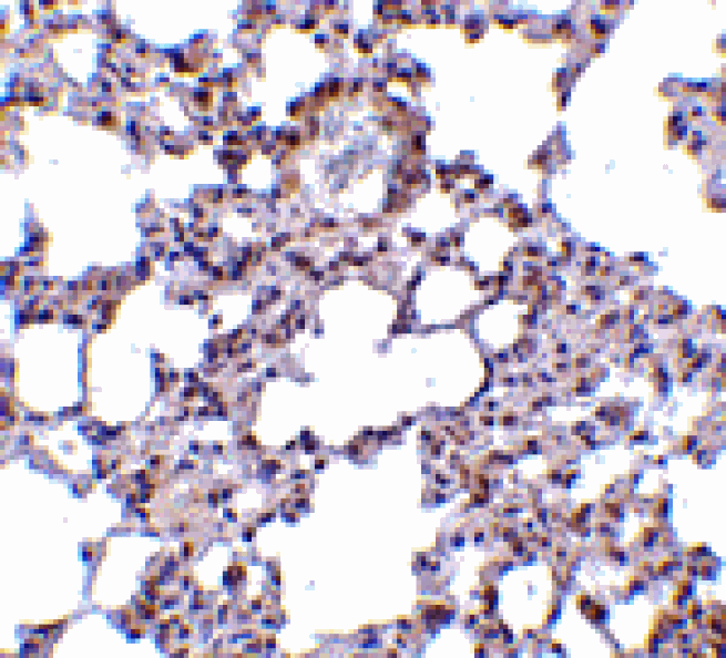
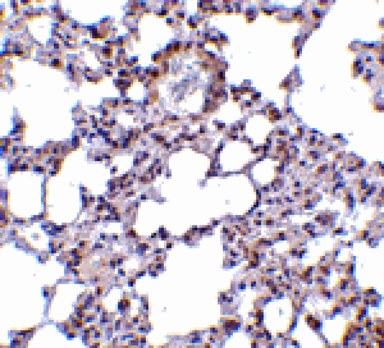
Immunohistochemistry - Anti-TRPC6 Antibody (A47894)
Immunohistochemistry of TRPC6 in mouse lung tissue with TRPC6 antibody at 10 µg/mL.
Publishing research using Anti-TRPC6 Antibody (A47894)? Please
let us know
so that we can list the citation on this page.
Alternative products to Anti-TRPC6 Antibody (A47894)
(4)
A16093
Anti-TRPC6 Antibody
Rabbit polyclonal antibody to TRPC6 for WB and IHC.
(2)
A47893
Anti-TRPC6 Antibody
Rabbit polyclonal antibody to TRPC6 for ELISA, WB and IHC.
A42597
Anti-TRPC6 Antibody
Rabbit polyclonal antibody to TRPC6 for WB and IHC.
(2)
A84123
Anti-TRPC6 Antibody
Goat polyclonal antibody to TRPC6 for ELISA, WB and Flow Cytometry.
A85037
Anti-TRPC6 Antibody
Goat polyclonal antibody to TRPC6 for ELISA and IHC.
A317145
Anti-TRPC6 Antibody [TRPC6/7672] - BSA and Azide free
Mouse monoclonal [TRPC6/7672] antibody to TRPC6 for IHC-P.
A317144
Anti-TRPC6 Antibody [TRPC6/7671] - BSA and Azide free
Mouse monoclonal [TRPC6/7671] antibody to TRPC6 for IHC-P.
A315761
Anti-TRPC6 Antibody [TRPC6/7672]
Mouse monoclonal [TRPC6/7672] antibody to TRPC6 for IHC-P.
A315760
Anti-TRPC6 Antibody [TRPC6/7671]
Mouse monoclonal [TRPC6/7671] antibody to TRPC6 for IHC-P.
(4)
A16093
Anti-TRPC6 Antibody
Rabbit polyclonal antibody to TRPC6 for WB and IHC.
(2)
A47893
Anti-TRPC6 Antibody
Rabbit polyclonal antibody to TRPC6 for ELISA, WB and IHC.
A42597
Anti-TRPC6 Antibody
Rabbit polyclonal antibody to TRPC6 for WB and IHC.
(2)
A84123
Anti-TRPC6 Antibody
Goat polyclonal antibody to TRPC6 for ELISA, WB and Flow Cytometry.
A85037
Anti-TRPC6 Antibody
Goat polyclonal antibody to TRPC6 for ELISA and IHC.
A317145
Anti-TRPC6 Antibody [TRPC6/7672] - BSA and Azide free
Mouse monoclonal [TRPC6/7672] antibody to TRPC6 for IHC-P.
A317144
Anti-TRPC6 Antibody [TRPC6/7671] - BSA and Azide free
Mouse monoclonal [TRPC6/7671] antibody to TRPC6 for IHC-P.
A315761
Anti-TRPC6 Antibody [TRPC6/7672]
Mouse monoclonal [TRPC6/7672] antibody to TRPC6 for IHC-P.
A315760
Anti-TRPC6 Antibody [TRPC6/7671]
Mouse monoclonal [TRPC6/7671] antibody to TRPC6 for IHC-P.
See all TRPC6 Antibodies
Proteins predicted to interact with TRPC6
Predicted protein interactions based upon String database. Revelancy score correlates with probability of interaction.
NPHS2 Antibodies
99.8% Relevancy Score
Nephrin Antibodies
99% Relevancy Score
ORAI2 Antibodies
98.3% Relevancy Score
STIM1 Antibodies
97.1% Relevancy Score
TRPC3 Antibodies
95.2% Relevancy Score
cGKI Antibodies
94.2% Relevancy Score
TRPV4 Antibodies
94% Relevancy Score
TRPC1 Antibodies
93.9% Relevancy Score
BMPR2 Antibodies
92.9% Relevancy Score
Top