Primary Antibodies
Secondary Antibodies
Proteins & Peptides
ELISA Kits
About Us
Contact Us
Sign In/Register
0
ISO 9001:2015 Certified
Live Customer Support
4.5/5 on Trustpilot
100% Quality Guarantee
Home
Primary Antibodies
TRPM5 Antibodies
Anti-TRPM5 Antibody (A38021)
Anti-TRPM5 Antibody (A38021)
Overview
Specifications
Images
Enlarge Image
Enlarge Image
$430
Product Datasheet
Rabbit polyclonal antibody to TRPM5 for WB and IHC.
100% Guarantee
Price Match Guarantee
Product Size:
100µl
Quantity:
1
2
3
4
5
6
7
8
9
10
Add To Cart
Request a Quotation
Custom or Bulk Request
Shipping Information
Freight/Packing Charges:
$40
Dispatched from St. Louis, MO.
Lead Time: 6-9 business days.
Specifications
Name
Anti-TRPM5 Antibody
Description
Rabbit polyclonal antibody to TRPM5
Specificity
The antibody detects endogenous levels of total TRPM5 protein.
Applications
WB
,
IHC
Reactivity
Human, Mouse
Immunogen
Synthetic peptide corresponding to a region derived from internal residues of human transient receptor potential cation channel, subfamily M, member 5
Host
Rabbit
Clonality
Polyclonal
Conjugate
Unconjugated
Purification
Antigen affinity purification.
Concentration
2.4 mg/mL
Formulation
Supplied in PBS, pH 7.3, containing 0.05% sodium azide and 50% glycerol.
Storage
Shipped at 4°C. Upon delivery aliquot and store at -20°C. Avoid freeze/thaw cycles.
Synonyms
Long transient receptor potential channel 5, LTrpC-5, LTRPC5, MLSN1- and TRP-related gene 1 protein, MTR1, Transient receptor potential cation channel subfamily M member 5
Suitable Secondaries
Goat Anti-Rabbit IgG H&L Antibody (AP) (A294874)
Goat Anti-Rabbit IgG H&L Antibody (Biotin) (A294795)
Goat Anti-Rabbit IgG H&L Antibody (FITC) (A294887)
Goat Anti-Rabbit IgG H&L Antibody (HRP) (A294888)
See all Anti-Rabbit IgG Secondaries →
Disclaimer
This product is for research use only. It is not intended for diagnostic or therapeutic use.
Scientific Validation Data
Validation Data
(2)
Enlarge Image
Anti-TRPM5 Antibody (A38021)
Gel: 10% SDS-PAGE Lysates (from left to right): Mouse heart tissue Amount of lysate: 40ug per lane Primary antibody: 1/1200 dilution Secondary antibody dilution: 1/8000 Exposure time: 20 seconds
Enlarge Image
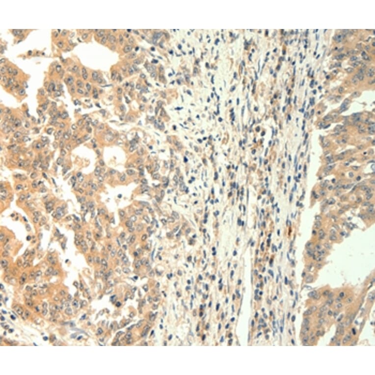
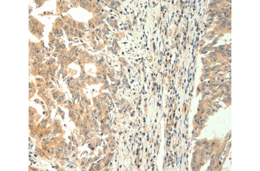
Immunohistochemistry - Anti-TRPM5 Antibody (A38021)
Immunohistochemical analysis of paraffin-embedded Human gastric cancer tissue using #37284 at dilution 1/60.
Publishing research using Anti-TRPM5 Antibody (A38021)? Please
let us know
so that we can list the citation on this page.
Proteins predicted to interact with TRPM5
Predicted protein interactions based upon String database. Revelancy score correlates with probability of interaction.
Phospholipase C beta 2 Antibodies
97.9% Relevancy Score
PDK2L1 Antibodies
94.7% Relevancy Score
GNAT3 Antibodies
94.6% Relevancy Score
NUDT9 Antibodies
88.2% Relevancy Score
GPCR TAS1R3 Antibodies
85.9% Relevancy Score
GPCR TAS1R2 Antibodies
82.7% Relevancy Score
TRPC1 Antibodies
81.9% Relevancy Score
CALHM1 Antibodies
79.9% Relevancy Score
GPCR TAS1R1 Antibodies
79.5% Relevancy Score
Top