Primary Antibodies
Secondary Antibodies
Proteins & Peptides
ELISA Kits
About Us
Contact Us
Sign In/Register
0
ISO 9001:2015 Certified
Live Customer Support
4.5/5 on Trustpilot
100% Quality Guarantee
Home
Primary Antibodies
Anti-Trypsin-1 Antibody (A40264)
Anti-Trypsin-1 Antibody (A40264)
Overview
Specifications
Images
Enlarge Image
$290
Product Datasheet
Rabbit polyclonal antibody to Trypsin-1 for ELISA and WB.
100% Guarantee
Price Match Guarantee
Product Size:
50µl
100µl
Quantity:
1
2
3
4
5
6
7
8
9
10
Add To Cart
Request a Quotation
Custom or Bulk Request
Shipping Information
Freight/Packing Charges:
$40
Dispatched from St. Louis, MO.
Lead Time: 6-9 business days.
Specifications
Name
Anti-Trypsin-1 Antibody
Description
Rabbit polyclonal antibody to Trypsin-1
Specificity
Trypsin-1 Polyclonal Antibody detects endogenous levels of Trypsin-1 protein.
Applications
ELISA
,
WB
Reactivity
Human
Immunogen
Synthesized peptide derived from the Internal region of human Trypsin-1.
Host
Rabbit
Clonality
Polyclonal
Conjugate
Unconjugated
Purification
The antibody was affinity-purified from rabbit antiserum by affinity-chromatography using epitope-specific immunogen.
Concentration
1 mg/mL
Formulation
Liquid in PBS containing 50% glycerol, 0.5% BSA and 0.02% sodium azide.
Storage
Shipped at 4°C. Upon delivery aliquot and store at -20°C. Avoid freeze/thaw cycles.
Suitable Secondaries
Goat Anti-Rabbit IgG H&L Antibody (AP) (A294874)
Goat Anti-Rabbit IgG H&L Antibody (Biotin) (A294795)
Goat Anti-Rabbit IgG H&L Antibody (FITC) (A294887)
Goat Anti-Rabbit IgG H&L Antibody (HRP) (A294888)
See all Anti-Rabbit IgG Secondaries →
Disclaimer
This product is for research use only. It is not intended for diagnostic or therapeutic use.
Scientific Validation Data
Validation Data
(1)
Enlarge Image
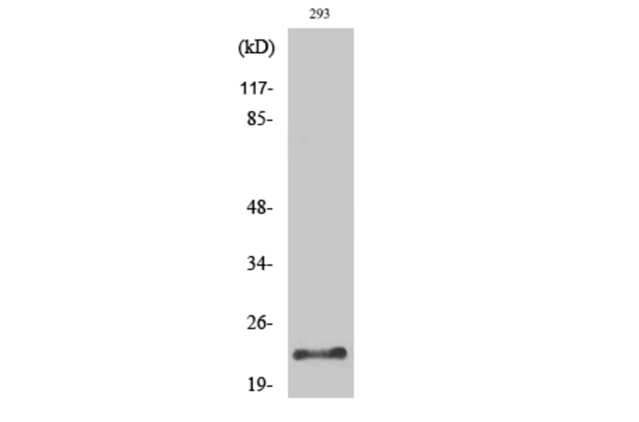
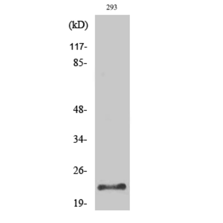
Anti-Trypsin-1 Antibody (A40264)
Western Blot analysis of 293 cells using Trypsin-1 Polyclonal Antibody
Publishing research using Anti-Trypsin-1 Antibody (A40264)? Please
let us know
so that we can list the citation on this page.
Top