ISO 9001:2015 Certified
Live Customer Support
4.5/5 on Trustpilot
100% Quality Guarantee

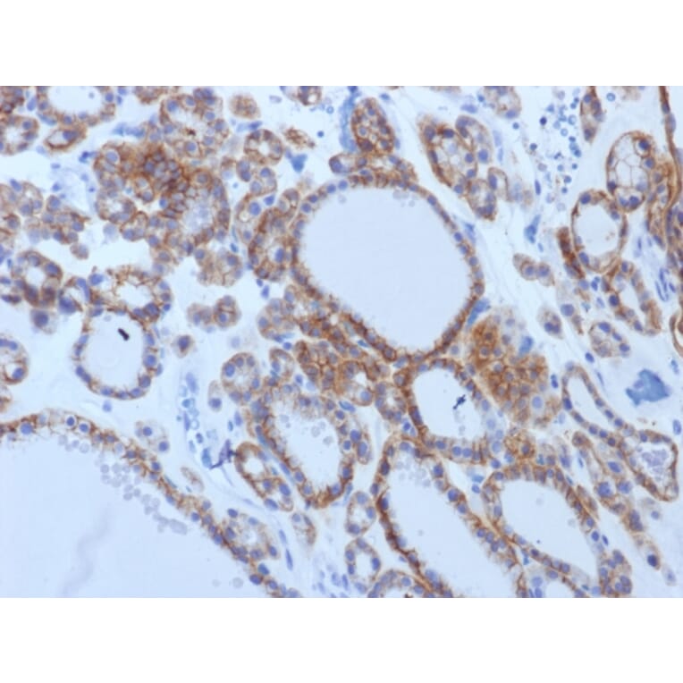
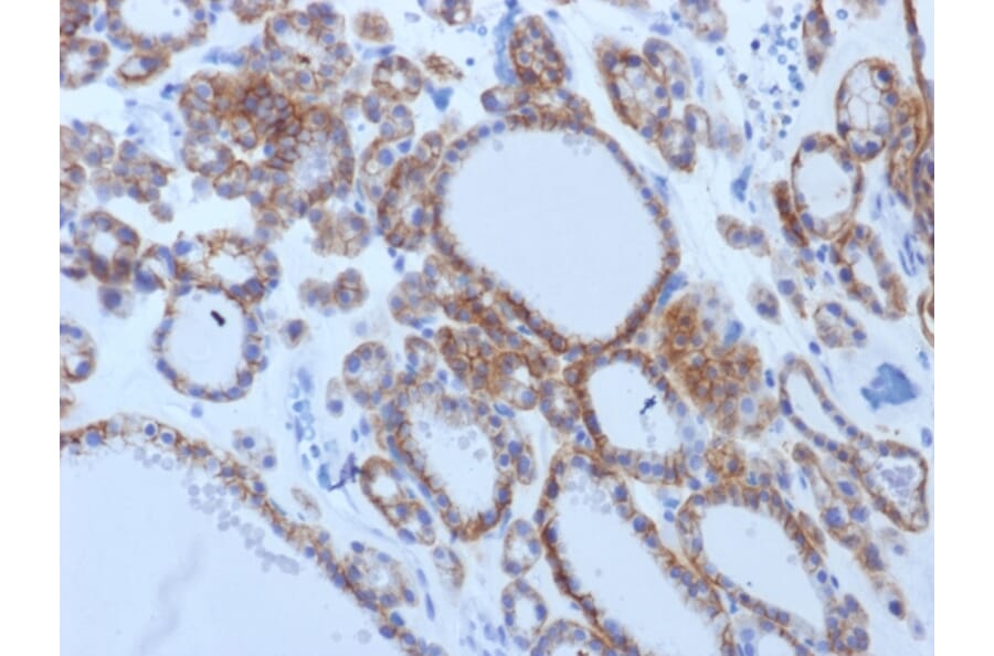
Anti-TSH Receptor Antibody [TSHRB/1405] - BSA and Azide free (A253401)

Mouse monoclonal [TSHRB/1405] antibody to TSH Receptor for IHC-P.

Alternative Formats and ConjugatesAlternative Formats

Shipping Information

$40
Dispatched from St. Louis, MO.
Lead Time: 5-8 business days.
Name
Anti-TSH Receptor Antibody [TSHRB/1405] - BSA and Azide free
Description
Mouse monoclonal [TSHRB/1405] antibody to TSH Receptor.
Specificity
Thyroid-stimulating hormone (TSH, also known as thyrotropin) is a glycoprotein involved in the control of thyroid structure and metabolism, which stimulates the release of the thyroid hormones. TSH is regulated by thyroid hormone (T3) and various retinoid compounds. TSH binds to the thyroid-stimulating hormone receptor (TSHR), which is cleaved into two subunits, A and B, and plays a major role in regulating thyroid function. The third cytoplasmic loop of TSHR has been identified as critical for its role in regulating inositol phosphate and cAMP formation. In Graves disease, an autoimmune disorder, TSHR is activated by autoantibodies, which may be stimulated by the cleavage of the A and B subunits.
Applications
IHC-P
Dilutions
IHC-P: 1-2 µg/ml
Reactivity
Human
Immunogen
Recombinant human TSHR, B-Chain protein.
Host
Mouse
Clonality
Monoclonal
Clone ID
TSHRB/1405
Isotype
IgG2a
Light Chains
kappa
Conjugate

Unconjugated

Purification
Protein A/G chromatography.
Concentration
1 mg/ml
Molecular Weight
42 kDa
Product Form
Liquid
Formulation
Supplied in 10mM Phosphate Buffered Saline; without Sodium Azide and carrier free.
Storage
Shipped at 4°C. Upon delivery aliquot and store at -20°C. Avoid freeze / thaw cycles.
General Notes
This monoclonal antibody is also available in a different formulation with BSA and Sodium Azide - Anti-TSH Receptor Antibody [TSHRB/1405] (A250221).
Synonyms
CHNG1, hTSHR I, hTSHRI, LGR 3, LGR3, MGC75129, Seven transmembrane helix receptor, Thyroid adenoma hyperfunctioning, Thyroid carcinoma with thyrotoxicosis, Thyroid stimulating hormone receptor, Thyroid stimulating hormone receptor, isoform 2, Thyroid-stimulating hormone receptor, Thyrotropin receptor, Thyrotropin receptor I, Thyrotropin receptor I, hTSHR I, TSH R, TSH-R, TSHR, TSHR_HUMAN
Disclaimer
This product is for research use only. It is not intended for diagnostic or therapeutic use.
Publishing research using Anti-TSH Receptor Antibody [TSHRB/1405] - BSA and Azide free (A253401)? Please let us know so that we can list the citation on this page.

Alternative products to Anti-TSH Receptor Antibody [TSHRB/1405] - BSA and Azide free (A253401)