ISO 9001:2015 Certified
Live Customer Support
4.5/5 on Trustpilot
100% Quality Guarantee

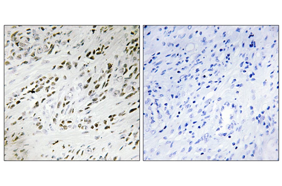
Anti-TSH2 Antibody (A97878)

Rabbit polyclonal antibody to TSH2 for IHC, IF and ELISA.

Shipping Information

$40
Dispatched from St. Louis, MO.
Lead Time: 6-8 business days.
Name
Anti-TSH2 Antibody
Description
Rabbit polyclonal antibody to TSH2.
Applications
IHC, IF, ELISA
Dilutions
IHC: 1:50~1:100, IF: 1:100~1:500, ELISA: 1:20000
Reactivity
Human, Mouse
Cross Reactivity
No reported cross-reactivity.
Immunogen
Synthetic peptide derived from human TSH2 (amino acids 811-860).
Host
Rabbit
Clonality
Polyclonal
Isotype
IgG
Conjugate

Unconjugated

Purification
Purified from rabbit serum by antigen affinity chromatography using the immunizing peptide.
Molecular Weight
115kDa
Product Form
Liquid
Formulation
Supplied in Phosphate Buffered Saline (without Mg2+ and Ca2+), pH 7.4, with 150mM NaCl, 0.02% Sodium Azide, and 50% Glycerol.
Storage
Shipped at 4°C. Upon delivery aliquot and store at -20°C. Avoid freeze / thaw cycles.
Synonyms
C20orf17, Ovarian cancer-related protein 10-2, OVC10-2, TSH2, Zinc finger protein 218, ZNF218
Disclaimer
This product is for research use only. It is not intended for diagnostic or therapeutic use.
Publishing research using Anti-TSH2 Antibody (A97878)? Please let us know so that we can list the citation on this page.

Alternative products to Anti-TSH2 Antibody (A97878)

Proteins predicted to interact with Teashirt Homolog 2

Predicted protein interactions based upon String database. Revelancy score correlates with probability of interaction.
49.3% Relevancy Score
48.8% Relevancy Score
45.5% Relevancy Score
45.3% Relevancy Score
44.2% Relevancy Score
39.9% Relevancy Score
38.8% Relevancy Score
38.5% Relevancy Score
37.8% Relevancy Score