Primary Antibodies
Secondary Antibodies
Proteins & Peptides
ELISA Kits
About Us
Contact Us
Sign In/Register
0
ISO 9001:2015 Certified
Live Customer Support
4.5/5 on Trustpilot
100% Quality Guarantee
Home
Primary Antibodies
TSLP Antibodies
Anti-TSLP Antibody (A48358)
Anti-TSLP Antibody (A48358)
Overview
Specifications
Images
Enlarge Image
Enlarge Image
$780
Product Datasheet
Rabbit polyclonal antibody to TSLP for ELISA, WB and IHC.
100% Guarantee
Price Match Guarantee
Product Size:
100µl
Quantity:
1
2
3
4
5
6
7
8
9
10
Add To Cart
Request a Quotation
Custom or Bulk Request
Shipping Information
Freight/Packing Charges:
$40
Dispatched from St. Louis, MO.
Lead Time: 6-9 business days.
Specifications
Name
Anti-TSLP Antibody
Description
Rabbit polyclonal antibody to TSLP
Applications
ELISA
,
WB
,
IHC
Reactivity
Mouse, Rat
Immunogen
Raised against a 20 amino acid peptide from near the center of mouse TSLP.
Host
Rabbit
Clonality
Polyclonal
Conjugate
Unconjugated
Purification
Affinity chromatography purified via peptide column
Formulation
Supplied in phosphate-buffered saline with 0.02% Sodium Azide.
Storage
Shipped at 4°C. Upon delivery aliquot and store at -20°C. Avoid freeze/thaw cycles.
Synonyms
Thymic stromal lymphopoietin
Suitable Secondaries
Goat Anti-Rabbit IgG H&L Antibody (AP) (A294874)
Goat Anti-Rabbit IgG H&L Antibody (Biotin) (A294795)
Goat Anti-Rabbit IgG H&L Antibody (FITC) (A294887)
Goat Anti-Rabbit IgG H&L Antibody (HRP) (A294888)
See all Anti-Rabbit IgG Secondaries →
Disclaimer
This product is for research use only. It is not intended for diagnostic or therapeutic use.
Scientific Validation Data
Validation Data
(2)
Enlarge Image
Anti-TSLP Antibody (A48358)
Western blot analysis of TSLP in A-20 cell lysate with TSLP antibody at (A) 0.5, (B) 1 and (C) 2 µg/mL.
Enlarge Image
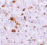
Immunohistochemistry - Anti-TSLP Antibody (A48358)
Immunohistochemistry of TSLP in mouse brain tissue with TSLP antibody at 2.5 µg/mL.
Publishing research using Anti-TSLP Antibody (A48358)? Please
let us know
so that we can list the citation on this page.
Alternative products to Anti-TSLP Antibody (A48358)
(5)
A323777
Tezepelumab Biosimilar - Anti-TSLP Antibody - Low endotoxin, Azide free
Recombinant human monoclonal antibody to TSLP for ELISA, FACS, Functional Assay and In Vivo.
(4)
A88607
Anti-TSLP Antibody
Rabbit polyclonal antibody to TSLP for WB and ICC/IF.
(4)
A340709
Ocankitug Biosimilar - Anti-TSLP Antibody - BSA and Azide free
Humanized monoclonal antibody to TSLP Research grade Ocankitug biosimilar for ELISA, Flow Cytometry, Functional Studies and in vivo Research.
(3)
A338476
Tezepelumab Biosimilar - Anti-TSLP Antibody - BSA and Azide free
Human monoclonal antibody to TSLP Research grade Tezepelumab biosimilar for ELISA, Flow Cytometry, Functional Studies and in vivo Research.
(3)
A340708
Bosakitug Biosimilar - Anti-TSLP Antibody - BSA and Azide free
Humanized monoclonal antibody to TSLP Research grade Bosakitug biosimilar for ELISA, Flow Cytometry, Functional Studies and in vivo Research.
(3)
A339198
Anti-TSLP Antibody [HU23B12] Biosimilar - BSA and Azide free
Human monoclonal antibody to TSLP Research grade HU23B12 biosimilar for ELISA, Flow Cytometry, Functional Studies and in vivo Research.
(2)
A48357
Anti-TSLP Antibody
Rabbit polyclonal antibody to TSLP for ELISA, WB, ICC/IF and IHC-P.
(2)
A324283
Anti-TSLP Antibody [Research Grade Antibody] - Low endotoxin, Azide free
Recombinant human monoclonal antibody to TSLP for ELISA, FACS, Functional Assay and In Vivo.
(2)
A340618
Solrikitug Biosimilar - Anti-TSLP Antibody - BSA and Azide free
Humanized monoclonal antibody to TSLP Research grade Solrikitug biosimilar for ELISA, Flow Cytometry, Functional Studies and in vivo Research.
(2)
A339885
Anti-TSLP Antibody [MOR14824] Biosimilar - BSA and Azide free
Human monoclonal antibody to TSLP Research grade MOR014824 biosimilar for ELISA, Flow Cytometry, Functional Studies and in vivo Research.
A340360
Anti-TSLP Antibody [RO5469754] Biosimilar - BSA and Azide free
Human monoclonal antibody to TSLP Research grade RO5469754 biosimilar for ELISA, Flow Cytometry, Functional Studies and in vivo Research.
A340661
Anti-TSLP Antibody [GB-895] Biosimilar - BSA and Azide free
Human monoclonal antibody to TSLP Research grade GB-0895 biosimilar for ELISA, Flow Cytometry, Functional Studies and in vivo Research.
(5)
A323777
Tezepelumab Biosimilar - Anti-TSLP Antibody - Low endotoxin, Azide free
Recombinant human monoclonal antibody to TSLP for ELISA, FACS, Functional Assay and In Vivo.
(4)
A88607
Anti-TSLP Antibody
Rabbit polyclonal antibody to TSLP for WB and ICC/IF.
(4)
A340709
Ocankitug Biosimilar - Anti-TSLP Antibody - BSA and Azide free
Humanized monoclonal antibody to TSLP Research grade Ocankitug biosimilar for ELISA, Flow Cytometry, Functional Studies and in vivo Research.
(3)
A338476
Tezepelumab Biosimilar - Anti-TSLP Antibody - BSA and Azide free
Human monoclonal antibody to TSLP Research grade Tezepelumab biosimilar for ELISA, Flow Cytometry, Functional Studies and in vivo Research.
(3)
A340708
Bosakitug Biosimilar - Anti-TSLP Antibody - BSA and Azide free
Humanized monoclonal antibody to TSLP Research grade Bosakitug biosimilar for ELISA, Flow Cytometry, Functional Studies and in vivo Research.
(3)
A339198
Anti-TSLP Antibody [HU23B12] Biosimilar - BSA and Azide free
Human monoclonal antibody to TSLP Research grade HU23B12 biosimilar for ELISA, Flow Cytometry, Functional Studies and in vivo Research.
(2)
A48357
Anti-TSLP Antibody
Rabbit polyclonal antibody to TSLP for ELISA, WB, ICC/IF and IHC-P.
(2)
A324283
Anti-TSLP Antibody [Research Grade Antibody] - Low endotoxin, Azide free
Recombinant human monoclonal antibody to TSLP for ELISA, FACS, Functional Assay and In Vivo.
(2)
A340618
Solrikitug Biosimilar - Anti-TSLP Antibody - BSA and Azide free
Humanized monoclonal antibody to TSLP Research grade Solrikitug biosimilar for ELISA, Flow Cytometry, Functional Studies and in vivo Research.
(2)
A339885
Anti-TSLP Antibody [MOR14824] Biosimilar - BSA and Azide free
Human monoclonal antibody to TSLP Research grade MOR014824 biosimilar for ELISA, Flow Cytometry, Functional Studies and in vivo Research.
A340360
Anti-TSLP Antibody [RO5469754] Biosimilar - BSA and Azide free
Human monoclonal antibody to TSLP Research grade RO5469754 biosimilar for ELISA, Flow Cytometry, Functional Studies and in vivo Research.
A340661
Anti-TSLP Antibody [GB-895] Biosimilar - BSA and Azide free
Human monoclonal antibody to TSLP Research grade GB-0895 biosimilar for ELISA, Flow Cytometry, Functional Studies and in vivo Research.
See all TSLP Antibodies
Proteins predicted to interact with TSLP
Predicted protein interactions based upon String database. Revelancy score correlates with probability of interaction.
CRLF2 Antibodies
99.9% Relevancy Score
CD127 Antibodies
99.9% Relevancy Score
IL-33 Antibodies
93% Relevancy Score
IL-13 Antibodies
88.7% Relevancy Score
IL-2RG Antibodies
88.5% Relevancy Score
IL-4R Antibodies
87.7% Relevancy Score
IL-4 Antibodies
87.2% Relevancy Score
IL13 Receptor alpha 1 Antibodies
86.9% Relevancy Score
IL-7 Antibodies
86.9% Relevancy Score
Top