Primary Antibodies
Secondary Antibodies
Proteins & Peptides
ELISA Kits
About Us
Contact Us
Sign In/Register
0
ISO 9001:2015 Certified
Live Customer Support
4.5/5 on Trustpilot
100% Quality Guarantee
Home
Primary Antibodies
TSPAN13 Antibodies
Anti-TSPAN13 Antibody (A36918)
Anti-TSPAN13 Antibody (A36918)
Overview
Specifications
Images
Enlarge Image
Enlarge Image
Enlarge Image
$430
Product Datasheet
Rabbit polyclonal antibody to TSPAN13 for WB and IHC.
100% Guarantee
Price Match Guarantee
Product Size:
100µl
Quantity:
1
2
3
4
5
6
7
8
9
10
Add To Cart
Request a Quotation
Custom or Bulk Request
Shipping Information
Freight/Packing Charges:
$40
Dispatched from St. Louis, MO.
Lead Time: 6-9 business days.
Specifications
Name
Anti-TSPAN13 Antibody
Description
Rabbit polyclonal antibody to TSPAN13
Specificity
The antibody detects endogenous levels of total TSPAN13 protein.
Applications
WB
,
IHC
Reactivity
Human, Mouse, Rat
Immunogen
Synthetic peptide corresponding to a region derived from internal residues of human tetraspanin 13
Host
Rabbit
Clonality
Polyclonal
Conjugate
Unconjugated
Purification
Antigen affinity purification.
Concentration
2.1 mg/mL
Formulation
Rabbit IgG in pH7.4 PBS, 0.05% NaN3, 40% Glycerol.
Storage
Shipped at 4°C. Upon delivery aliquot and store at -20°C. Avoid freeze/thaw cycles.
Synonyms
NET6, Tetraspan NET-6, Tetraspanin-13, TM4SF13, Transmembrane 4 superfamily member 13, Tspan-13
Suitable Secondaries
Goat Anti-Rabbit IgG H&L Antibody (AP) (A294874)
Goat Anti-Rabbit IgG H&L Antibody (Biotin) (A294795)
Goat Anti-Rabbit IgG H&L Antibody (FITC) (A294887)
Goat Anti-Rabbit IgG H&L Antibody (HRP) (A294888)
See all Anti-Rabbit IgG Secondaries →
Disclaimer
This product is for research use only. It is not intended for diagnostic or therapeutic use.
Scientific Validation Data
Validation Data
(3)
Enlarge Image
Anti-TSPAN13 Antibody (A36918)
Gel: 12% SDS-PAGE Lysate: 40ug Human fetal brain tissue. Primary antibody: 1/550 dilution Secondary antibody dilution: 1/8000Exposure time: 2 minutes
Enlarge Image
Immunohistochemistry - Anti-TSPAN13 Antibody (A36918)
Immunohistochemical analysis of paraffin-embedded Human thyroid cancer tissue using #40384 at dilution 1/35.
Enlarge Image
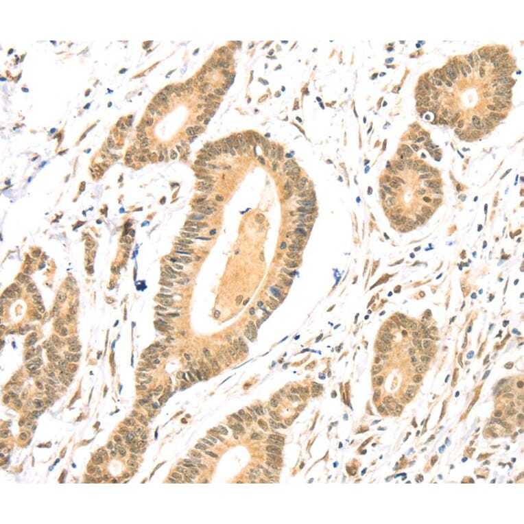
Immunohistochemistry - Anti-TSPAN13 Antibody (A36918)
Immunohistochemical analysis of paraffin-embedded Human colorectal cancer tissue using #40384 at dilution 1/35.
Publishing research using Anti-TSPAN13 Antibody (A36918)? Please
let us know
so that we can list the citation on this page.
Proteins predicted to interact with TSPAN13
Predicted protein interactions based upon String database. Revelancy score correlates with probability of interaction.
ANKMY2 Antibodies
64.7% Relevancy Score
BZW2 Antibodies
61.5% Relevancy Score
Integrin beta 1 Antibodies
56.6% Relevancy Score
TSPAN5 Antibodies
53.4% Relevancy Score
TSPAN15 Antibodies
51.3% Relevancy Score
SNX13 Antibodies
48.1% Relevancy Score
AGR2 Antibodies
42.5% Relevancy Score
CD37 Antibodies
40.7% Relevancy Score
CCNB1IP1 Antibodies
40.6% Relevancy Score
Top