Primary Antibodies
Secondary Antibodies
Proteins & Peptides
ELISA Kits
About Us
Contact Us
Sign In/Register
0
ISO 9001:2015 Certified
Live Customer Support
4.5/5 on Trustpilot
100% Quality Guarantee
Home
Primary Antibodies
TTBK2 Antibodies
Anti-TTBK2 Antibody (A46475)
Anti-TTBK2 Antibody (A46475)
Overview
Specifications
Images
Enlarge Image
Enlarge Image
$430
Product Datasheet
Rabbit polyclonal antibody to TTBK2 for IHC.
100% Guarantee
Price Match Guarantee
Product Size:
100µl
Quantity:
1
2
3
4
5
6
7
8
9
10
Add To Cart
Request a Quotation
Custom or Bulk Request
Shipping Information
Freight/Packing Charges:
$40
Dispatched from St. Louis, MO.
Lead Time: 6-9 business days.
Specifications
Name
Anti-TTBK2 Antibody
Description
Rabbit polyclonal antibody to TTBK2
Specificity
The antibody detects endogenous levels of total TTBK2 protein.
Applications
IHC
Reactivity
Human
Immunogen
Synthetic peptide of human TTBK2
Host
Rabbit
Clonality
Polyclonal
Conjugate
Unconjugated
Purification
Antigen affinity purification.
Concentration
3 mg/mL
Formulation
Rabbit IgG in pH7.4 PBS, 0.05% NaN3, 40% Glycerol.
Storage
Shipped at 4°C. Upon delivery aliquot and store at -20°C. Avoid freeze/thaw cycles.
Synonyms
KIAA0847, Tau-tubulin kinase 2
Suitable Secondaries
Goat Anti-Rabbit IgG H&L Antibody (AP) (A294874)
Goat Anti-Rabbit IgG H&L Antibody (Biotin) (A294795)
Goat Anti-Rabbit IgG H&L Antibody (FITC) (A294887)
Goat Anti-Rabbit IgG H&L Antibody (HRP) (A294888)
See all Anti-Rabbit IgG Secondaries →
Disclaimer
This product is for research use only. It is not intended for diagnostic or therapeutic use.
Scientific Validation Data
Validation Data
(2)
Enlarge Image
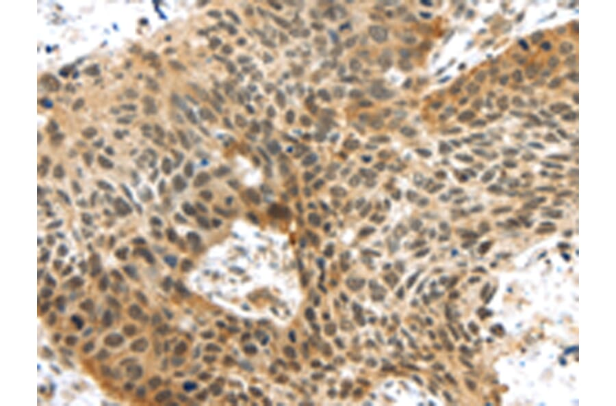
Immunohistochemistry - Anti-TTBK2 Antibody (A46475)
Immunohistochemical analysis of paraffin-embedded Human breast cancer tissue using #43172 at dilution 1/45.
Enlarge Image
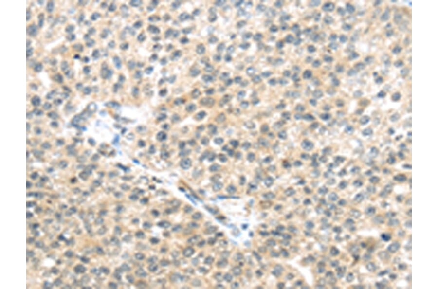
Immunohistochemistry - Anti-TTBK2 Antibody (A46475)
Immunohistochemical analysis of paraffin-embedded Human oesophagus cancer tissue using #43172 at dilution 1/45.
Publishing research using Anti-TTBK2 Antibody (A46475)? Please
let us know
so that we can list the citation on this page.
Alternative products to Anti-TTBK2 Antibody (A46475)
(2)
A16905
Anti-TTBK2 Antibody
Rabbit polyclonal antibody to TTBK2 for WB and IHC.
A49920
Anti-TTBK2 Antibody
Rabbit polyclonal antibody to TTBK2 for ELISA and IHC.
(2)
A16905
Anti-TTBK2 Antibody
Rabbit polyclonal antibody to TTBK2 for WB and IHC.
A49920
Anti-TTBK2 Antibody
Rabbit polyclonal antibody to TTBK2 for ELISA and IHC.
Proteins predicted to interact with TTBK2
Predicted protein interactions based upon String database. Revelancy score correlates with probability of interaction.
CEP164 Antibodies
99.3% Relevancy Score
ATXN10 Antibodies
84.1% Relevancy Score
ZWINT Antibodies
78% Relevancy Score
CACNA1A Antibodies
77.4% Relevancy Score
CP110 Antibodies
75.5% Relevancy Score
CCDC41 Antibodies
73.6% Relevancy Score
CEP97 Antibodies
72.9% Relevancy Score
RAB3IP Antibodies
71.2% Relevancy Score
PPP2R2B Antibodies
69.2% Relevancy Score
Top