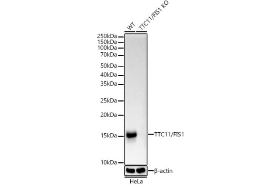
Western Blot - Anti-TTC11/FIS1 Antibody [ARC5010-01] (A307193)
Western blot analysis of extracts from normal (control) and TTC11/FIS1 knockout (KO) HeLa(KO) cells, using Anti-TTC11/FIS1 Antibody [ARC5010-01] (A307193) at 1:1,000 dilution. The secondary antibody was Goat Anti-Rabbit IgG H&L Antibody (HRP) at 1:10,000 dilution. Lysates/proteins were present at 25µg per lane. The blocking buffer used was 3% non-fat dry milk in TBST. Detection was with a ECL Basic Kit. Exposure time: 10s.
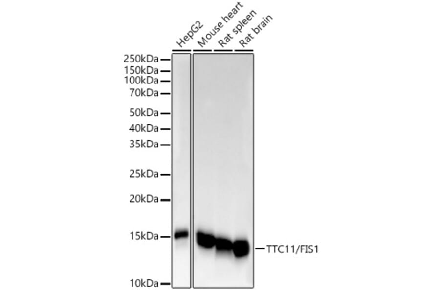
Western Blot - Anti-TTC11/FIS1 Antibody [ARC5010-01] (A307193)
Western blot analysis of various lysates, using Anti-TTC11/FIS1 Antibody [ARC5010-01] (A307193) at 1:1,000 dilution. The secondary antibody was Goat Anti-Rabbit IgG H&L Antibody (HRP) at 1:10,000 dilution. Lysates/proteins were present at 25µg per lane. The blocking buffer used was 3% non-fat dry milk in TBST. Detection was with a ECL Basic Kit. Exposure time: 10s.
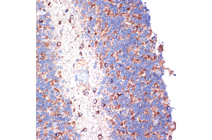
Immunohistochemistry analysis of paraffin-embedded rat brain using Anti-TTC11/FIS1 Antibody [ARC5010-01] (A307193) at a dilution of 1:100 (40x lens). Perform microwave antigen retrieval with 10 mM Tris/EDTA buffer pH 9.0 before commencing with IHC staining protocol.
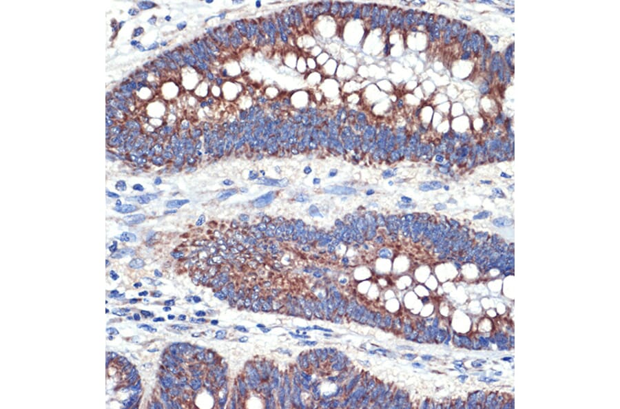
Immunohistochemistry analysis of paraffin-embedded human colon carcinoma tissue using Anti-TTC11/FIS1 Antibody [ARC5010-01] (A307193) at a dilution of 1:100 (40x lens). Perform microwave antigen retrieval with 10 mM Tris/EDTA buffer pH 9.0 before commencing with IHC staining protocol.
Confocal imaging of U-2 OS cells using Anti-TTC11/FIS1 Antibody [ARC5010-01] (A307193), at a dilution of 1:100, (red). The cells were counterstained with Anti-alpha Tubulin Antibody, at a dilution of 1:400, (green). DAPI was used for nuclear staining (Blue). Objective: 60x.
Western Blot - Anti-TTC11/FIS1 Antibody [ARC5010-01] (A307193)
Immunoprecipitation analysis of 300µg extracts of HeLa cells using 3µg of Anti-TTC11/FIS1 Antibody [ARC5010-01] (A307193). This Western blot was performed on the immunoprecipitate using Anti-TTC11/FIS1 Antibody [ARC5010-01] (A307193) at a dilution of 1:2000.