ISO 9001:2015 Certified
Live Customer Support
4.5/5 on Trustpilot
100% Quality Guarantee

Anti-TTF1 Antibody [8G7G3/1 + NX2.1/690] - BSA and Azide free (A253322)

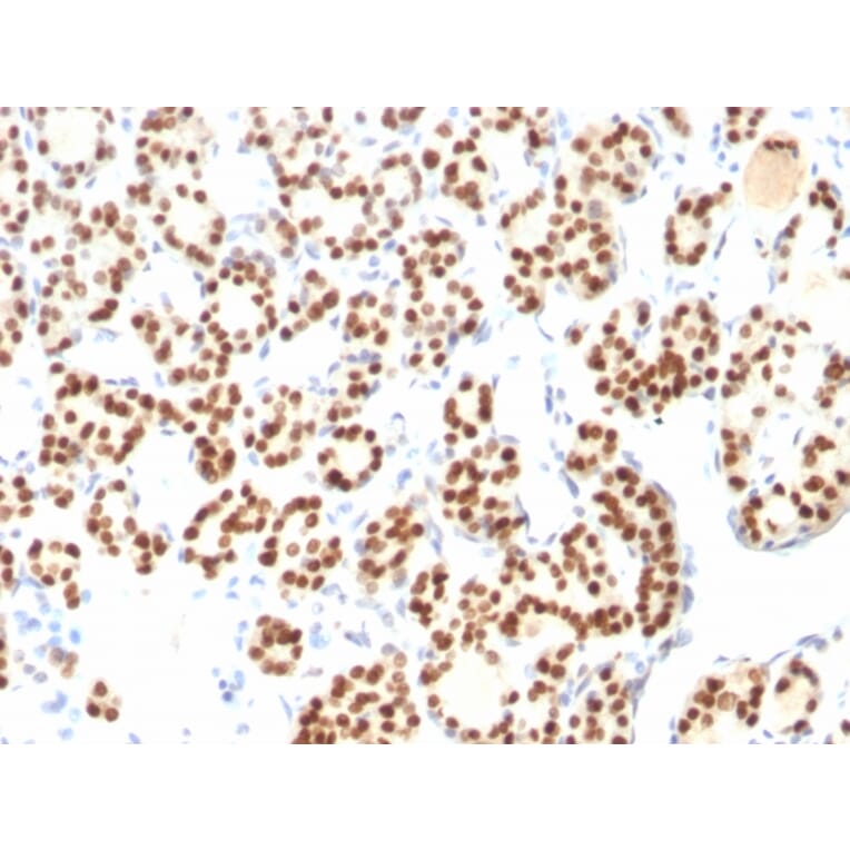
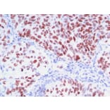
Mouse monoclonal [8G7G3/1 + NX2.1/690] antibody to TTF1 for Flow Cytometry, IF and IHC-P.

Alternative Formats and ConjugatesAlternative Formats

Shipping Information

$40
Dispatched from St. Louis, MO.
Lead Time: 5-8 business days.
Name
Anti-TTF1 Antibody [8G7G3/1 + NX2.1/690] - BSA and Azide free
Description
Mouse monoclonal [8G7G3/1 + NX2.1/690] antibody to TTF1.
Specificity
This antibody recognizes a protein of 40kDa, identified as Thyroid transcription factor-1 (TTF-1). TTF-1 is a member of the NKx2 family of homeodomain transcription factors. It is expressed in epithelial cells of the thyroid gland and the lung. Nuclei from liver, stomach, pancreas, small intestine, colon, kidney, breast, skin, testes, pituitary, prostate, and adrenal glands are unreactive. Anti-TTF-1 is useful in differentiating primary adenocarcinoma of the lung from metastatic carcinomas originating in the breast, mediastinal germ cell tumors, and malignant mesothelioma. It can also be used to differentiate small cell lung carcinoma from lymphoid infiltrates.Loss of TTF-1 expression in non-small cell lung carcinoma has been associated with aggressive behavior of such neoplasms. TTF-1 reactivity is also seen in thyroid malignancies.
Applications
Flow Cytometry, IF, IHC-P
Dilutions
Flow Cytometry: 1-2 µg/million cells, IF: 1-2 µg/ml, IHC-P: 1-2 µg/ml
Reactivity
Human, Mouse, Rat
Immunogen
Clone 8G7G3/1: Recombinant full-length rat TTF-1 protein. Clone NX2.1/690: Recombinant TTF-1 protein.
Host
Mouse
Clonality
Oligoclonal
Clone ID
8G7G3/1 + NX2.1/690
Isotype
IgG1, kappa + IgG1, kappa
Conjugate

Unconjugated

Purification
Protein A/G chromatography.
Concentration
1 mg/ml
Molecular Weight
40 kDa
Product Form
Liquid
Formulation
Supplied in 10mM Phosphate Buffered Saline; without Sodium Azide and carrier free.
Storage
Shipped at 4°C. Upon delivery aliquot and store at -20°C. Avoid freeze / thaw cycles.
General Notes

Please note, this product is an oligoclonal antibody; it is a cocktail of monoclonal antibodies that have been carefully selected. Oligoclonal antibodies not only have the specificity and batch-to-batch consistency of a monoclonal antibody, but they also have the advantage of the sensitivity of a polyclonal antibody due to their ability to recognize multiple epitopes on an antigen.

This oligoclonal antibody is also available in a different formulation with BSA and Sodium Azide - Anti-TTF1 Antibody [8G7G3/1 + NX2.1/690] (A250142).

Synonyms
Homeobox protein NK-2 homolog A, Homeobox protein Nkx-2.1, NKX2-1, NKX2A, T/EBP, Thyroid nuclear factor 1, Thyroid transcription factor 1, Thyroid-specific enhancer-binding protein, TITF1, TTF-1
Disclaimer
This product is for research use only. It is not intended for diagnostic or therapeutic use.
Publishing research using Anti-TTF1 Antibody [8G7G3/1 + NX2.1/690] - BSA and Azide free (A253322)? Please let us know so that we can list the citation on this page.

Alternative products to Anti-TTF1 Antibody [8G7G3/1 + NX2.1/690] - BSA and Azide free (A253322)

Proteins predicted to interact with TTF1

Predicted protein interactions based upon String database. Revelancy score correlates with probability of interaction.
98% Relevancy Score
95.4% Relevancy Score
95.1% Relevancy Score
92.3% Relevancy Score
91.6% Relevancy Score
88.8% Relevancy Score
87.9% Relevancy Score
87.3% Relevancy Score