ISO 9001:2015 Certified
Live Customer Support
4.5/5 on Trustpilot
100% Quality Guarantee

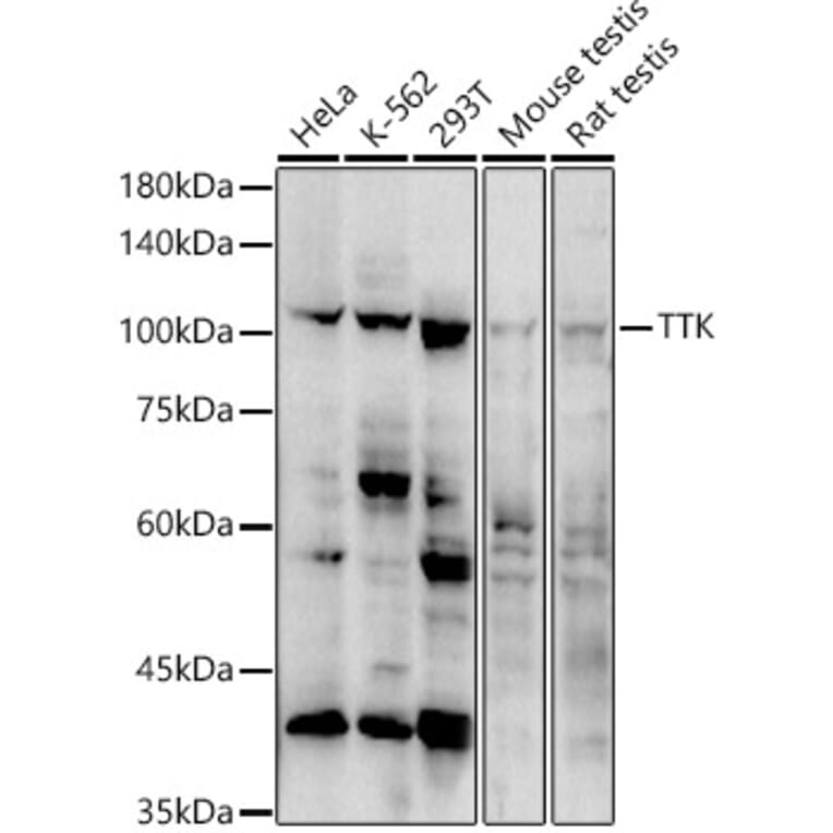
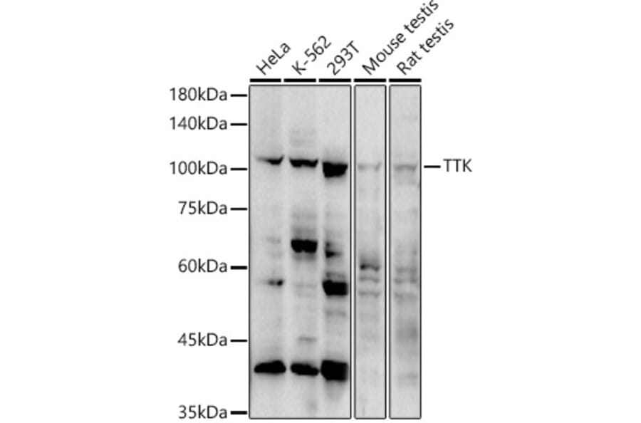
Anti-TTK/Mps1 Antibody (A308801)

Rabbit polyclonal antibody to TTK/Mps1 for WB.

Shipping Information

$40
Dispatched from St. Louis, MO.
Lead Time: 7-10 business days.
Name
Anti-TTK/Mps1 Antibody
Description
Rabbit polyclonal antibody to TTK/Mps1.
Applications
WB
Dilutions
WB: 1:500-1:1,000
Reactivity
Human, Mouse, Rat
Immunogen
Recombinant fusion protein containing a sequence corresponding to amino acids 536-789 of human TTK (NP_003309.2).
Sequence
SSKVFQVLNEKKQIYAIKYVNLEEADNQTLDSYRNEIAYLNKLQQHSDKIIRLYDYEITDQYIYMVMECGNIDLNSWLKKKKSIDPWERKSYWKNMLEAVHTIHQHGIVHSDLKPANFLIVDGMLKLIDFGIANQMQPDTTSVVKDSQVGTVNYMPPEAIKDMSSSRENGKSKSKISPKSDVWSLGCILYYMTYGKTPFQQIINQISKLHAIIDPNHEIEFPDIPEKDLQDVLKCCLKRDPKQRISIPELLAHP
Host
Rabbit
Clonality
Polyclonal
Isotype
IgG
Conjugate

Unconjugated

Purification
Affinity purification.
Concentration
Lot Specific
Molecular Weight
100 kDa
Product Form
Liquid
Formulation
Supplied in Phosphate Buffered Saline, pH 7.3, with 50% Glycerol and 0.05% Proclin 300.
Storage
Shipped at 4°C. Upon delivery aliquot and store at -20°C. Avoid freeze/thaw cycles.
Disclaimer
This product is for research use only. It is not intended for diagnostic or therapeutic use.
Publishing research using Anti-TTK/Mps1 Antibody (A308801)? Please let us know so that we can list the citation on this page.