ISO 9001:2015 Certified
Live Customer Support
4.5/5 on Trustpilot
100% Quality Guarantee

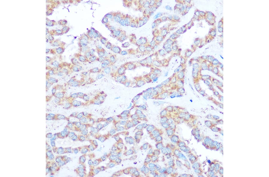
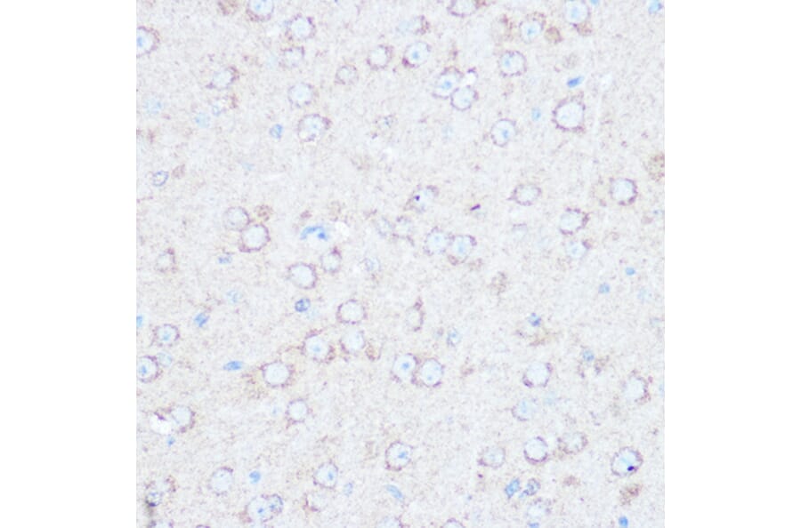
Anti-Tuberin Antibody (A8413)

This product is discontinued

Anti-Tuberin Antibody (A8413) has been discontinued and is no longer available.

View all Tuberin Antibodies.

Name
Anti-Tuberin Antibody
Description
Rabbit polyclonal antibody to Tuberin.
Applications
WB, IHC, ICC/IF
Dilutions
WB: 1:500-1:1,000, IHC: 1:50-1:200, ICC/IF: 1:50-1:100
Reactivity
Human, Mouse, Rat
Immunogen
Recombinant fusion protein containing a sequence corresponding to amino acids 1160-1255 of human TSC2 (NP_000539.2).
Sequence
TAPAAKPEKASAGTRVPVQEKTNLAAYVPLLTQGWAEILVRRPTGNTSWLMSLENPLSPFSSDINNMPLQELSNALMAAERFKEHRDTALYKSLSV
Host
Rabbit
Clonality
Polyclonal
Isotype
IgG
Conjugate

Unconjugated

Purification
Affinity purification.
Molecular Weight
200 kDa
Product Form
Liquid
Formulation
Supplied in Phosphate Buffered Saline, pH 7.3, with 50% Glyercol and 0.05% Proclin 300.
Storage
Shipped at 4°C. Upon delivery aliquot and store at -20°C. Avoid freeze / thaw cycles.
Synonyms
TSC2, TSC4, Tuberous sclerosis 2 protein
Disclaimer
This product is for research use only. It is not intended for diagnostic or therapeutic use.

Alternative products to Anti-Tuberin Antibody (A8413)

Proteins predicted to interact with Tuberin

Predicted protein interactions based upon String database. Revelancy score correlates with probability of interaction.
99.9% Relevancy Score
99.9% Relevancy Score
99.1% Relevancy Score
99% Relevancy Score
99% Relevancy Score
99% Relevancy Score
98.8% Relevancy Score
98.4% Relevancy Score
98.1% Relevancy Score