Primary Antibodies
Secondary Antibodies
Proteins & Peptides
ELISA Kits
About Us
Contact Us
Sign In/Register
0
ISO 9001:2015 Certified
Live Customer Support
4.5/5 on Trustpilot
100% Quality Guarantee
Home
Primary Antibodies
TUSC1 Antibodies
Anti-TUSC1 Antibody (A46355)
Anti-TUSC1 Antibody (A46355)
Overview
Specifications
Images
Enlarge Image
Enlarge Image
$430
Product Datasheet
Rabbit polyclonal antibody to TUSC1 for IHC.
100% Guarantee
Price Match Guarantee
Product Size:
100µl
Quantity:
1
2
3
4
5
6
7
8
9
10
Add To Cart
Request a Quotation
Custom or Bulk Request
Shipping Information
Freight/Packing Charges:
$40
Dispatched from St. Louis, MO.
Lead Time: 6-9 business days.
Specifications
Name
Anti-TUSC1 Antibody
Description
Rabbit polyclonal antibody to TUSC1
Specificity
The antibody detects endogenous levels of total TUSC1 protein.
Applications
IHC
Reactivity
Human
Immunogen
Synthetic peptide corresponding to residues near the C terminal of human tumor suppressor candidate 1
Host
Rabbit
Clonality
Polyclonal
Conjugate
Unconjugated
Purification
Antigen affinity purification.
Concentration
2 mg/mL
Formulation
Rabbit IgG in pH7.4 PBS, 0.05% NaN3, 40% Glycerol.
Storage
Shipped at 4°C. Upon delivery aliquot and store at -20°C. Avoid freeze/thaw cycles.
Synonyms
TSG-9, TSG9, Tumor suppressor candidate gene 1 protein
Suitable Secondaries
Goat Anti-Rabbit IgG H&L Antibody (AP) (A294874)
Goat Anti-Rabbit IgG H&L Antibody (Biotin) (A294795)
Goat Anti-Rabbit IgG H&L Antibody (FITC) (A294887)
Goat Anti-Rabbit IgG H&L Antibody (HRP) (A294888)
See all Anti-Rabbit IgG Secondaries →
Disclaimer
This product is for research use only. It is not intended for diagnostic or therapeutic use.
Scientific Validation Data
Validation Data
(2)
Enlarge Image
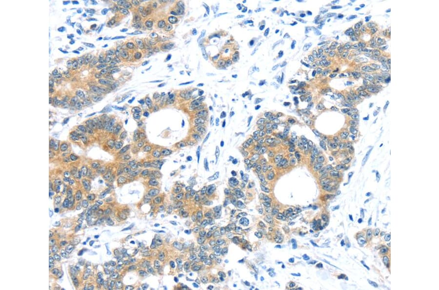
Immunohistochemistry - Anti-TUSC1 Antibody (A46355)
Immunohistochemical analysis of paraffin-embedded Human liver cancer tissue using #40272 at dilution 1/30.
Enlarge Image
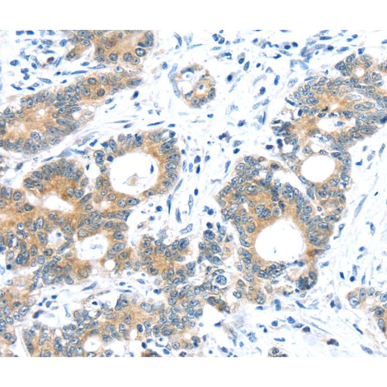
Immunohistochemistry - Anti-TUSC1 Antibody (A46355)
Immunohistochemical analysis of paraffin-embedded Human colorectal cancer tissue using #40272 at dilution 1/30.
Publishing research using Anti-TUSC1 Antibody (A46355)? Please
let us know
so that we can list the citation on this page.
Proteins predicted to interact with TUSC1
Predicted protein interactions based upon String database. Revelancy score correlates with probability of interaction.
GGPS1 Antibodies
54.3% Relevancy Score
LRRC19 Antibodies
38.3% Relevancy Score
RSU1 Antibodies
36.6% Relevancy Score
FNDC4 Antibodies
32.6% Relevancy Score
Claudin 23 Antibodies
32% Relevancy Score
ERp29 Antibodies
31.6% Relevancy Score
p15 INK4b Antibodies
31.5% Relevancy Score
IFNW1 Antibodies
31.1% Relevancy Score
MOBKL2B Antibodies
31% Relevancy Score
Top