Primary Antibodies
Secondary Antibodies
Proteins & Peptides
ELISA Kits
About Us
Contact Us
Sign In/Register
0
ISO 9001:2015 Certified
Live Customer Support
4.5/5 on Trustpilot
100% Quality Guarantee
Home
Primary Antibodies
TWEAK Antibodies
Anti-TWEAK Antibody (A47881)
Anti-TWEAK Antibody (A47881)
Overview
Specifications
Images
Enlarge Image
Enlarge Image
$780
Product Datasheet
Rabbit polyclonal antibody to TWEAK for ELISA, WB and IHC.
100% Guarantee
Price Match Guarantee
Product Size:
100µl
Quantity:
1
2
3
4
5
6
7
8
9
10
Add To Cart
Request a Quotation
Custom or Bulk Request
Shipping Information
Freight/Packing Charges:
$40
Dispatched from St. Louis, MO.
Lead Time: 6-9 business days.
Specifications
Name
Anti-TWEAK Antibody
Description
Rabbit polyclonal antibody to TWEAK
Applications
ELISA
,
WB
,
IHC
Reactivity
Human, Mouse, Rat
Immunogen
Raised against recombinant human TWEAK.
Host
Rabbit
Clonality
Polyclonal
Conjugate
Unconjugated
Purification
Purified IgG
Formulation
Supplied in phosphate-buffered saline with 0.02% Sodium Azide.
Storage
Shipped at 4°C. Upon delivery aliquot and store at -20°C. Avoid freeze/thaw cycles.
Synonyms
APO3 ligand, APO3L, DR3LG, TNF-related weak inducer of apoptosis, TNFSF12, Tumor necrosis factor ligand superfamily member 12
Suitable Secondaries
Goat Anti-Rabbit IgG H&L Antibody (AP) (A294874)
Goat Anti-Rabbit IgG H&L Antibody (Biotin) (A294795)
Goat Anti-Rabbit IgG H&L Antibody (FITC) (A294887)
Goat Anti-Rabbit IgG H&L Antibody (HRP) (A294888)
See all Anti-Rabbit IgG Secondaries →
Disclaimer
This product is for research use only. It is not intended for diagnostic or therapeutic use.
Scientific Validation Data
Validation Data
(2)
Enlarge Image
Anti-TWEAK Antibody (A47881)
Western blot analysis of (A) 5 ng, (B) 25 ng and (C) 50 ng of recombinant TWEAK with TWEAK antibody at 1 µg/mL.
Enlarge Image
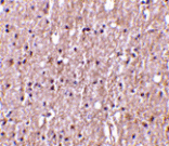
Immunohistochemistry - Anti-TWEAK Antibody (A47881)
Immunohistochemistry of TWEAK in human brain tissue with TWEAK antibody at 10 µg/mL.
Publishing research using Anti-TWEAK Antibody (A47881)? Please
let us know
so that we can list the citation on this page.
Alternative products to Anti-TWEAK Antibody (A47881)
(5)
A96024
Anti-TNF12 Antibody
Rabbit polyclonal antibody to TNF12 for WB, IHC, IF and ELISA.
(4)
A14887
Anti-TWEAK Antibody
Rabbit polyclonal antibody to TWEAK for WB, IHC and ICC/IF.
(2)
A26291
Anti-TWEAK (P73) Antibody
Rabbit polyclonal antibody to TWEAK (P73) for WB, IHC and IF.
(2)
A34466
Anti-TWEAK Antibody
Rabbit polyclonal antibody to TWEAK for ELISA, WB, ICC/IF and IHC.
(2)
A324285
Anti-TWEAK Antibody [RO5458640] - Low endotoxin, Azide free
Recombinant human monoclonal [RO5458640] antibody to TWEAK for ELISA, FACS, Functional Assay and In Vivo.
A340435
Anti-TWEAK Antibody [BIIB23] Biosimilar - BSA and Azide free
Human monoclonal antibody to TWEAK Research grade BIIB023 biosimilar for ELISA, Flow Cytometry, Functional Studies and in vivo Research.
A340818
Anti-TWEAK Antibody [RO545864/RG7212] Biosimilar - BSA and Azide free
Human antibody to TWEAK Research grade RG7212 biosimilar for ELISA, Flow Cytometry, Functional Studies and in vivo Research.
A36792
Anti-TNFSF12 Antibody
Rabbit polyclonal antibody to TNFSF12 for WB and IHC.
(2)
A318567
Anti-TWEAK Antibody [DM140] - BSA and Azide free
Recombinant rabbit monoclonal [DM140] antibody to TWEAK for ELISA and Flow Cytometry.
(2)
A318566
Anti-TWEAK Antibody [DM141] - BSA and Azide free
Recombinant rabbit monoclonal [DM141] antibody to TWEAK for ELISA and Flow Cytometry.
A86468
Anti-TWEAK Antibody [CARL-1] - Low endotoxin, Azide free
Mouse monoclonal [CARL-1] antibody to TWEAK for Flow Cytometry, IHC and Functional Studies.
A86466
Anti-TWEAK Antibody [CARL-1]
Mouse monoclonal [CARL-1] antibody to TWEAK for Flow Cytometry and IHC.
(5)
A96024
Anti-TNF12 Antibody
Rabbit polyclonal antibody to TNF12 for WB, IHC, IF and ELISA.
(4)
A14887
Anti-TWEAK Antibody
Rabbit polyclonal antibody to TWEAK for WB, IHC and ICC/IF.
(2)
A26291
Anti-TWEAK (P73) Antibody
Rabbit polyclonal antibody to TWEAK (P73) for WB, IHC and IF.
(2)
A34466
Anti-TWEAK Antibody
Rabbit polyclonal antibody to TWEAK for ELISA, WB, ICC/IF and IHC.
(2)
A324285
Anti-TWEAK Antibody [RO5458640] - Low endotoxin, Azide free
Recombinant human monoclonal [RO5458640] antibody to TWEAK for ELISA, FACS, Functional Assay and In Vivo.
A340435
Anti-TWEAK Antibody [BIIB23] Biosimilar - BSA and Azide free
Human monoclonal antibody to TWEAK Research grade BIIB023 biosimilar for ELISA, Flow Cytometry, Functional Studies and in vivo Research.
A340818
Anti-TWEAK Antibody [RO545864/RG7212] Biosimilar - BSA and Azide free
Human antibody to TWEAK Research grade RG7212 biosimilar for ELISA, Flow Cytometry, Functional Studies and in vivo Research.
A36792
Anti-TNFSF12 Antibody
Rabbit polyclonal antibody to TNFSF12 for WB and IHC.
(2)
A318567
Anti-TWEAK Antibody [DM140] - BSA and Azide free
Recombinant rabbit monoclonal [DM140] antibody to TWEAK for ELISA and Flow Cytometry.
(2)
A318566
Anti-TWEAK Antibody [DM141] - BSA and Azide free
Recombinant rabbit monoclonal [DM141] antibody to TWEAK for ELISA and Flow Cytometry.
A86468
Anti-TWEAK Antibody [CARL-1] - Low endotoxin, Azide free
Mouse monoclonal [CARL-1] antibody to TWEAK for Flow Cytometry, IHC and Functional Studies.
A86466
Anti-TWEAK Antibody [CARL-1]
Mouse monoclonal [CARL-1] antibody to TWEAK for Flow Cytometry and IHC.
See all TWEAK Antibodies
Proteins predicted to interact with TWEAK
Predicted protein interactions based upon String database. Revelancy score correlates with probability of interaction.
TWEAKR Antibodies
99.9% Relevancy Score
DR3 Antibodies
99.4% Relevancy Score
BAFF Antibodies
94.3% Relevancy Score
TNFSF13 Antibodies
93.8% Relevancy Score
TNF alpha Antibodies
92.5% Relevancy Score
DR5 Antibodies
89% Relevancy Score
TNFR1 Antibodies
85% Relevancy Score
TNFRSF13C Antibodies
83.4% Relevancy Score
TRAF3 Antibodies
82.8% Relevancy Score
Top