Primary Antibodies
Secondary Antibodies
Proteins & Peptides
ELISA Kits
About Us
Contact Us
Sign In/Register
0
ISO 9001:2015 Certified
Live Customer Support
4.5/5 on Trustpilot
100% Quality Guarantee
Home
Primary Antibodies
TXNDC17 Antibodies
Anti-TXNDC17 Antibody (A45224)
Anti-TXNDC17 Antibody (A45224)
Overview
Specifications
Images
Enlarge Image
$430
Product Datasheet
Rabbit polyclonal antibody to TXNDC17 for IHC.
100% Guarantee
Price Match Guarantee
Product Size:
100µl
Quantity:
1
2
3
4
5
6
7
8
9
10
Add To Cart
Request a Quotation
Custom or Bulk Request
Shipping Information
Freight/Packing Charges:
$40
Dispatched from St. Louis, MO.
Lead Time: 6-9 business days.
Specifications
Name
Anti-TXNDC17 Antibody
Description
Rabbit polyclonal antibody to TXNDC17
Specificity
The antibody detects endogenous levels of total TXNDC17 protein.
Applications
IHC
Reactivity
Human
Immunogen
Full length fusion protein
Host
Rabbit
Clonality
Polyclonal
Conjugate
Unconjugated
Purification
Antigen affinity purification.
Concentration
1.8 mg/mL
Formulation
Rabbit IgG in pH7.4 PBS, 0.05% NaN3, 40% Glycerol.
Storage
Shipped at 4°C. Upon delivery aliquot and store at -20°C. Avoid freeze/thaw cycles.
Synonyms
14 kDa thioredoxin-related protein, Protein 42-9-9, Thioredoxin domain-containing protein 17, Thioredoxin-like protein 5, TRP14, TXNL5
Suitable Secondaries
Goat Anti-Rabbit IgG H&L Antibody (AP) (A294874)
Goat Anti-Rabbit IgG H&L Antibody (Biotin) (A294795)
Goat Anti-Rabbit IgG H&L Antibody (FITC) (A294887)
Goat Anti-Rabbit IgG H&L Antibody (HRP) (A294888)
See all Anti-Rabbit IgG Secondaries →
Disclaimer
This product is for research use only. It is not intended for diagnostic or therapeutic use.
Scientific Validation Data
Validation Data
(1)
Enlarge Image
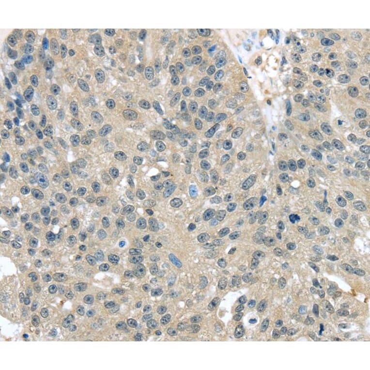
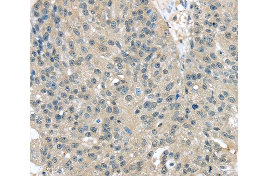
Immunohistochemistry - Anti-TXNDC17 Antibody (A45224)
Immunohistochemical analysis of paraffin-embedded Human breast cancer tissue using #40172 at dilution 1/30.
Publishing research using Anti-TXNDC17 Antibody (A45224)? Please
let us know
so that we can list the citation on this page.
Proteins predicted to interact with TXNDC17
Predicted protein interactions based upon String database. Revelancy score correlates with probability of interaction.
Thioredoxin Antibodies
84.7% Relevancy Score
TRP 7 Antibodies
77.2% Relevancy Score
TXNL1 Antibodies
75.3% Relevancy Score
TXNRD1 Antibodies
68.2% Relevancy Score
NDUFA2 Antibodies
65.5% Relevancy Score
Thioredoxin 2 Antibodies
57% Relevancy Score
NDUFAB1 Antibodies
56.3% Relevancy Score
HIP2 Antibodies
55.6% Relevancy Score
DYNLL1 Antibodies
52.2% Relevancy Score
Top