ISO 9001:2015 Certified
Live Customer Support
4.5/5 on Trustpilot
100% Quality Guarantee

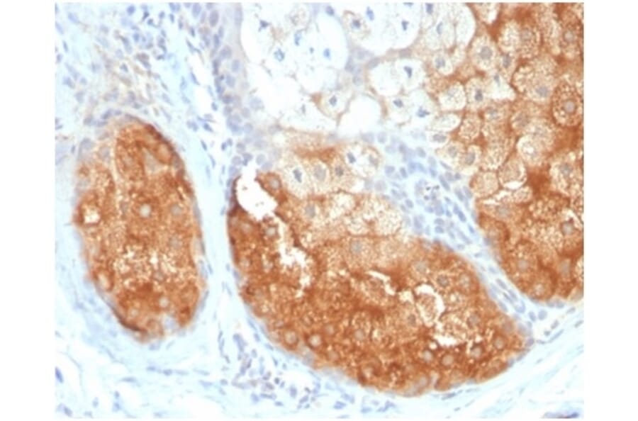
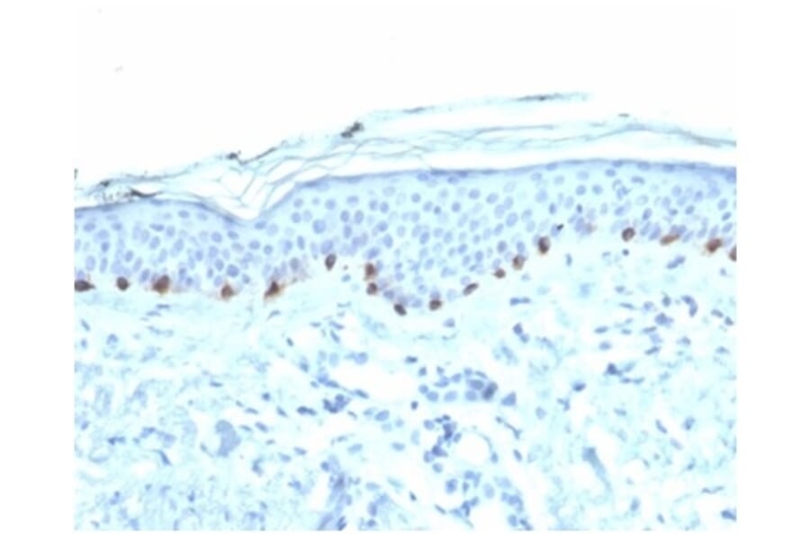
Anti-Tyrosinase Antibody [TYR/3826] - BSA and Azide free (A278411)

Mouse monoclonal [TYR/3826] antibody to Tyrosinase for IHC-P.

Alternative Formats and ConjugatesAlternative Formats

Shipping Information

$40
Dispatched from St. Louis, MO.
Lead Time: 5-8 business days.
Name
Anti-Tyrosinase Antibody [TYR/3826] - BSA and Azide free
Description
Mouse monoclonal [TYR/3826] antibody to Tyrosinase.
Specificity
This antibody recognizes a cluster of proteins between 70-80kDa, identified as tyrosinase. Occasionally a minor band at 55kDa is also detected. This MAb shows no cross-reaction with MAGE-1 and tyrosinase-related protein 1, TRP-1/gp75. Tyrosinase is a copper-containing metalloglycoprotein that catalyzes several steps in the melanin pigment biosynthetic pathway; the hydroxylation of tyrosine to L-3,4-dihydroxy-phenylalanine (dopa), and the subsequent oxidation of dopa to dopaquinone. Mutations of the tyrosinase gene occur in various forms of albinism. Tyrosinase is one of the targets for cytotoxic T-cell recognition in melanoma patients. Staining of melanomas with this MAb shows tyrosinase in melanotic as well as amelanotic variants. This MAb is a useful marker for melanocytes and melanomas.
Applications
IHC-P
Dilutions
IHC-P: 1-2 µg/ml
Reactivity
Human
Immunogen
Recombinant full-length human Tyrosinase.
Host
Mouse
Clonality
Monoclonal
Clone ID
TYR/3826
Isotype
IgG2b
Light Chains
kappa
Conjugate

Unconjugated

Purification
Protein A/G chromatography.
Concentration
1 mg/ml
Molecular Weight
70-80 kDa
Product Form
Liquid
Formulation
Supplied in 10mM Phosphate Buffered Saline; without Sodium Azide and carrier free.
Storage
Shipped at 4°C. Upon delivery aliquot and store at -20°C. Avoid freeze / thaw cycles.
General Notes
This monoclonal antibody is also available in a different formulation with BSA and Sodium Azide - Anti-Tyrosinase Antibody [TYR/3826] (A277823).
Synonyms
LB24-AB, Monophenol monooxygenase, SK29-AB, Tumor rejection antigen AB, TYR
Disclaimer
This product is for research use only. It is not intended for diagnostic or therapeutic use.
Publishing research using Anti-Tyrosinase Antibody [TYR/3826] - BSA and Azide free (A278411)? Please let us know so that we can list the citation on this page.

Alternative products to Anti-Tyrosinase Antibody [TYR/3826] - BSA and Azide free (A278411)

Proteins predicted to interact with Tyrosinase

Predicted protein interactions based upon String database. Revelancy score correlates with probability of interaction.
98.9% Relevancy Score
98.9% Relevancy Score
98.5% Relevancy Score
98.1% Relevancy Score
96.3% Relevancy Score
96.2% Relevancy Score
96% Relevancy Score
95.8% Relevancy Score
94.6% Relevancy Score