ISO 9001:2015 Certified
Live Customer Support
4.5/5 on Trustpilot
100% Quality Guarantee

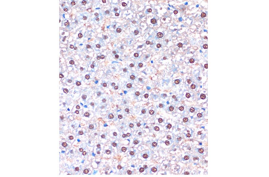
Anti-UBA5 Antibody (A90243)

Rabbit polyclonal antibody to UBA5 for WB and IHC.

Shipping Information

$40
Dispatched from St. Louis, MO.
Lead Time: 7-10 business days.
Name
Anti-UBA5 Antibody
Description
Rabbit polyclonal antibody to UBA5.
Applications
WB, IHC
Dilutions
WB: 1:200-1:2,000, IHC: 1:50-1:200
Reactivity
Human, Mouse, Rat
Immunogen
Recombinant fusion protein containing a sequence corresponding to amino acids 1-404 of human UBA5 (NP_079094.1).
Sequence
MAESVERLQQRVQELERELAQERSLQVPRSGDGGGGRVRIEKMSSEVVDSNPYSRLMALKRMGIVSDYEKIRTFAVAIVGVGGVGSVTAEMLTRCGIGKLLLFDYDKVELANMNRLFFQPHQAGLSKVQAAEHTLRNINPDVLFEVHNYNITTVENFQHFMDRISNGGLEEGKPVDLVLSCVDNFEARMTINTACNELGQTWMESGVSENAVSGHIQLIIPGESACFACAPPLVVAANIDEKTLKREGVCAASLPTTMGVVAGILVQNVLKFLLNFGTVSFYLGYNAMQDFFPTMSMKPNPQCDDRNCRKQQEEYKKKVAALPKQEVIQEEEEIIHEDGIELVSEVSEEELKNFSGPVPDLPEGITVAYTIPKKQEDSVTELTVEDSGESLEDLMAKMKNM
Host
Rabbit
Clonality
Polyclonal
Isotype
IgG
Conjugate

Unconjugated

Purification
Affinity purification.
Concentration
Lot Specific
Molecular Weight
50 kDa
Product Form
Liquid
Formulation
Supplied in Phosphate Buffered Saline, pH 7.3, with 50% Glycerol and 0.01% Thiomersal.
Storage
Shipped at 4°C. Upon delivery aliquot and store at -20°C. Avoid freeze/thaw cycles.
Synonyms
ThiFP1, UBE1DC1, Ubiquitin-activating enzyme 5, Ubiquitin-activating enzyme E1 domain-containing protein 1, Ubiquitin-like modifier-activating enzyme 5, UFM1-activating enzyme
Disclaimer
This product is for research use only. It is not intended for diagnostic or therapeutic use.
Publishing research using Anti-UBA5 Antibody (A90243)? Please let us know so that we can list the citation on this page.

Alternative products to Anti-UBA5 Antibody (A90243)

Proteins predicted to interact with UBA5

Predicted protein interactions based upon String database. Revelancy score correlates with probability of interaction.
99.9% Relevancy Score
99.9% Relevancy Score
99.4% Relevancy Score
94.4% Relevancy Score
92.3% Relevancy Score
90.3% Relevancy Score
81.9% Relevancy Score
77.2% Relevancy Score
75.9% Relevancy Score