Primary Antibodies
Secondary Antibodies
Proteins & Peptides
ELISA Kits
About Us
Contact Us
Sign In/Register
0
ISO 9001:2015 Certified
Live Customer Support
4.5/5 on Trustpilot
100% Quality Guarantee
Home
Primary Antibodies
UBAP2L Antibodies
Anti-UBAP2L Antibody (A45655)
Anti-UBAP2L Antibody (A45655)
Overview
Specifications
Images
Enlarge Image
Enlarge Image
$405
Rabbit polyclonal antibody to UBAP2L for IHC.
100% Guarantee
Price Match Guarantee
Product Size:
100µl
Quantity:
1
2
3
4
5
6
7
8
9
10
Add To Cart
Request a Quotation
Custom or Bulk Request
Shipping Information
Freight/Packing Charges:
$40
Dispatched from St. Louis, MO.
Lead Time: 6-9 business days.
Specifications
Name
Anti-UBAP2L Antibody
Description
Rabbit polyclonal antibody to UBAP2L
Specificity
The antibody detects endogenous levels of total UBAP2L protein.
Applications
IHC
Reactivity
Human, Mouse
Immunogen
Fusion protein of human UBAP2L
Host
Rabbit
Clonality
Polyclonal
Conjugate
Unconjugated
Purification
Antigen affinity purification.
Concentration
1.4 mg/ml
Formulation
Rabbit IgG in pH7.4 PBS, 0.05% NaN3, 40% Glycerol.
Storage
Store at -20˚C
Synonyms
KIAA0144, NICE4, Protein NICE-4, RNA polymerase II degradation factor UBAP2L, Ubiquitin-associated protein 2-like
Suitable Secondaries
Goat Anti-Rabbit IgG H&L Antibody (AP) (A294874)
Goat Anti-Rabbit IgG H&L Antibody (Biotin) (A294795)
Goat Anti-Rabbit IgG H&L Antibody (FITC) (A294887)
Goat Anti-Rabbit IgG H&L Antibody (HRP) (A294888)
See all Anti-Rabbit IgG Secondaries →
Disclaimer
This product is for research use only. It is not intended for diagnostic or therapeutic use.
Scientific Validation Data
Validation Data
(2)
Enlarge Image
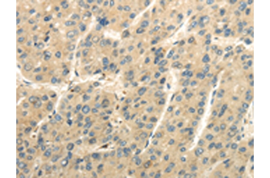
Immunohistochemistry - Anti-UBAP2L Antibody (A45655)
Immunohistochemical analysis of paraffin-embedded Human liver cancer tissue using #42800 at dilution 1/25.
Enlarge Image
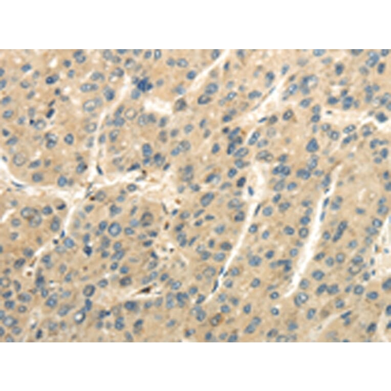
Immunohistochemistry - Anti-UBAP2L Antibody (A45655)
Immunohistochemical analysis of paraffin-embedded Human breast cancer tissue using #42800 at dilution 1/25.
Publishing research using Anti-UBAP2L Antibody (A45655)? Please
let us know
so that we can list the citation on this page.
Alternative products to Anti-UBAP2L Antibody (A45655)
(3)
A98740
Anti-UBAP2L Antibody
Rabbit polyclonal antibody to UBAP2L for WB and ELISA.
A98741
Anti-UBAP2L Antibody
Rabbit polyclonal antibody to UBAP2L for WB and ELISA.
A28065
Anti-UBAP2L Antibody
Rabbit polyclonal antibody to UBAP2L for WB and ICC.
A40511
Anti-NICE4 Antibody
Rabbit polyclonal antibody to NICE4 for WB and ELISA.
A42339
Anti-UBAP2L Antibody
Rabbit polyclonal antibody to UBAP2L for WB.
(3)
A98740
Anti-UBAP2L Antibody
Rabbit polyclonal antibody to UBAP2L for WB and ELISA.
A98741
Anti-UBAP2L Antibody
Rabbit polyclonal antibody to UBAP2L for WB and ELISA.
A28065
Anti-UBAP2L Antibody
Rabbit polyclonal antibody to UBAP2L for WB and ICC.
A40511
Anti-NICE4 Antibody
Rabbit polyclonal antibody to NICE4 for WB and ELISA.
A42339
Anti-UBAP2L Antibody
Rabbit polyclonal antibody to UBAP2L for WB.
See all UBAP2L Antibodies
Proteins predicted to interact with UBAP2L
Predicted protein interactions based upon String database. Revelancy score correlates with probability of interaction.
Raptor Antibodies
99.6% Relevancy Score
mTOR Antibodies
99.4% Relevancy Score
Bmi1 Antibodies
95.2% Relevancy Score
G3BP1 Antibodies
94.8% Relevancy Score
RbAp46 Antibodies
92.9% Relevancy Score
RBBP4 Antibodies
91.8% Relevancy Score
EED Antibodies
90.8% Relevancy Score
HDAC2 Antibodies
90.7% Relevancy Score
AEBP2 Antibodies
90.7% Relevancy Score
Top