ISO 9001:2015 Certified
Live Customer Support
4.5/5 on Trustpilot
100% Quality Guarantee

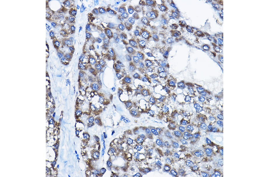
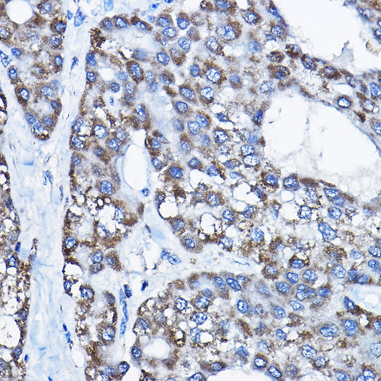
Anti-UBE3A Antibody (A13635)

Rabbit polyclonal antibody to UBE3A for WB, IHC and ICC/IF.

Shipping Information

$40
Dispatched from St. Louis, MO.
Lead Time: 7-10 business days.
Name
Anti-UBE3A Antibody
Description
Rabbit polyclonal antibody to UBE3A.
Applications
WB, IHC, ICC/IF
Dilutions
WB: 1:100-1:500, IHC: 1:50-1:200, ICC/IF: 1:50-1:200
Reactivity
Human, Mouse, Rat
Immunogen
Recombinant fusion protein containing a sequence corresponding to amino acids 300-590 of human UBE3A (NP_570853.1).
Sequence
KLIRLWSKYNADQIRRMMETFQQLITYKVISNEFNSRNLVNDDDAIVAASKCLKMVYYANVVGGEVDTNHNEEDDEEPIPESSELTLQELLGEERRNKKGPRVDPLETELGVKTLDCRKPLIPFEEFINEPLNEVLEMDKDYTFFKVETENKFSFMTCPFILNAVTKNLGLYYDNRIRMYSERRITVLYSLVQGQQLNPYLRLKVRRDHIIDDALVRLEMIAMENPADLKKQLYVEFEGEQGVDEGGVSKEFFQLVVEEIFNPDIGMFTYDESTKLFWFNPSSFETEGQFT
Host
Rabbit
Clonality
Polyclonal
Isotype
IgG
Conjugate

Unconjugated

Purification
Affinity purification.
Concentration
Lot Specific
Molecular Weight
100 kDa
Product Form
Liquid
Formulation
Supplied in Phosphate Buffered Saline, pH 7.3, with 50% Glycerol and 0.02% Sodium Azide.
Storage
Shipped at 4°C. Upon delivery aliquot and store at -20°C. Avoid freeze/thaw cycles.
Synonyms
E6AP, E6AP ubiquitin-protein ligase, EPVE6AP, HECT-type ubiquitin transferase E3A, HPVE6A, Human papillomavirus E6-associated protein, Oncogenic protein-associated protein E6-AP, Renal carcinoma antigen NY-REN-54, Ubiquitin-protein ligase E3A
Disclaimer
This product is for research use only. It is not intended for diagnostic or therapeutic use.
Publishing research using Anti-UBE3A Antibody (A13635)? Please let us know so that we can list the citation on this page.

Alternative products to Anti-UBE3A Antibody (A13635)

Proteins predicted to interact with UBE3A

Predicted protein interactions based upon String database. Revelancy score correlates with probability of interaction.
99.9% Relevancy Score
99.9% Relevancy Score
99.4% Relevancy Score
98.4% Relevancy Score
98.4% Relevancy Score
98.1% Relevancy Score
98% Relevancy Score
97.4% Relevancy Score
97.4% Relevancy Score