ISO 9001:2015 Certified
Live Customer Support
4.5/5 on Trustpilot
100% Quality Guarantee

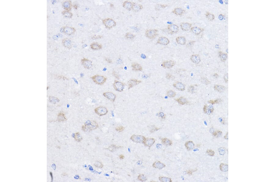
Anti-Ube4a Antibody (A11638)

Rabbit polyclonal antibody to Ube4a for WB and IHC.

Shipping Information

$40
Dispatched from St. Louis, MO.
Lead Time: 7-10 business days.
Name
Anti-Ube4a Antibody
Description
Rabbit polyclonal antibody to Ube4a.
Applications
WB, IHC
Dilutions
WB: 1:1,000-1:5,000, IHC: 1:50-1:200
Reactivity
Human, Mouse, Rat
Immunogen
Recombinant fusion protein containing a sequence corresponding to amino acids 797-1066 of human UBE4A (NP_001191006.1).
Sequence
FLLDEAIQYLSKIKIQQIEKDRGEWDSLTPEARREKEAGLQMFGQLARFHNIMSNETIGTLAFLTSEIKSLFVHPFLAERIISMLNYFLQHLVGPKMGALKVKDFSEFDFKPQQLVSDICTIYLNLGDEENFCATVPKDGRSYSPTLFAQTVRVLKKINKPGNMIMAFSNLAERIKSLADLQQQEEETYADACDEFLDPIMSTLMCDPVVLPSSRVTVDRSTIARHLLSDQTDPFNRSPLTMDQIRPNTELKEKIQRWLAERKQQKEQLE
Host
Rabbit
Clonality
Polyclonal
Isotype
IgG
Conjugate

Unconjugated

Purification
Affinity purification.
Concentration
Lot Specific
Molecular Weight
123 kDa
Product Form
Liquid
Formulation
Supplied in Phosphate Buffered Saline, pH 7.3, with 50% Glycerol and 0.02% Sodium Azide.
Storage
Shipped at 4°C. Upon delivery aliquot and store at -20°C. Avoid freeze/thaw cycles.
Synonyms
KIAA0126, RING-type E3 ubiquitin transferase E4 A, Ubiquitin conjugation factor E4 A
Disclaimer
This product is for research use only. It is not intended for diagnostic or therapeutic use.
Publishing research using Anti-Ube4a Antibody (A11638)? Please let us know so that we can list the citation on this page.

Alternative products to Anti-Ube4a Antibody (A11638)

Proteins predicted to interact with UBE4A

Predicted protein interactions based upon String database. Revelancy score correlates with probability of interaction.
97.8% Relevancy Score
97% Relevancy Score
93.7% Relevancy Score
93.4% Relevancy Score
93.4% Relevancy Score
92.7% Relevancy Score
91.2% Relevancy Score
90% Relevancy Score
81.4% Relevancy Score