Primary Antibodies
Secondary Antibodies
Proteins & Peptides
ELISA Kits
About Us
Contact Us
Sign In/Register
0
ISO 9001:2015 Certified
Live Customer Support
4.5/5 on Trustpilot
100% Quality Guarantee
Home
Primary Antibodies
Upstream Binding Protein 1 Antibodies
Anti-UBP1 Antibody (A46942)
Anti-UBP1 Antibody (A46942)
Overview
Specifications
Images
Enlarge Image
$430
Product Datasheet
Rabbit polyclonal antibody to UBP1 for IHC.
100% Guarantee
Price Match Guarantee
Product Size:
100µl
Quantity:
1
2
3
4
5
6
7
8
9
10
Add To Cart
Request a Quotation
Custom or Bulk Request
Shipping Information
Freight/Packing Charges:
$40
Dispatched from St. Louis, MO.
Lead Time: 6-9 business days.
Specifications
Name
Anti-UBP1 Antibody
Description
Rabbit polyclonal antibody to UBP1
Specificity
The antibody detects endogenous levels of total UBP1 protein.
Applications
IHC
Reactivity
Human, Mouse
Immunogen
Synthetic peptide corresponding to a region derived from internal residues of human upstream binding protein 1
Host
Rabbit
Clonality
Polyclonal
Conjugate
Unconjugated
Purification
Antigen affinity purification.
Concentration
2.7 mg/mL
Formulation
Supplied in PBS, pH 7.3, containing 0.05% sodium azide and 50% glycerol.
Storage
Shipped at 4°C. Upon delivery aliquot and store at -20°C. Avoid freeze/thaw cycles.
Synonyms
LBP1, Transcription factor LBP-1, Upstream-binding protein 1
Suitable Secondaries
Goat Anti-Rabbit IgG H&L Antibody (AP) (A294874)
Goat Anti-Rabbit IgG H&L Antibody (Biotin) (A294795)
Goat Anti-Rabbit IgG H&L Antibody (FITC) (A294887)
Goat Anti-Rabbit IgG H&L Antibody (HRP) (A294888)
See all Anti-Rabbit IgG Secondaries →
Disclaimer
This product is for research use only. It is not intended for diagnostic or therapeutic use.
Scientific Validation Data
Validation Data
(1)
Enlarge Image
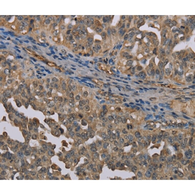
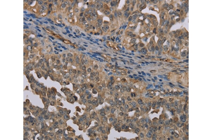
Immunohistochemistry - Anti-UBP1 Antibody (A46942)
Immunohistochemical analysis of paraffin-embedded Human ovarian cancer tissue using #37699 at dilution 1/40.
Publishing research using Anti-UBP1 Antibody (A46942)? Please
let us know
so that we can list the citation on this page.
Alternative products to Anti-UBP1 Antibody (A46942)
A323072
Anti-Upstream Binding Protein 1 Antibody [OTI9G7]
Mouse monoclonal [OTI9G7] antibody to Upstream Binding Protein 1 for IHC.
A323071
Anti-Upstream Binding Protein 1 Antibody [OTI9G7] - BSA and Azide free
Mouse monoclonal [OTI9G7] antibody to Upstream Binding Protein 1 for IHC.
A286035
Anti-Upstream Binding Protein 1 Antibody
Goat polyclonal antibody to Upstream Binding Protein 1 for ELISA and IHC.
A323072
Anti-Upstream Binding Protein 1 Antibody [OTI9G7]
Mouse monoclonal [OTI9G7] antibody to Upstream Binding Protein 1 for IHC.
A323071
Anti-Upstream Binding Protein 1 Antibody [OTI9G7] - BSA and Azide free
Mouse monoclonal [OTI9G7] antibody to Upstream Binding Protein 1 for IHC.
A286035
Anti-Upstream Binding Protein 1 Antibody
Goat polyclonal antibody to Upstream Binding Protein 1 for ELISA and IHC.
Proteins predicted to interact with Upstream Binding Protein 1
Predicted protein interactions based upon String database. Revelancy score correlates with probability of interaction.
TFCP2 Antibodies
83.9% Relevancy Score
SGPP1 Antibodies
76.5% Relevancy Score
MTHFD2 Antibodies
62.7% Relevancy Score
CYP11A1 Antibodies
61.9% Relevancy Score
PRMT6 Antibodies
61.4% Relevancy Score
STK35 Antibodies
60.2% Relevancy Score
TFCP2L1 Antibodies
59.9% Relevancy Score
FUBP1 Antibodies
58.5% Relevancy Score
DPYD Antibodies
57.9% Relevancy Score
Top