ISO 9001:2015 Certified
Live Customer Support
4.5/5 on Trustpilot
100% Quality Guarantee

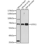
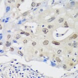
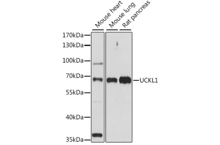
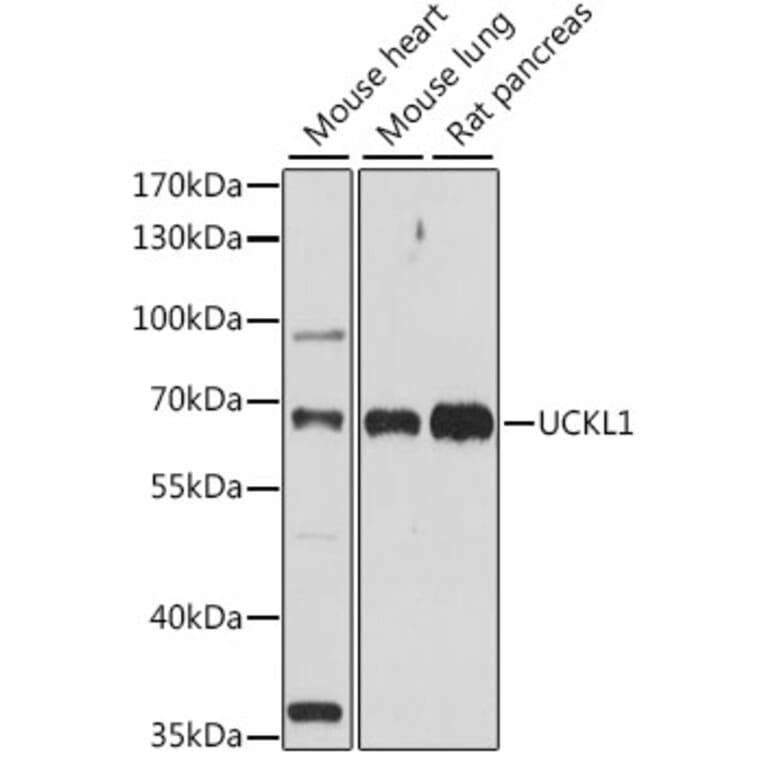
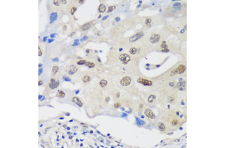
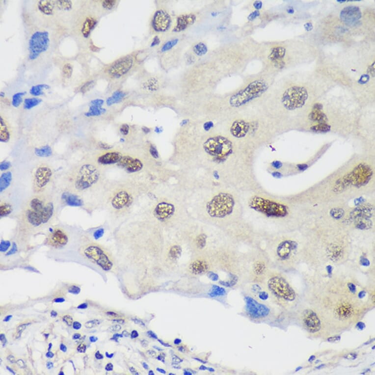
Anti-UCKL1 Antibody (A90729)

Rabbit polyclonal antibody to UCKL1 for WB and IHC.

Shipping Information

$40
Dispatched from St. Louis, MO.
Lead Time: 7-10 business days.
Name
Anti-UCKL1 Antibody
Description
Rabbit polyclonal antibody to UCKL1.
Applications
WB, IHC
Dilutions
WB: 1:500-1:2,000, IHC: 1:50-1:200
Reactivity
Human, Mouse, Rat
Immunogen
Recombinant fusion protein containing a sequence corresponding to amino acids 1-200 of human UCKL1 (NP_060329.2).
Sequence
MAAPPARADADPSPTSPPTARDTPGRQAEKSETACEDRSNAESLDRLLPPVGTGRSPRKRTTSQCKSEPPLLRTSKRTIYTAGRPPWYNEHGTQSKEAFAIGLGGGSASGKTTVARMIIEALDVPWVVLLSMDSFYKVLTEQQQEQAAHNNFNFDHPDAFDFDLIISTLKKLKQGKSVKVPIYDFTTHSRKKDWKTLYGA
Host
Rabbit
Clonality
Polyclonal
Isotype
IgG
Conjugate

Unconjugated

Purification
Affinity purification.
Concentration
Lot Specific
Molecular Weight
61 kDa
Product Form
Liquid
Formulation
Supplied in Phosphate Buffered Saline, pH 7.3, with 50% Glycerol and 0.01% Thiomersal.
Storage
Shipped at 4°C. Upon delivery aliquot and store at -20°C. Avoid freeze/thaw cycles.
Synonyms
Uridine-cytidine kinase-like 1, URKL1
Disclaimer
This product is for research use only. It is not intended for diagnostic or therapeutic use.
Publishing research using Anti-UCKL1 Antibody (A90729)? Please let us know so that we can list the citation on this page.

Proteins predicted to interact with UCKL1

Predicted protein interactions based upon String database. Revelancy score correlates with probability of interaction.
98.2% Relevancy Score
98.1% Relevancy Score
98% Relevancy Score
97.4% Relevancy Score
97% Relevancy Score
93% Relevancy Score
92% Relevancy Score
91.9% Relevancy Score
91.9% Relevancy Score