Primary Antibodies
Secondary Antibodies
Proteins & Peptides
ELISA Kits
About Us
Contact Us
Sign In/Register
0
ISO 9001:2015 Certified
Live Customer Support
4.5/5 on Trustpilot
100% Quality Guarantee
Home
Primary Antibodies
UCP2 Antibodies
Anti-UCP2 Antibody (A46991)
Anti-UCP2 Antibody (A46991)
Overview
Specifications
Images
Enlarge Image
Enlarge Image
$430
Product Datasheet
Rabbit polyclonal antibody to UCP2 for IHC.
100% Guarantee
Price Match Guarantee
Product Size:
100µl
Quantity:
1
2
3
4
5
6
7
8
9
10
Add To Cart
Request a Quotation
Custom or Bulk Request
Shipping Information
Freight/Packing Charges:
$40
Dispatched from St. Louis, MO.
Lead Time: 6-9 business days.
Specifications
Name
Anti-UCP2 Antibody
Description
Rabbit polyclonal antibody to UCP2
Specificity
The antibody detects endogenous levels of total UCP2 protein.
Applications
IHC
Reactivity
Human
Immunogen
Synthetic peptide of human uncoupling protein 2 (mitochondrial, proton carrier)
Host
Rabbit
Clonality
Polyclonal
Conjugate
Unconjugated
Purification
Antigen affinity purification.
Concentration
1.4 mg/mL
Formulation
Rabbit IgG in pH7.4 PBS, 0.05% NaN3, 40% Glycerol.
Storage
Shipped at 4°C. Upon delivery aliquot and store at -20°C. Avoid freeze/thaw cycles.
Synonyms
Dicarboxylate carrier SLC25A8, Mitochondrial uncoupling protein 2, SLC25A8, Solute carrier family 25 member 8, UCP 2, UCPH
Suitable Secondaries
Goat Anti-Rabbit IgG H&L Antibody (AP) (A294874)
Goat Anti-Rabbit IgG H&L Antibody (Biotin) (A294795)
Goat Anti-Rabbit IgG H&L Antibody (FITC) (A294887)
Goat Anti-Rabbit IgG H&L Antibody (HRP) (A294888)
See all Anti-Rabbit IgG Secondaries →
Disclaimer
This product is for research use only. It is not intended for diagnostic or therapeutic use.
Scientific Validation Data
Validation Data
(2)
Enlarge Image
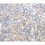
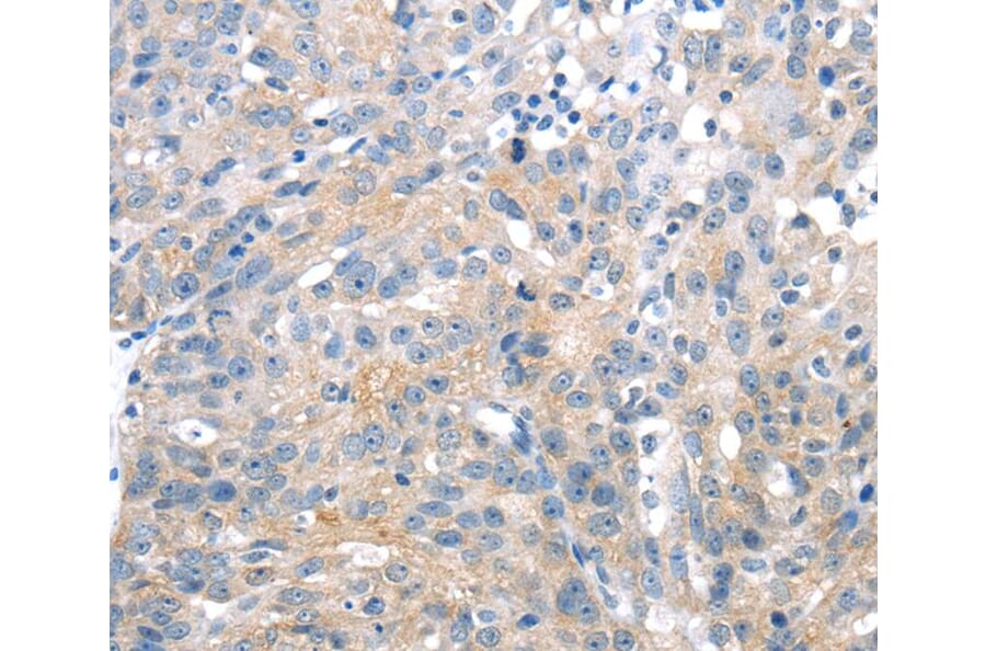
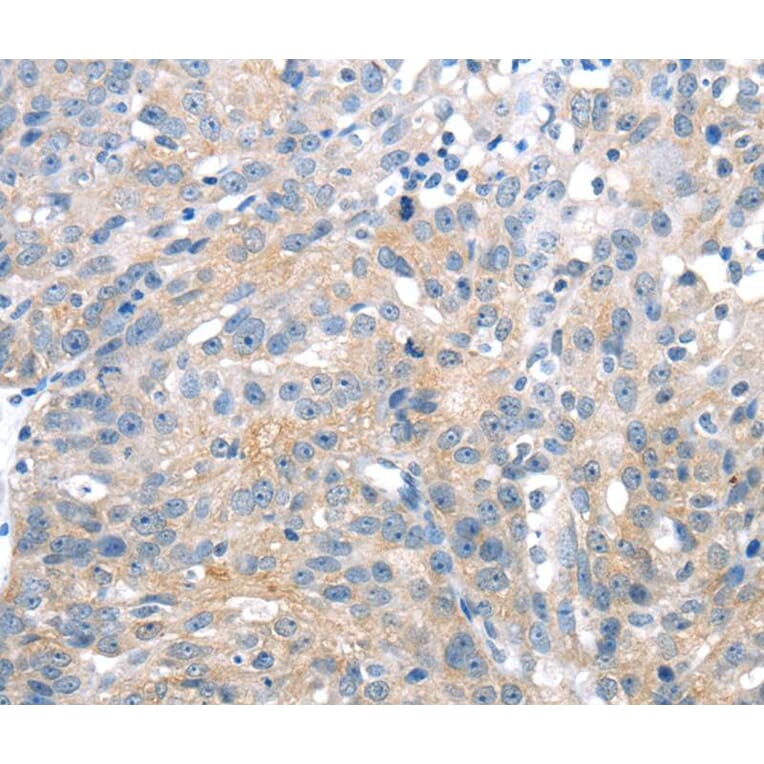
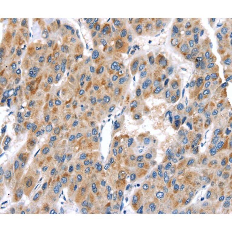
Immunohistochemistry - Anti-UCP2 Antibody (A46991)
Immunohistochemical analysis of paraffin-embedded Human liver cancer tissue using #40280 at dilution 1/20.
Enlarge Image
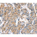
Immunohistochemistry - Anti-UCP2 Antibody (A46991)
Immunohistochemical analysis of paraffin-embedded Human breast cancer tissue using #40280 at dilution 1/20.
Publishing research using Anti-UCP2 Antibody (A46991)? Please
let us know
so that we can list the citation on this page.
Alternative products to Anti-UCP2 Antibody (A46991)
(2)
A84323
Anti-UCP2 Antibody
Goat polyclonal antibody to UCP2 for ELISA, WB and IF.
(2)
A97758
Anti-UCP2 Antibody
Rabbit polyclonal antibody to UCP2 for WB, IHC, IF and ELISA.
(2)
A26577
Anti-UCP2 (H113) Antibody
Rabbit polyclonal antibody to UCP2 (H113) for WB and IHC.
A14533
Anti-UCP2 Antibody
Rabbit polyclonal antibody to UCP2 for WB.
(2)
A84323
Anti-UCP2 Antibody
Goat polyclonal antibody to UCP2 for ELISA, WB and IF.
(2)
A97758
Anti-UCP2 Antibody
Rabbit polyclonal antibody to UCP2 for WB, IHC, IF and ELISA.
(2)
A26577
Anti-UCP2 (H113) Antibody
Rabbit polyclonal antibody to UCP2 (H113) for WB and IHC.
A14533
Anti-UCP2 Antibody
Rabbit polyclonal antibody to UCP2 for WB.
Proteins predicted to interact with UCP2
Predicted protein interactions based upon String database. Revelancy score correlates with probability of interaction.
PGC1 alpha Antibodies
92.8% Relevancy Score
Leptin Antibodies
88.5% Relevancy Score
PPAR gamma Antibodies
85.9% Relevancy Score
SREBP1 Antibodies
84.8% Relevancy Score
PPAR alpha Antibodies
82.1% Relevancy Score
Ghrelin Antibodies
81.6% Relevancy Score
Insulin Antibodies
81.4% Relevancy Score
Adiponectin Antibodies
79% Relevancy Score
AGRP Antibodies
77.8% Relevancy Score
Top