ISO 9001:2015 Certified
Live Customer Support
4.5/5 on Trustpilot
100% Quality Guarantee

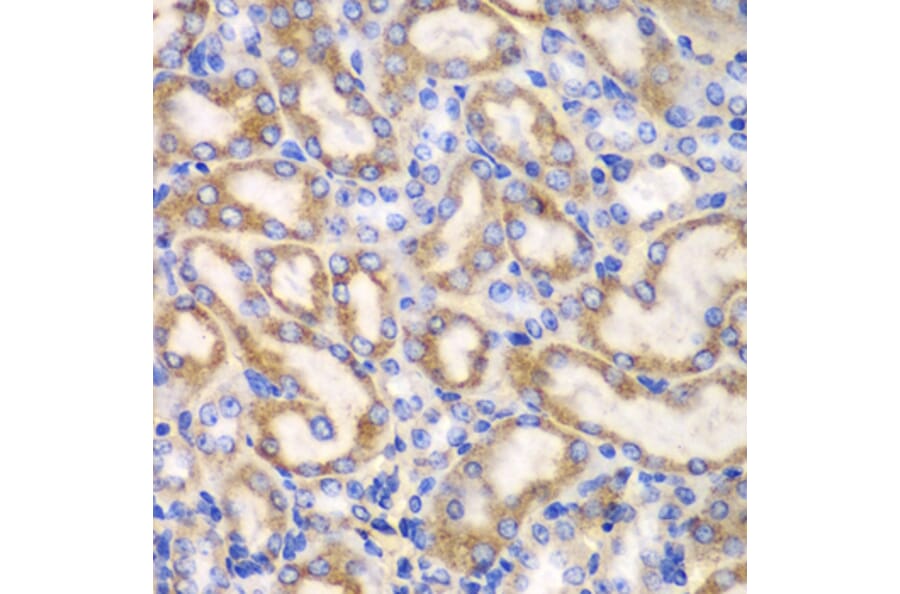
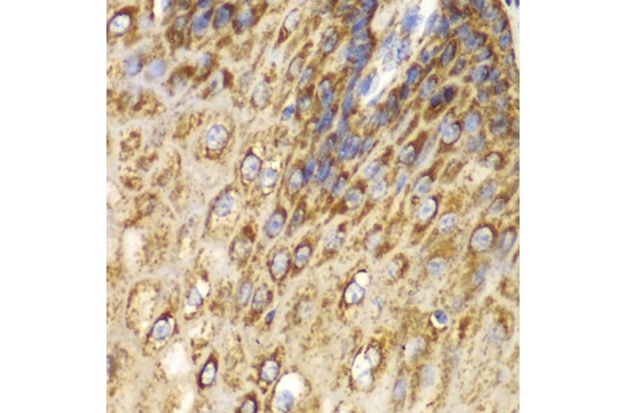
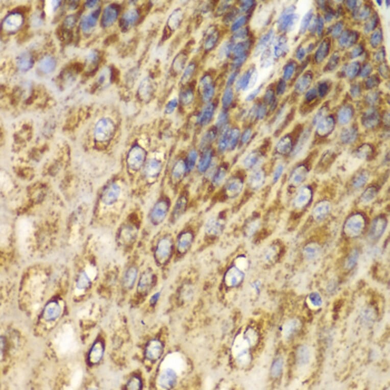
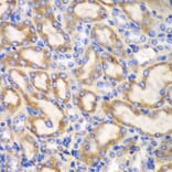
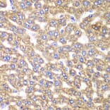
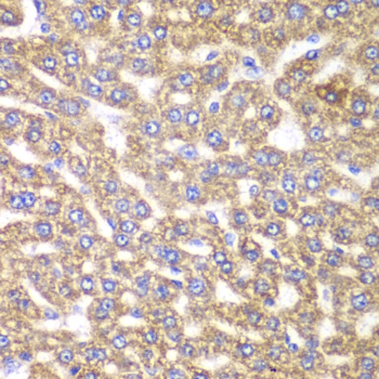
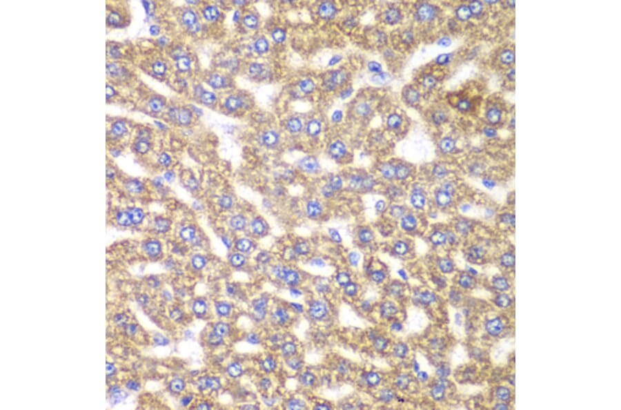
Anti-UGDH Antibody (A92164)

$375

Rabbit polyclonal antibody to UGDH for IHC-P and ELISA.

Shipping Information

$40
Dispatched from St. Louis, MO.
Lead Time: 7-10 business days.
Name
Anti-UGDH Antibody
Description
Rabbit polyclonal antibody to UGDH.
Applications
IHC-P, ELISA
Dilutions
IHC-P: 1:50-1:200
Reactivity
Human, Mouse, Rat
Immunogen
A recombinant fusion protein corresponding to amino acids 165-494 of human UGDH.
Sequence
EGTAIKDLKNPDRVLIGGDETPEGQRAVQALCAVYEHWVPREKILTTNTWSSELSKLAANAFLAQRISSINSISALCEATGADVEEVATAIGMDQRIGNKFLKASVGFGGSCFQKDVLNLVYLCEALNLPEVARYWQQVIDMNDYQRRRFASRIIDSLFNTVTDKKIAILGFAFKKDTGDTRESSSIYISKYLMDEGAHLHIYDPKVPREQIVVDLSHPGVSEDDQVSRLVTISKDPYEACDGAHAVVICTEWDMFKELDYERIHKKMLKPAFIFDGRRVLDGLHNELQTIGFQIETIGKKVSSKRIPYAPSGEIPKFSLQDPPNKKPKV
Host
Rabbit
Clonality
Polyclonal
Isotype
IgG
Conjugate

Unconjugated

Purification
Affinity purification.
Concentration
Lot Specific
Molecular Weight
55kDa
Predicted MW
55 kDa
Product Form
Liquid
Formulation
Supplied in Phosphate Buffered Saline, pH 7.3, with 50% Glycerol and 0.02% Sodium Azide.
Storage
Shipped at 4°C. Upon delivery aliquot and store at -20°C. Avoid freeze/thaw cycles.
Synonyms
UDP-Glc dehydrogenase, UDP-GlcDH, UDP-glucose 6-dehydrogenase, UDPGDH
Disclaimer
This product is for research use only. It is not intended for diagnostic or therapeutic use.
Publishing research using Anti-UGDH Antibody (A92164)? Please let us know so that we can list the citation on this page.

Alternative products to Anti-UGDH Antibody (A92164)

Proteins predicted to interact with UGDH

Predicted protein interactions based upon String database. Revelancy score correlates with probability of interaction.
98.5% Relevancy Score
98.4% Relevancy Score
96.8% Relevancy Score
96.6% Relevancy Score
96.4% Relevancy Score
96.4% Relevancy Score
94.1% Relevancy Score
93.9% Relevancy Score
93.6% Relevancy Score