Primary Antibodies
Secondary Antibodies
Proteins & Peptides
ELISA Kits
About Us
Contact Us
Sign In/Register
0
ISO 9001:2015 Certified
Live Customer Support
4.5/5 on Trustpilot
100% Quality Guarantee
Home
Primary Antibodies
ULK3 Antibodies
Anti-ULK3 Antibody (A99194)
Anti-ULK3 Antibody (A99194)
Overview
Specifications
Images
Enlarge Image
Enlarge Image
$190
Product Datasheet
Rabbit polyclonal antibody to ULK3 for IHC and ELISA.
100% Guarantee
Price Match Guarantee
Product Size:
10µg
100µg
Quantity:
1
2
3
4
5
6
7
8
9
10
Add To Cart
Request a Quotation
Custom or Bulk Request
Shipping Information
Freight/Packing Charges:
$40
Dispatched from St. Louis, MO.
Lead Time: 6-8 business days.
Specifications
Name
Anti-ULK3 Antibody
Description
Rabbit polyclonal antibody to ULK3.
Applications
IHC
,
ELISA
Dilutions
IHC: 1:50-1:100, ELISA: 1:20000
Reactivity
Human, Mouse
Immunogen
Synthetic peptide derived from human ULK3 (amino acids 141-190).
Host
Rabbit
Clonality
Polyclonal
Isotype
IgG
Conjugate
Unconjugated
Purification
Purified from rabbit serum by antigen affinity chromatography using the immunizing peptide.
Molecular Weight
24kDa
Product Form
Liquid
Formulation
Supplied in Phosphate Buffered Saline (without Mg2+ and Ca2+), pH 7.4, with 150mM NaCl, 0.02% Sodium Azide, and 50% Glycerol.
Storage
Shipped at 4°C. Upon delivery aliquot and store at -20°C. Avoid freeze / thaw cycles.
Synonyms
Serine/threonine-protein kinase ULK3, Unc-51-like kinase 3
Isotype Controls
Rabbit IgG (A82272)
Rabbit IgG (A17360)
Suitable Secondaries
Goat Anti-Rabbit IgG H&L Antibody (AP) (A294874)
Goat Anti-Rabbit IgG H&L Antibody (Biotin) (A294795)
Goat Anti-Rabbit IgG H&L Antibody (FITC) (A294887)
Goat Anti-Rabbit IgG H&L Antibody (HRP) (A294888)
See all Anti-Rabbit IgG Secondaries →
Disclaimer
This product is for research use only. It is not intended for diagnostic or therapeutic use.
Scientific Validation Data
Validation Data
(2)
Enlarge Image
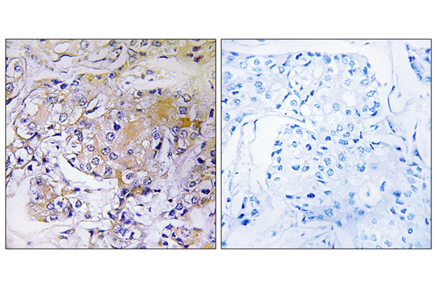
Immunohistochemistry - Anti-ULK3 Antibody (A99194)
Immunohistochemical analysis of paraffin-embedded human breast carcinoma tissue using Anti-ULK3 Antibody. The right hand panel represents a negative control, where the antibody was pre-incubated with the immunising peptide.
Enlarge Image
Western Blot - Anti-ULK3 Antibody (A99194)
Western blot analysis of various cells using Anti-ULK3 Antibody.
Publishing research using Anti-ULK3 Antibody (A99194)? Please
let us know
so that we can list the citation on this page.
Alternative products to Anti-ULK3 Antibody (A99194)
(3)
A55099
Anti-ULK3 Antibody
Rabbit polyclonal antibody to ULK3 for ELISA, IHC, IP and WB.
(3)
A305005
Anti-ULK3 Antibody
Rabbit polyclonal antibody to ULK3 for WB and ICC/IF.
(2)
A306455
Anti-ULK3 Antibody [ARC2118]
Rabbit monoclonal [ARC2118] antibody to ULK3 for WB and ICC/IF.
A85001
Anti-ULK3 Antibody
Goat polyclonal antibody to ULK3 for ELISA and WB.
A85002
Anti-ULK3 Antibody
Goat polyclonal antibody to ULK3 for ELISA and IHC.
(3)
A55099
Anti-ULK3 Antibody
Rabbit polyclonal antibody to ULK3 for ELISA, IHC, IP and WB.
(3)
A305005
Anti-ULK3 Antibody
Rabbit polyclonal antibody to ULK3 for WB and ICC/IF.
(2)
A306455
Anti-ULK3 Antibody [ARC2118]
Rabbit monoclonal [ARC2118] antibody to ULK3 for WB and ICC/IF.
A85001
Anti-ULK3 Antibody
Goat polyclonal antibody to ULK3 for ELISA and WB.
A85002
Anti-ULK3 Antibody
Goat polyclonal antibody to ULK3 for ELISA and IHC.
See all ULK3 Antibodies
Proteins predicted to interact with ULK3
Predicted protein interactions based upon String database. Revelancy score correlates with probability of interaction.
SUFU Antibodies
97.7% Relevancy Score
IST1 Antibodies
93.3% Relevancy Score
GLI2 Antibodies
84% Relevancy Score
GLI1 Antibodies
84% Relevancy Score
ATG5 Antibodies
81.3% Relevancy Score
GLI3 Antibodies
80.8% Relevancy Score
ATG3 Antibodies
80.5% Relevancy Score
ATG12 Antibodies
79.5% Relevancy Score
ATG13 Antibodies
79.2% Relevancy Score
Top