Primary Antibodies
Secondary Antibodies
Proteins & Peptides
ELISA Kits
About Us
Contact Us
Sign In/Register
0
ISO 9001:2015 Certified
Live Customer Support
4.5/5 on Trustpilot
100% Quality Guarantee
Home
Primary Antibodies
UNG Antibodies
Anti-UNG1 Antibody (A48344)
Anti-UNG1 Antibody (A48344)
Overview
Specifications
Images
Enlarge Image
Enlarge Image
$780
Product Datasheet
Rabbit polyclonal antibody to UNG1 for ELISA, WB and IHC.
100% Guarantee
Price Match Guarantee
Product Size:
100µl
Quantity:
1
2
3
4
5
6
7
8
9
10
Add To Cart
Request a Quotation
Custom or Bulk Request
Shipping Information
Freight/Packing Charges:
$40
Dispatched from St. Louis, MO.
Lead Time: 6-9 business days.
Specifications
Name
Anti-UNG1 Antibody
Description
Rabbit polyclonal antibody to UNG1
Applications
ELISA
,
WB
,
IHC
Reactivity
Human, Mouse, Rat
Immunogen
Raised against a 13 amino acid peptide from near the amino terminus of human UNG1.
Host
Rabbit
Clonality
Polyclonal
Conjugate
Unconjugated
Purification
Affinity chromatography purified via peptide column
Formulation
Supplied in phosphate-buffered saline with 0.02% Sodium Azide.
Storage
Shipped at 4°C. Upon delivery aliquot and store at -20°C. Avoid freeze/thaw cycles.
Synonyms
DGU, UDG, UNG15, Uracil-DNA glycosylase
Suitable Secondaries
Goat Anti-Rabbit IgG H&L Antibody (AP) (A294874)
Goat Anti-Rabbit IgG H&L Antibody (Biotin) (A294795)
Goat Anti-Rabbit IgG H&L Antibody (FITC) (A294887)
Goat Anti-Rabbit IgG H&L Antibody (HRP) (A294888)
See all Anti-Rabbit IgG Secondaries →
Disclaimer
This product is for research use only. It is not intended for diagnostic or therapeutic use.
Scientific Validation Data
Validation Data
(2)
Enlarge Image
Anti-UNG1 Antibody (A48344)
Western blot analysis of UNG1 in C2C12 cell lysate with UNG1 antibody at (A) 0.5, (B) 1 and (C) 2 µg/mL.
Enlarge Image
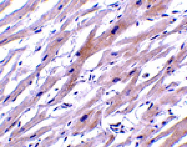
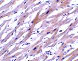
Immunohistochemistry - Anti-UNG1 Antibody (A48344)
Immunohistochemistry of UNG1 in human heart tissue with UNG1 antibody at 2 µg/mL.
Publishing research using Anti-UNG1 Antibody (A48344)? Please
let us know
so that we can list the citation on this page.
Alternative products to Anti-UNG1 Antibody (A48344)
(3)
A98422
Anti-UNG Antibody
Rabbit polyclonal antibody to UNG for WB, IHC, IF and ELISA.
(4)
A26301
Anti-UDG (H221) Antibody
Rabbit polyclonal antibody to UDG (H221) for WB and IHC.
(2)
A48343
Anti-UNG1 Antibody
Rabbit polyclonal antibody to UNG1 for ELISA, WB and IHC.
A323070
Anti-UNG Antibody [OTI2C12]
Mouse monoclonal [OTI2C12] antibody to UNG for IF, IHC and WB.
A323069
Anti-UNG Antibody [OTI2C12] - BSA and Azide free
Mouse monoclonal [OTI2C12] antibody to UNG for IF, IHC and WB.
A44255
Anti-UNG Antibody
Rabbit polyclonal antibody to UNG for WB.
A348894
Anti-UNG Antibody [24GB2530]
Recombinant rabbit monoclonal [24GB2530] antibody to UNG for WB, Flow Cytometry and ICC/IF.
A348895
Anti-UNG Antibody [24GB11785]
Recombinant rabbit monoclonal [24GB11785] antibody to UNG for WB, Flow Cytometry and ICC/IF.
A57880
Anti-UNG Antibody [Pk1C12AT]
Mouse monoclonal [Pk1C12AT] antibody to UNG for ELISA and WB.
(3)
A98422
Anti-UNG Antibody
Rabbit polyclonal antibody to UNG for WB, IHC, IF and ELISA.
(4)
A26301
Anti-UDG (H221) Antibody
Rabbit polyclonal antibody to UDG (H221) for WB and IHC.
(2)
A48343
Anti-UNG1 Antibody
Rabbit polyclonal antibody to UNG1 for ELISA, WB and IHC.
A323070
Anti-UNG Antibody [OTI2C12]
Mouse monoclonal [OTI2C12] antibody to UNG for IF, IHC and WB.
A323069
Anti-UNG Antibody [OTI2C12] - BSA and Azide free
Mouse monoclonal [OTI2C12] antibody to UNG for IF, IHC and WB.
A44255
Anti-UNG Antibody
Rabbit polyclonal antibody to UNG for WB.
A348894
Anti-UNG Antibody [24GB2530]
Recombinant rabbit monoclonal [24GB2530] antibody to UNG for WB, Flow Cytometry and ICC/IF.
A348895
Anti-UNG Antibody [24GB11785]
Recombinant rabbit monoclonal [24GB11785] antibody to UNG for WB, Flow Cytometry and ICC/IF.
A57880
Anti-UNG Antibody [Pk1C12AT]
Mouse monoclonal [Pk1C12AT] antibody to UNG for ELISA and WB.
See all UNG1 Antibodies
Proteins predicted to interact with UNG
Predicted protein interactions based upon String database. Revelancy score correlates with probability of interaction.
RPA2 Antibodies
99% Relevancy Score
VPRBP Antibodies
97.9% Relevancy Score
APE1 Antibodies
96.3% Relevancy Score
SMUG1 Antibodies
96.3% Relevancy Score
DDB1 Antibodies
96.1% Relevancy Score
LIG1 Antibodies
95.2% Relevancy Score
AICDA Antibodies
91.5% Relevancy Score
TDG Antibodies
90.7% Relevancy Score
REV1 Antibodies
90.1% Relevancy Score
Top