Primary Antibodies
Secondary Antibodies
Proteins & Peptides
ELISA Kits
About Us
Contact Us
Sign In/Register
0
ISO 9001:2015 Certified
Live Customer Support
4.5/5 on Trustpilot
100% Quality Guarantee
Home
Primary Antibodies
URB1 Antibodies
Anti-URB1 Antibody (A46673)
Anti-URB1 Antibody (A46673)
Overview
Specifications
Images
Enlarge Image
$290
Product Datasheet
Rabbit polyclonal antibody to URB1 for IHC.
100% Guarantee
Price Match Guarantee
Product Size:
50µl
100µl
Quantity:
1
2
3
4
5
6
7
8
9
10
Add To Cart
Request a Quotation
Custom or Bulk Request
Shipping Information
Freight/Packing Charges:
$40
Dispatched from St. Louis, MO.
Lead Time: 6-9 business days.
Specifications
Name
Anti-URB1 Antibody
Description
Rabbit polyclonal antibody to URB1
Specificity
The antibody detects endogenous levels of total URB1 protein.
Applications
IHC
Reactivity
Human
Immunogen
Synthesized peptide derived from C-terminal of human URB1.
Host
Rabbit
Clonality
Polyclonal
Conjugate
Unconjugated
Purification
The antibody was affinity-purified from rabbit antiserum by affinity-chromatography using epitope-specific immunogen.
Concentration
1.0 mg/mL
Formulation
Rabbit IgG in phosphate buffered saline (without Mg2+ and Ca2+), pH 7.4, 150mM NaCl, 0.02% sodium azide and 50% glycerol.
Storage
Shipped at 4°C. Upon delivery aliquot and store at -20°C. Avoid freeze/thaw cycles.
Synonyms
C21orf108, KIAA0539, NOP254, NPA1, Nucleolar pre-ribosomal-associated protein 1, Nucleolar protein 254 kDa, URB1 ribosome biogenesis 1 homolog
Suitable Secondaries
Goat Anti-Rabbit IgG H&L Antibody (AP) (A294874)
Goat Anti-Rabbit IgG H&L Antibody (Biotin) (A294795)
Goat Anti-Rabbit IgG H&L Antibody (FITC) (A294887)
Goat Anti-Rabbit IgG H&L Antibody (HRP) (A294888)
See all Anti-Rabbit IgG Secondaries →
Disclaimer
This product is for research use only. It is not intended for diagnostic or therapeutic use.
Scientific Validation Data
Validation Data
(1)
Enlarge Image
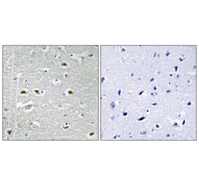
Immunohistochemistry - Anti-URB1 Antibody (A46673)
Immunohistochemistry analysis of paraffin-embedded human brain tissue using URB1 antibody #34877.
Publishing research using Anti-URB1 Antibody (A46673)? Please
let us know
so that we can list the citation on this page.
Alternative products to Anti-URB1 Antibody (A46673)
A101249
Anti-URB1 Antibody
Rabbit polyclonal antibody to URB1 for IHC, IF and ELISA.
A101249
Anti-URB1 Antibody
Rabbit polyclonal antibody to URB1 for IHC, IF and ELISA.
Proteins predicted to interact with URB1
Predicted protein interactions based upon String database. Revelancy score correlates with probability of interaction.
HEATR1 Antibodies
91.4% Relevancy Score
POLR1A Antibodies
90.6% Relevancy Score
NAT10 Antibodies
90.1% Relevancy Score
WDR36 Antibodies
87.8% Relevancy Score
NOL8 Antibodies
83.8% Relevancy Score
Cirhin Antibodies
83.1% Relevancy Score
POLR1B Antibodies
82.8% Relevancy Score
CBF Antibodies
81.6% Relevancy Score
RBM34 Antibodies
81.2% Relevancy Score
Top