ISO 9001:2015 Certified
Live Customer Support
4.5/5 on Trustpilot
100% Quality Guarantee

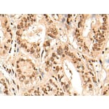
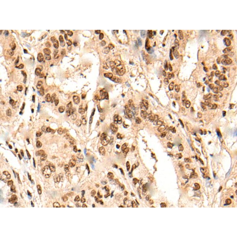
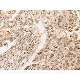
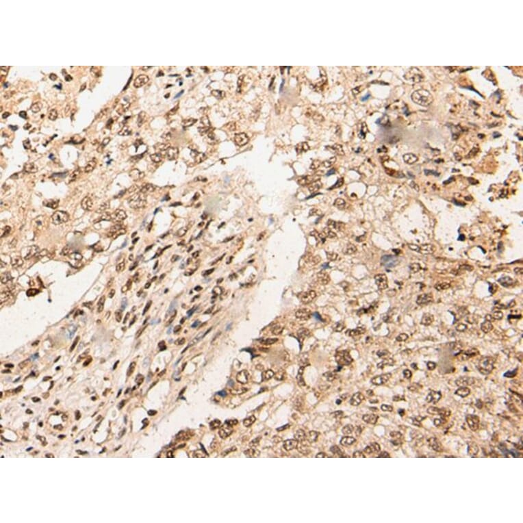
Anti-URI1 Antibody (A47169)

Rabbit polyclonal antibody to URI1 for WB and IHC.

Shipping Information

$40
Dispatched from St. Louis, MO.
Lead Time: 6-9 business days.
Name
Anti-URI1 Antibody
Description
Rabbit polyclonal antibody to URI1
Specificity
The antibody detects endogenous levels of total URI1 protein.
Applications
WB, IHC
Reactivity
Human
Immunogen
Synthetic peptide of human URI1
Host
Rabbit
Clonality
Polyclonal
Conjugate

Unconjugated

Purification
Antigen affinity purification
Concentration
1.1 mg/mL
Formulation
Rabbit IgG in pH7.4 PBS, 0.05% NaN3, 40% Glycerol.
Storage
Shipped at 4°C. Upon delivery aliquot and store at -20°C. Avoid freeze/thaw cycles.
Synonyms
C19orf2, NNX3, PPP1R19, Protein NNX3, Protein phosphatase 1 regulatory subunit 19, RNA polymerase II subunit 5-mediating protein, RPB5-mediating protein, Unconventional prefoldin RPB5 interactor 1, URI
Disclaimer
This product is for research use only. It is not intended for diagnostic or therapeutic use.
Publishing research using Anti-URI1 Antibody (A47169)? Please let us know so that we can list the citation on this page.

Alternative products to Anti-URI1 Antibody (A47169)

Proteins predicted to interact with RMP

Predicted protein interactions based upon String database. Revelancy score correlates with probability of interaction.
99.9% Relevancy Score
99.7% Relevancy Score
99.1% Relevancy Score
98.6% Relevancy Score
98.2% Relevancy Score
97.8% Relevancy Score
97.7% Relevancy Score
97.3% Relevancy Score
96.9% Relevancy Score